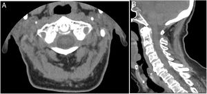
Cervico-occipital computed tomography (CT) demonstrated deposition of calcium pyrophosphate dihydrate crystals around the odontoid process of axis in a 87-year-old female patient with initial diagnosis of polymyalgia rheumatica (Fig. 1A, B). Patient had an acute severe cervico-occipital pain and markable neck stiffness. The patient had no shoulder or pelvic girdle pain and no jaw claudication. There is no history of trauma. There was a long personal history of knee pain due to calcium pyrophosphate dehydrate crystal deposition disease. Physical examination revealed limited passive cervical rotation without focal neurologic deficit. Laboratory results revealed elevation of erythrocyte sedimentation rate of 54mm/h and a normal C-reactive protein (5mg/dL). A knee radiography confirmed peripheral calcium pyrophosphate deposition disease. CT images showed atlantoaxial synovial calcifications in a crown around the odontoid process. A diagnosis of crowned dens syndrome (CDS) or periodontoid calcium pyrophosphate dehydrate crystal deposition disease was made. The patient was improved with a combination of prednisolone and nonsteroidal anti-inflammatory drug (NSAID) in a week. CDS is a rare clinical and radiological entity described firstly in 1985 and which pathophysiologic is not completely clear.1 This condition is accompanied by acute cervico-occipital pain and stiffness with severe limitation of neck rotation.2 The elevation of inflammatory markers is common.3 CDS can be misdiagnosed as various rheumatic diseases namely rheumatoid arthritis, spondyloarthritis, giant cell arthritis and PMR, as in our case.4,5 For diagnosis, cervico-occipital CT, showing calcification around the odontoid process, is the gold standard and should be done as soon as symptoms appear.6 Patients respond well to corticosteroids, NSAIDs and colchicine.6 Surgical procedure is performed rarely. CDS is a rare disease entity with various differential diagnosis. Thus, a high index of clinical suspicion is needed to obtain an early accurate diagnosis avoiding unnecessary exams or treatments.
The authors declare that they have no conflicts of interest.




