La enfermedad por arañazo de gato (EAG) es una enfermedad infecciosa causada por la proteobacteria Bartonella henselae, caracterizada por fiebre y linfadenopatía granulomatosa. La inmunosupresión es un factor de riesgo para el desarrollo de formas atípicas de la enfermedad. Presentamos el caso de una mujer de 52 años de edad que presentó fiebre y adenomegalias inguinales bilaterales. No tenía contacto aparente con animales. La paciente estaba recibiendo tratamiento con etanercept por artritis reumatoidea. La biopsia del ganglio linfático informó de una adenopatía granulomatosa. Evolucionó favorablemente con la interrupción de etanercept y el tratamiento con minociclina. Presentó remisión clínica y la seroconversión típica. La infección por Bartonella debería ser considerada como un diagnóstico diferencial en pacientes con artritis reumatoidea, con linfadenopatía de origen desconocido.
Cat scratch disease (CSD) is an infectious disorder caused by Bartonella henselae and characterized by fever and granulomatous lymphadenopathy. Immunosuppression is a risk factor for the development of atypical forms of the disease. We report the case of a 52-year-old woman who presented with fever and bilateral inguinal lymph node enlargement. She did not have apparent contact with animals. The patient was receiving etanercept therapy for rheumatoid arthritis. Lymph node biopsy demonstrated granulomatous lymphadenitis. She was successfully managed by discontinuing etanercept and by treatment with minocycline. She developed clinical remission and typical seroconversion. Infection with Bartonella should be considered in the differential diagnosis in rheumatoid arthritis patients with lymphadenopathy of unknown origin.
La proteobacteria Bartonella henselae (BH) es un pequeño bacilo Gram negativo, aeróbico, altamente adaptable a varios mamíferos como reservorios. Produce en el hombre la enfermedad por arañazo de gato (EAG), caracterizada por fiebre autolimitada y linfadenopatías granulomatosas, pudiendo evolucionar entre el 5-15% de los casos, hacia formas severas con compromiso ocular, glandular, neurológico, pulmonar, osteoarticular o púrpura trombocitopénica1,2.
La utilización de medicamentos biológicos en sujetos con enfermedades reumáticas, frecuentemente en contacto con animales domésticos, aumenta la preocupación sobre la aparición de enfermedades oportunistas, especialmente con presentaciones atípicas3–9.
Caso clínicoMujer de 52 años de edad con antecedentes de artritis reumatoidea (AR) desde los 29 años, que había recibido tratamiento con metotrexato, leflunomida y meprednisona (MP). A los 45 años se diagnosticó una «glomerulopatía esclerosante difusa y amiloidosis», por lo cual inició tratamiento con etanercept 50mg/semana logrando mejoría clínica.
Treinta días previos a la consulta, comienza con síndrome febril y diarrea autolimitada (una semana). Niega contacto con animales. Al ingreso estaba subfebril, con astenia, adinamia, anorexia y mioartralgias. Su examen físico mostraba adenopatías inguinales dolorosas bilaterales, sin ningún otro hallazgo semiológico relevante. Un ecocardiograma y un examen funcional respiratorio eran normales. La tomografía tóraco-abdominal solo mostró adenopatías inguinales.
El laboratorio informó Hto: 33%; Hb: 10,8g/dl. Glóbulos blancos 8.500/mm3 (N: 72%; Ly: 19%; M: 6%; E: 2% y B: 1%). VSG: 110mm/h. PCR: 10,2mg/dl. Glu: 93mg/dl. Urea: 62mg/dl. Creatinina: 2,4mg/dl. Ferritina: 232ng/ml (VN: 12-150ng/ml). Hepatograma normal, β2 micro-globulina 12,6mg/dl (VN: 0,8-2,2mg/dl); IgA: 668mg/dl; IgG: 1.680mg/dl e IgM 174mg/dl.
Los marcadores tumorales (CA 15.3, CA 19-9, CA-125 y CEA) fueron negativos. La serología viral (HIV, HBV y HCV) y la VDRL fueron negativas. No hubo evidencia de infección aguda para citomegalovirus, Epstein-Barr y toxoplasmosis. Los hemocultivos y urocultivos resultaron negativos.
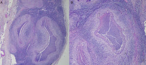
Una biopsia ganglionar inguinal mostró un cuadro histológico de «linfadenitis granulomatosa» que sugería el diagnóstico de EAG (fig. 1). Las técnicas de PAS, Grocott y Ziehl-Neelsen fueron negativas. La inmunohistoquímica (CD3, CD20) mostró linfocitos remanentes. La citometría de flujo no mostró evidencias de proceso linfoproliferativo. Los exámenes y cultivos para gérmenes comunes, micobacterias y hongos resultaron negativos. No se detectaron Chlamydia trachomatis, micobaterias atípicas o Mycobacterium tuberculosis en los métodos basados en la reacción en cadena de la polimerasa.
La serología para BH informó IgM positiva 1/32 (VC: 1/16) e IgG positiva 1/160 (VC: 1/10). Con el diagnóstico de EAG se inició tratamiento con minociclina 100mg/12h/12 semanas, con lo cual remitieron los síntomas y las adenopatías. Al término del tratamiento, se documentó negativización de la IgM e incremento de los títulos de IgG a 1/320. Se reinició el tratamiento con etanercept para el control de la AR, sin eventualidades.
DiscusiónLa EAG afecta especialmente a niños y adultos jóvenes, raramente ancianos, y se asocia a la presencia de contacto con animales (ausente en nuestra paciente). Describimos, a nuestro conocimiento, el primer caso de EAG en una paciente con AR tratada con etanercept.
El diagnóstico de EAG se basa en la combinación de los hallazgos clínicos, epidemiológicos (contacto), bacteriológicos, serológicos e histológicos. No existe un criterio diagnóstico considerado como patrón de referencia10,11.
En el huésped inmunocompetente suele presentarse como adenopatías de evolución subaguda acompañadas de fiebre y compromiso del estado general leve, aunque pueden ocurrir manifestaciones atípicas como fiebre de origen desconocido, granulomas hepato-esplénicos, neurorretinitis, convulsiones, osteomielitis, etc.1,2,10,11.
En pacientes inmunocomprometidos se han descrito bacteriemia, endocarditis, angiomatosis bacilar y peliosis hepática1–11. Nuestra paciente se presentó con un síndrome febril prolongado y linfadenopatías inguinales.
La lesión primaria aparece cerca del sitio de inoculación, 3 a 10 días después del arañazo o mordedura. La respuesta inmune incluye un aumento de respuesta de linfocitos T cooperadores mediada por interferón-γ, reclutamiento y estímulo macrofágico, con formación de granulomas. Durante la infección los macrófagos infectados producen altos niveles del TNF-α, por lo que el uso de medicamentos bloqueadores del TNF-α interfiere la respuesta inflamatoria favoreciendo la diseminación y bacteriemia de la BH2,11.
La falta de exposición a los gatos, puede ser explicada a que otros animales (artrópodos) pueden transmitir la bacteria. Es conocido que muchos pacientes con EAG niegan antecedentes de contacto con gatos12,13.
La revisión de la literatura de EAG en enfermos (tabla 1) que recibían agentes biológicos mostró que las adenopatías se describen en todas las presentaciones, pero solo en 3 de 8 pacientes se encontró la lesión o puerta de entrada. La fiebre, presente en los pacientes con etanercept, no ocurrió en todos los casos3–9.
Características del caso y comparación con la revisión de la literatura
| Caso clínico | ||||||||
|---|---|---|---|---|---|---|---|---|
| Sexo | Edad | Enfermedad | Fármaco | Fuente | Adenopatías | Fiebre | Diagnóstico | Tratamiento |
| F | 52 | AR | Etanercept | ? | Inguinales | Sí | IgM+, IgG+, AP | Minociclina |
| Revisión de la literatura | |||||||||
|---|---|---|---|---|---|---|---|---|---|
| Sexo | Edad | Enfermedad | Fármaco | Fuente | Adenopatías | Fiebre | Diagnóstico | Tratamiento | Ref. |
| M | 51 | APs | Etanercept | L | Mesentéricas. Abscesos esplénicos. Paniculitis | Sí | IgG+ | Claritromicina | 3 |
| M | 50 | EA | Etanercept | L | Cervicales, submaxilares | Sí | IgG+, AP: PCR+ | Doxiciclina Roxitromicina | 4 |
| F | 74 | Crohn | Infliximab | C | Mesentéricas, pericelíacas, mediastínicas. Paniculitis | Sí | IgG+ | Tigeciclina | 5 |
| F | 23 | EA | Infliximab | L | Inguinales. Nódulos subcutáneos en brazo | No | AP: W-S+ | Moxifloxacina Amikacina | 6 |
| M | 36 | AR | Tocilizumab | C | Axilares y mediastinales. Nódulos subcutáneos en brazo | No | IgG+, AP: PCR+ | Doxiciclina Gentamicina | 7 |
| M | 29 | AR sero− | Tocilizumab | C | Epitrocleares y axilares | No | IgG+, AP: W-S+ | Azitromicina | 8 |
| M | 36 | Ps | Adalimumab | C | Cervicales | No | AP: PCR+ | Doxiciclina | 9 |
AP: anatomía patológica; APs: artritis psoriásica; AR: artritis reumatoidea; AR sero−:artritis reumatoidea sero-negativa; C: contacto; EA: espondilitis anquilosante; Edad; años; F: femenino; L: lesión; M: masculino; W-S: tinción de Warthin-Starry; ?: desconocido.
El diagnóstico microbiológico de la BH se basa principalmente en la detección de anticuerpos por IFI o ELISA. Los títulos de IgG en la población general varían con el riesgo de exposición, considerándose un título de IgG≥1/64 diagnóstico (sensibilidad y especificidad >90%). La IgM es de corta duración (3 meses)14.
El aislamiento en cultivo es muy dificultoso (requiere de 2 a 6 semanas) y en general negativo. Esto debe ser tenido en cuenta, sobre todo en casos de fiebre de origen desconocido, neurorretinitis, encefalitis, peliosis o angiomatosis bacilar y en endocarditis con cultivos negativos. Las pruebas moleculares en sangre o tejidos, pueden ser de utilidad1,10–14.
La histopatología, de utilidad para el diagnóstico diferencial, es orientativa sin ser patognomónica y muestra granulomas necrosantes, microabscesos e hiperplasia folicular. La tinción de Warthin-Starry solo demuestra la presencia de bacilos en ganglios que contienen granulomas que supuran, por lo que su negatividad no excluye el diagnóstico15. El diagnóstico diferencial de la linfadenitis granulomatosa comprende un amplio espectro de causas infecciosas (agentes bacterianos —incluyendo BH—, chlamydias, hongos, micobacterias, parásitos, espiroquetas y rickettsias) y no infecciosas (neoplasias linfáticas o secundarias, vasculitis, enfermedad de Crohn, enfermedad celíaca, sarcoidosis, enfermedad de Kikuchi-Fujimoto, beriliosis, etc.)16.
El tratamiento debe considerar primariamente el cuadro clínico y el estado inmunológico del paciente. Las recomendaciones están basadas en reportes de casos y en la opinión de expertos, ya que los ensayos clínicos son escasos2,11,17,18.
En inmunocompetentes la enfermedad es en general autolimitada, pudiendo no requerir antibióticos. En un ensayo clínico con azitromicina, el empleo de esta última tuvo un pequeño efecto en la reducción de adenopatías en un menor tiempo.
En caso de intolerancia se puede utilizar claritromicina, rifampicina, trimetoprima-sulfametoxazol o ciprofloxacina. En inmunocomprometidos y en presentaciones atípicas se sugiere siempre tratamiento antibiótico. Combinaciones son recomendadas en enfermedad hepatoesplénica o diseminada (rifampicina más azitromicina o gentamicina) o enfermedad neurológica o neurorretinitis (doxiciclina más rifampicina)2,11,17,18.
En los pacientes con agentes biológicos los medicamentos más empleados fueron las tetraciclinas y los macrólidos. La evolución en todos los casos fue favorable, con tiempos de remisión variables, en la mayoría no inmediata, sin recaídas. Los tratamientos biológicos pudieron reiniciarse, como en nuestro caso, luego del control de la enfermedad3–9.
En resumen, presentamos una paciente con AR bajo tratamiento con etanercept, con diagnóstico de EAG por clínica, serología y anatomía patológica y respuesta favorable al tratamiento. El aumento del uso de biológicos y la convivencia con animales domésticos debe alertar a la sospecha de esta entidad, aun en ausencia de lesión evidente o contacto con mascotas.
Responsabilidades éticasProtección de personas y animalesLos autores declaran que para esta investigación no se han realizado experimentos en seres humanos ni en animales.
Confidencialidad de los datosLos autores declaran que han seguido los protocolos de su centro de trabajo sobre la publicación de datos de pacientes.
Derecho a la privacidad y consentimiento informadoLos autores declaran que en este artículo no aparecen datos de pacientes.
Conflicto de interesesLos autores declaran no tener ningún conflicto de intereses.





