El diagnóstico correcto y oportuno de las vasculitis sistémicas (VS) es a menudo un reto incluso para el clínico más experimentado. La afección pleural producida por las VS es por lo regular el resultado de la afección pulmonar subyacente. El daño endotelial producido por los mecanismos inflamatorios implicados aumenta la permeabilidad capilar a las proteínas y líquido hacia el espacio pleural. Por ahora, las características del líquido pleural resultado de las VS no han sido bien definidas. Exponemos el caso de un varón que debutó con un derrame pleural atribuido a una VS.
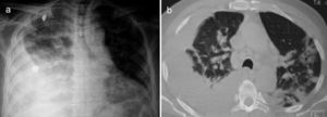
Un varón de 67 años de edad fue hospitalizado por disnea y fiebre de una semana de evolución. A su ingreso, el paciente se encontraba en malas condiciones generales y con una SatO2 del 78% respirando al medio ambiente. Sus signos vitales fueron FR 29min, FC 112min, TA 145/85mmHg y una temperatura de 37°C. La exploración física reveló un síndrome de derrame pleural derecho y muy escasos estertores finos en el hemitórax izquierdo. La radiografía de tórax y tomografía computarizada demostraron opacidades alveolares bilaterales y corroboraron la presencia de un derrame pleural derecho (fig. 1). Por laboratorio solo se documentó una leucocitosis de 21.400células/μl, de las cuales 9.400células/μl correspondieron a linfocitos. No presentó elevación de azoados y el examen general de orina no evidenció sedimento ni proteinuria. En la toracocentesis, un líquido amarillo turbio se obtuvo con un pH7,0; proteínas 6g/dl; glucosa 22mg/dl; DHL 1,066U/l, escasos polimorfonucleares y sin presencia de bacterias en la tinción de Gram. El paciente fue tratado inicialmente como neumonía asociada a un derrame pleural complicado y un tubo pleural le fue insertado en el hemitórax derecho al tiempo que le fue iniciado moxifloxacino 400mg IV cada 24h y meropenem 1g IV cada 8h, posteriormente, dicho esquema fue sustituido por vancomicina 500mg IV cada 6h y piperacilina 4g/tazobactam 0,5 g IV cada 6h. Sin embargo, durante los siguientes días no se observó mejoría clínica ni radiológica, y el drenaje de líquido pleural persistió a pesar de dichos esquemas antimicrobianos. La baciloscopia, los cultivos de líquido pleural y de sangre resultaron negativos. Tras una larga estancia en el hospital el paciente presentó una dermatosis generalizada (fig. 2a), y en una biopsia de piel se documentó una vasculitis linfocítica (fig. 2c). Este escenario se atribuyó inicialmente a un efecto adverso de los antimicrobianos. El panel de la hepatitis viral B y C, VIH, VDRL, pANCA y cANCA fueron todos negativos. Fue solo después de un examen físico detallado que se encontraron algunas úlceras en el pene (fig. 2b), sin embargo, la prueba de patergia no fue concluyente. El caso se diagnosticó como una forma incompleta de la enfermedad de Behçet versus granulomatosis de Wegener ANCA-negativa, por lo que fue tratado con metilprednisolona 125mg IV cada 6h presentando una rápida mejoría en sus condiciones generales y respiratorias permitiendo la retirada exitosa del tubo torácico y su alta hospitalaria al poco tiempo de iniciado el tratamiento. Desafortunadamente, el paciente falleció a las semanas siguientes debido a un cuadro de hemorragia alveolar difusa.
a) Pequeñas máculas rojizas y planas en los miembros inferiores producidas por vasculitis cutánea. b) Ulceración dolorosa en el pene. c) Microfotografía en la cual se observa una densa inflamación linfocítica alrededor de la pared de un pequeño vaso en un espécimen obtenido de la dermis (H&E, 400×).
Presentamos el caso de un paciente con un síndrome vasculítico complejo, activo y generalizado, sin un compromiso renal, con un laboratorio no orientador, y asociado a un derrame pleural no atribuido a secuelas, comorbilidades o complicaciones de algún tratamiento médico, que finalmente tuvo como desenlace un brote o recaída fatal a las pocas semanas del alta. Desde la perspectiva del clínico representa un reto diagnóstico debido a su baja prevalencia, la naturaleza inespecífica de los síntomas cuales pueden traslaparse con aquellos producidos por otras enfermedades incluyendo a las diversas VS. Mientras que la presencia de derrame pleural puede no representar un criterio mayor del espectro clínico de las VS, sí puede muchas veces retrasar el diagnóstico y tratamiento con resultados desastrosos, sobre todo en sitios donde existen importantes similitudes con enfermedades con una mayor prevalencia como lo es la tuberculosis1. Como forma de presentación de una VS, el derrame pleural se ha reportado muy raramente2, no obstante, la incidencia de esta complicación en la enfermedad de Wegener ha sido descrita entre el 5-55% y en la enfermedad de Behçet hasta un 20%2,3. Sin embargo, así como pudiera atribuirse el derrame pleural al proceso vasculítico en sí, otras condiciones clínicas asociadas frecuentemente a las VS como la trombosis, infecciones y la insuficiencia cardíaca o renal deberán ser excluidas prioritariamente. A la fecha no existe un perfil citoquímico característico del derrame pleural producido por las VS. La presencia de un exudado acidótico con una baja concentración de glucosa ha sugerido el diagnóstico en otro tipo de VS e igualmente la biopsia pleural cerrada ha contribuido ocasionalmente en demostrar la vasculitis en pleura4,5. Similarmente y como mencionamos antes es imperativo considerar otras entidades clínicas que cursan con un derrame pleural acidótico y con glucosa baja (fig. 3) ya que el tratamiento y el pronóstico del derrame pleural vasculítico es aquel de la enfermedad de base. Por lo tanto, sugerimos que el clínico deberá estar atento ante la presencia de aquellos hallazgos clínicos sugestivos de VS en todo paciente con un derrame pleural acidótico de causa desconocida.
Propuesta de estudio del paciente con derrame pleural acidótico y con bajo contenido de glucosa. Las prioridades diagnósticas siempre serán las entidades mencionadas a la izquierda. El derrame pleural de origen vasculítico siempre será un diagnóstico de exclusión de dichas enfermedades.
AAN: anticuerpos antinucleares; ADA: adenosina deaminasa






