Varón de 58 años, fumador de 60 paquetes/año y bebedor de 80 g alcohol/día, diagnosticado en 1999 de artropatía gotosa por visualización de cristales de urato monosódico (UMS) en interfalángica proximal del cuarto dedo mano derecha. En ese momento no presentaba tofos ni antecedentes de cólicos nefríticos. No realizó analítica ni volvió a consulta hasta 2005, con diagnósticos de hipertensión y dislipidemia, y objetivándose entonces tofos en manos y codos (fig. 1 A), uricemia de 10,4mg/dl, uricosuria 745mg/24h, función hepática y renal normal. Desde entonces acude muy irregularmente a control, hace tratamiento con antiinflamatorios y prednisona a dosis 15-30mg/día, colchicina 1mg/día y alopurinol 300mg/día a su criterio. En 2011 se inicia febuxostat, que toma inconstantemente. En 2012 es intervenido en otro centro de retracción articular del quinto dedo y síndrome túnel carpiano por material tofáceo. En 2013, amputación de falange distal del segundo dedo de la mano derecha por carcinoma epidermoide. En 2014, accidente isquémico transitorio por trombosis-oclusión completa carótida interna derecha. En 2015 refiere omalgia derecha de 4 meses de evolución con determinados movimientos y con el decúbito lateral nocturno, objetivándose a la exploración limitación en los últimos grados de la rotación interna y la abducción activa y pasiva. Se realiza radiografía simple (fig. 1 B) y resonancia magnética (RM) de hombro derecho (fig. 2 A-C) con mejoría de la clínica con tratamiento analgésico.
A) Manos con múltiples tofos. 1) Radiografía simple de hombro derecho en proyección anteroposterior. En la porción clavicular de la articulación acromioclavicular derecha se observa una erosión ósea en sacabocados excéntrica formada por la sustitución del hueso por un tofo, menos denso (1). Debido a su lento y benigno crecimiento el hueso reacciona formando un «anillo» de esclerosis que al rodear al tofo sobrepasa incluso los límites anatómicos del hueso formando un borde sobreelevado (→). La alteración de la articulación glenohumeral se manifiesta principalmente en radiología simple por la ocupación la bursa subacromiodeltoidea (2).
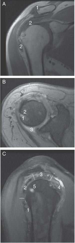
A) Imagen por RM de hombro derecho en adquisición coronal en secuencia potenciada en T1. En una imagen superponible a la radiografía de la figura 1 B se observan los tofos como masas de tejidos blandos hipointensas en T1 en el borde superior del extremo clavicular distal (1) y en la bursa subacromiodeltoidea (2). B) Imagen en adquisición axial T2 eco de gradiente. La RM revela una lesión compatible con tofo gotoso (1) en el borde articular glenohumeral no claramente visible en la radiografía simple. Es hiperintenso en secuencia potenciada en T2, interrumpe la corteza ósea y tiene un reborde muy hipointenso por la esclerosis ósea (2). Se asocia un discreto derrame synovial (3). C) Imagen en adquisición sagital en densidad protónica que permite ver la sección de los tendones que forman en manguito de los rotadores: redondo menor (1), infraespinoso (2), supraespinoso (3) y subescapular (4). El supraespinoso está especialmente desestructurado por la presencia de un nódulo sugestivo de tofo intratendinoso (*). Como en la secuencia potenciada en T2, el tofo óseo es hiperintenso (5).
La presencia de gota tofácea se correlaciona con la persistencia en el tiempo de hiperuricemia y/o un tratamiento ineficaz. Se han descrito depósitos de tofos en múltiples localizaciones atípicas1, pero dentro de ellas la articulación glenohumeral es poco frecuente2,3. La primera descripción fue realizada por O’Leary, en donde los tofos fueron visualizados tras realizar una artroscopia al no haberlos detectado en la RM2. Las características radiológicas de los tofos incluyen erosiones con márgenes bien definidos, preservación del espacio articular y nódulos densos de partes blandas algunas veces calcificados4. La ecografía tiene mayor sensibilidad y especificidad para la detección de los depósitos microcristalinos en bursas, tendones, ligamentos y partes blandas5. También se está empleando la tomografía computarizada de doble energía (DECT) para detección y medición de tofos de localizaciones inusuales o cuando simulan infección o malignidad, permitiendo la reconstrucción 3D de las imágenes. La mayor limitación es la radiación y su empleo en grandes articulaciones como hombro y cadera, donde pierde precisión6. La RM aporta información para articulaciones profundas y para los depósitos intraóseos, pero aunque es muy sensible para su detección, los tofos ofrecen un patrón inespecífico, similar al de otras masas de partes blandas, con señal de baja intensidad en T1 y variable intensidad en T2, por lo que es necesaria la historia del paciente para realizar el diagnóstico correcto7.
Responsabilidades éticasProtección de personas y animalesLos autores declaran que para esta investigación no se han realizado experimentos en seres humanos ni en animales.
Confidencialidad de los datosLos autores declaran que han seguido los protocolos de su centro de trabajo sobre la publicación de datos de pacientes.
Derecho a la privacidad y consentimiento informadoLos autores han obtenido el consentimiento informado de los pacientes y/o sujetos referidos en el artículo. Este documento obra en poder del autor de correspondencia.
Conflicto de interesesLos autores declaran no tener ningún conflicto de intereses.





