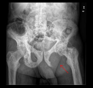
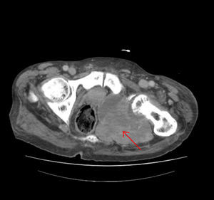
Presentamos el caso de un paciente varón de 82 años diagnosticado 10 años antes de enfermedad de Paget ósea con afectación poliostótica. Como otros antecedentes de interés presentaba fibrilación auricular e insuficiencia cardiaca crónica. Acudió a la unidad y consulta de atención inmediata (UCAI) por astenia, anorexia y edemas en las extremidades inferiores de 15 días de evolución. En la anamnesis por aparatos refería dolor en la región isquiopubiana izquierda desde hacía 6 meses, que había ido en aumento y que aparecía tanto en reposo como con el ejercicio. Se decidió ingreso en planta de hospitalización para tratamiento de la insuficiencia cardiaca y estudio del origen del dolor. En la exploración física presentaba palidez de piel y mucosas, auscultación cardiaca irregular con soplo sistólico aórtico, disminución generalizada del murmullo vesicular en la auscultación pulmonar, edema con fóvea hasta la raíz de ambos miembros inferiores y dolor a la movilización e impotencia funcional de articulación coxofemoral izquierda. En el tacto rectal no se encontraron masas y existían restos de heces normales. En la analítica destacaba hemoglobina de 9,5g/dl con volumen y hemoglobina corpuscular media normales, proteína C reactiva: 21,2mg/dl (0,2-0,8), fibrinógeno: 722mg/dl (200-400), velocidad de sedimentación glomerular: 120mm (1-15), fosfatasa alcalina: 155 U/l, hierro: 23,6μg/dl (50-150) transferrina: 155μg/dl (300-360), ferritina: 1.144μg/l (50-350), índice de saturación: 12% (20-40), receptor soluble de transferrina: 7,88μg/l (2-4); los marcadores tumorales eran normales. En la radiografía de tórax presentaba derrame pleural bilateral de escasa cuantía y lesiones compatibles con enfermedad de Paget en ambos hombros y el quinto arco costal izquierdo. La radiografía de pelvis mostró múltiples lesiones compatibles con enfermedad de Paget y una imagen lítica de mayor tamaño en isquion izquierdo (fig. 1). Se realizó una gammagrafía ósea que mostró imágenes compatibles con enfermedad de Paget y ausencia de captación en isquion izquierdo (fig. 2). Se solicitó una tomografía computarizada toraco-abdómino-pélvica que objetivó una gran masa de contornos lobulados con focos de calcificación que destruía el isquion y acetábulo izquierdo de 12 x 12 x 16cm (fig. 3). Ante la sospecha de neoplasia ósea sobre enfermedad de Paget se realizó una biopsia de hueso iliaco cuyo estudio fue compatible con un sarcoma pleomórfico indiferenciado de alto grado no osteogénico, vimentina positivo, con coexpresión de CD-68 y mínima expresión de actina y desmina. La evolución del paciente fue desfavorable, con gran afectación del estado general y dificultad para controlar el dolor, se decidió iniciar tratamiento con radioterapia para control fundamentalmente sintomático. Finalmente, el paciente falleció a la semana del diagnóstico anatomopatológico.
La enfermedad de Paget, descrita en 1876 por Sir James Paget, se caracteriza por un remodelado óseo excesivo y anormal, alterándose tanto la resorción como la formación de hueso y provocando la aparición de lesiones líticas asociadas a deformaciones óseas hipertróficas1. A pesar de que la etiopatogenia de la enfermedad sigue siendo desconocida, se ha encontrado asociación con la expresión de determinados genes1,2, algunos de los cuales como el SQSTM1, podrían estar relacionados también con el desarrollo de osteosarcomas sobre lesiones previas3,4. Dicha neoplasia puede desarrollarse hasta en el 1% de los casos según las series4,5. De manera más esporádica se encuentran tumores de otra estirpe en estos pacientes, como el fibrohistiocitoma maligno óseo o sarcoma pleomórfico indiferenciado de nuestro caso6. Esta neoplasia es poco frecuente, constituyendo el 2-5% de los tumores óseos malignos, habitualmente aparece como masa palpable y dolorosa sobre fémur, tibia o húmero, objetivándose lesiones líticas de gran tamaño en la radiología simple. Esta es la presentación clínica descrita en casos publicados previamente, similar a la del presentado, si bien habitualmente la elevación de la fosfatasa alcalina es mucho mayor que en nuestro caso7. Su presentación más frecuente es la primaria pero en un 20-30% de los casos aparece en relación con lesiones óseas preexistentes, como las provocadas por enfermedad de Paget, tratamientos con radioterapia, artroplastias, traumatismos, infartos óseos o infecciones7–11. Su tratamiento es fundamentalmente quirúrgico y puede utilizarse radioterapia coadyuvante, aunque estudios recientes demuestran que la respuesta a quimioterapia puede ser similar a la del osteosarcoma, su comportamiento habitualmente es agresivo condicionando un mal pronóstico y alta mortalidad, en parte provocada por su alta tasa de recurrencias (en torno del 65%)7.
Conflicto de interesesLos autores declaran no tener ningún conflicto de intereses.






