We present the case of a 75 year old patient with a history of heavy smoking (20 cigarettes per day over 15 years) and poor oral hygiene, diagnosed with advanced EIV (cT4N2bMx) epidermoid cancer of the breast in 2009, who underwent surgery (quadrantectomy and homolateral axillary clearance) with complementary radiotherapy and chemotherapy treatment. On suspicion of the cancer spreading to the bone, treatment with zoledronic acid (Zometa®), an intravenous biphosphonate was initiated, at a dose of 4mg/3 months until 2014.1
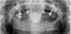
In 2015, with no other precipitating factors (for example oral surgery), active intraoral discharge was clinically detected and exposure of the intraoral necrotic bone. Panoramic radiograph was performed which showed bilateral mandibular non displaced fracture (Fig. 1). At the moment, following antibiotic treatment with amoxicillin 1g/8h and daily mouth rinses every 8h with 2% chlorhexidine, clinical evolution has been stable, without any fragment displacement that requires surgery.
There are many mechanisms of action of biphosphonates, including: reduction of bone reabsorption due to the inhibition of the osteclastic activity, induction of apoptosis of osteoclasts, antiangiogenic action and alteration of physiological bone remodelling.2 These actions on the bone lead to fragility and incapacity for repairing microfractures due to repetitive stress which, associated with terminal irrigation of the lower jaw, turns this area into a region which is liable to suffer osteonecrosis and in exceptional cases, pathological fractures.3
There are currently 4 stages to classify mandibular osteonecrosis according to the regulations established by the American Association of Oral and Maxillofacial Surgeons,4 with our case presented here corresponding to stage four. The case presented appears to prove that individual patient factors, combined with the characteristics of the biphosphonate used (zoledronic acid), the intravenous administration and prolonged administration, as well as its high potency,5,6 were the predisposing factors for the appearance of massive osteonecrosis of the jaw.
Conflict of interestsThe authors have no conflict of interests to declare.
Please cite this article as: Sánchez López JD, Cariati P, Perez de Perveval Tara MA. Fractura patológica mandibular bilateral en osteonecrosis maxilar inducida por bisfosfonatos. Reumatol Clin. 2020;16:62–63.




