A 39-year-old male, recently diagnosed with psoriasis with incomplete response to prescribed treatment (methotrexate 15mg sc weekly), presenting with pain in the carpi, knees and feet together with morning stiffness of half an hour's duration and paraesthesia in the hands, predominantly at night, of 2–3 months’ onset. He also reported neck pain limiting movement, of one month's onset.
Joint examination highlighted synovitis 1st left MCP, 2nd to 4th left PIP, 2nd to 3rd right MCP and 2nd to 4th right PIP. Pain with no swelling 2nd to 4th left MCP. Painful hips, knees and shoulders, with no functional limitation and positive SI opening and closing manoeuvres. Laboratory tests showed slightly increased acute phase reactants (CRP 17.9 and ESR 18), with no other pathological findings, and negative RF, ANA and ANCA.
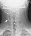
The plain neck X-ray (Fig. 1) performed on admission showed a proximal cervical rib originating in vertebral body C3 in a caudal direction and articulating with another distal supernumerary rib, originating and ascending from vertebral body C7.
DiscussionCervical ribs are prolongations of the transverse process of the seventh cervical vertebra beyond the transverse process of the first thoracic rib. Their incidence is different in different countries,1–7 although it is estimated at around between .2% and 8%, and is more common in women.3,5,7 They can be unilateral or bilateral (the latter comprise 50%–80%), with poor right predominance when they are unilateral.2,8 In 90% of cases they tend to be asymptomatic3,6–8 and are usually diagnosed accidentally when a plain X-ray of the chest or cervical spine is performed for a different reason. Treatment is usually conservative with rehabilitation, except when symptoms occur caused by nerve (brachial plexus) or vascular (subclavian artery) compression,5–7 when the surgical option is taken.4
Ethical ResponsibilitiesProtection of people and animalsThe authors declare that no experiments were performed on humans or animals for this investigation.
Data confidentialityThe authors declare that they have followed the protocols of their work centre on the publication of patient data.
Right to privacy and informed consentThe authors declare that no patient data appears in this article.
Conflict of InterestsThe authors have no conflicts of interests to declare.
Please cite this article as: Plaza Aulestia N, Rodríguez Montero S, Velloso Feijoo ML. Doble costilla cervical: a propósito de un caso. Reumatol Clin. 2019;15:370–371.




