El mieloma múltiple (MM) es una gammapatía monoclonal maligna que condiciona un estado inmunitario alterado, lo que junto con los tratamientos de base para su control, proporciona mayor susceptibilidad a las infecciones. Las infecciones por Gram positivos son las más frecuentes en estos enfermos, pero se sabe que las producidas por Gram negativos que afectan al tracto urinario son las más comunes tras el inicio del tratamiento de fondo del MM. En general, las artritis por Escherichia coli (E. coli) y otras enterobacterias representan menos del 10% de las artritis bacterianas del adulto, siendo más frecuentes en ancianos e inmunodeprimidos1,2.
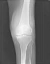
El motivo de escribir esta carta es describir el caso de una paciente con MM que desarrolló una artritis séptica de rodilla y una discitis lumbar tras una infección del tracto urinario. Se trata de una mujer de 81 años con antecedentes de uropatía obstructiva por nefrolitiasis que requirió ingreso en un hospital español y colocación de catéter pig-tail en agosto de 2008. Durante dicho ingreso presentó una bacteriuria asintomática tratada con cefixima oral. Un mes más tarde fue diagnosticada de MM de cadenas ligeras lambda estadio IIIB Durie-Salmon, Internacional Score System 3, y se inició tratamiento con pulsos de dexametasona mensuales y soporte eritropoyético semanal. En enero de 2009 acude a Urgencias de nuestro centro por dolor en la rodilla izquierda de 72 h de evolución sin traumatismo previo, fiebre ni otra clínica. En la exploración muestra signos de insuficiencia venosa crónica y gran aumento de volumen, signo de choque rotuliano, limitación articular y dolor a la movilización de la rodilla izquierda (fig. 1) con pulsos conservados. En la analítica: leucocitos 17,40×109/L (N 16.300; L 420); PCR 44,79 mg/L; dímero-D 3.179; IgG 593,00; IgA 45; IgM 20 mg/dL; ANA, ANCA y FR normales. VHB, VHC y VIH negativos. Se extrajeron hemocultivos. La radiografía de rodillas (fig. 2) descartó líneas de fractura e identificó un aumento inespecífico del realce perióstico en la meseta tibial medial izquierda, sin datos de esclerosis, e incremento de densidad de partes blandas periarticulares. La ecografía Doppler descartó trombosis venosa profunda. Realizamos una artrocentesis diagnóstico-terapéutica con colocación y mantenimiento de tubo de drenaje obteniéndose un líquido articular viscoso y turbio con aumento de leucocitos (95% polimorfonucleares), proteínas elevadas y glucosa disminuida. El Gram mostró bacilos Gram negativos, por lo que se instauró terapia empírica con ceftriaxona3 y se suspendieron los pulsos de dexametasona dada la presencia de infección documentada, con resolución sintomática, disminución del incremento de densidad radiológica periarticular y normalización de la PCR tras cuatro semanas de tratamiento. La caracterización final reveló que el microorganismo era E. coli. Una semana después reapareció el dolor y el aumento de volumen en la misma rodilla con nueva elevación de reactantes de fase aguda y nuevo aislamiento de E. coli en el líquido articular. Además, comenzó con febrícula, lumbalgia bilateral y espinopercusión positiva (L2-L3)4. La resonancia magnética de columna lumbar mostró discitis L3. Dado el empeoramiento clínico, se realizó artrotomía de rodilla con regular tolerancia, aunque con buena respuesta posterior. Tras valorar el riesgo/beneficio de un nuevo procedimiento invasivo y observar la excelente respuesta clínica y radiológica que experimentó tras reintroducir ceftriaxona5,6 –posteriormente el antibiograma confirmó sensibilidad a cefalosporinas de 3.a generación–, la lesión discal no fue biopsiada a pesar de ser conscientes de que hubiese sido lo más deseable para una correcta caracterización etiopatológica. No obstante, debido a la secuencia temporal, presumimos que el foco infeccioso inicial fue urinario y que una bacteriemia asintomática posterior facilitó la siembra de origen hematógeno en la rodilla y probablemente en el disco intervertebral, por lo que asumimos que la etiología fue la misma que ocasionó la monoartritis7.
Posteriormente, conocimos a través de informes del hospital donde había sido ingresada 5 meses antes, que el germen causante de la bacteriuria en ese momento también fue E. coli.
En conclusión, intentamos reflejar la complejidad de las infecciones del paciente inmunodeprimido y destacar la excepcional coincidencia en un enfermo con MM de afectación urinaria, hemática, articular y probablemente discal por el mismo microorganismo, E. coli, ya que en este tipo de enfermos las artritis más frecuentes son la producidas por Streptococcus pnemoniae, y los cuadros no suelen hacerse polifocales durante la evolución.
A la Unidad de Enfermedades Infecciosas y Microbiología del Hospital Universitario La Paz de Madrid.





