La enfermedad ósea de Paget (EOP) es un proceso crónico caracterizado por un aumento de la remodelación ósea1, de presentación clínica variable, que va desde casos asintomáticos detectados por un aumento de los niveles séricos de fosfatasa alcalina (FA) o hallazgo radiológico casual, hasta dolor y deformidad ósea2.
El tratamiento está dirigido en una primera etapa hacia la reducción del dolor (AINE, paracetamol, inhibidores de la COX-2) y posteriormente, hacia la reducción de la velocidad de recambio óseo (calcitonina y bifosfonatos [BFF])3.
El objetivo del presente caso clínico es mostrar una forma de presentación inusual en ATM en el contexto de una EOP, así como mostrar la conducta a seguir.
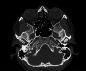
Presentamos el caso de una paciente de 72 años diagnosticada de una variante de EOP monostótica (afectación de cúbito) de 5 años de evolución, en tratamiento en primera instancia con analgésicos (AINE, paracetamol, inhibidores de la COX-2) y posteriormente con alendronato vía oral a dosis de 40mg trimestrales junto con suplementos de vitamina D (400U) y Ca (1,5g). La paciente fue remitida a nuestro servicio por presentar dolor (VAS=7/10) en la articulación temporomandibular (ATM) derecha y disminución de la apertura oral (<2,5cm). El estudio se completó mediante la realización de tomografía axial computarizada (TAC), en la que se apreció deformidad condilar con osteoesclerosis y osteofitos (fig. 1). Diagnosticada como artropatía de ATM fue tratada en primera instancia mediante férula de descarga maxilar, ejercicios de rehabilitación, tratamiento analgésico y relajantes musculares. Tras revisiones periódicas trimestrales, al año de tratamiento se apreció reducción del dolor (VAS: 3/10) y aumento de la funcionalidad articular con apertura oral superior a 3cm.
La afectación de los maxilares, y más concretamente de la ATM en la EOP constituye un hecho insólito4.
Pese a no verificarse la afectación de los maxilares, y sin poder descartar otra causa (artrosis, artritis), dada la ausencia de antecedentes previos, el caso orienta hacia una afectación articular aislada de la ATM provocada por el continuo estrés al que son sometidos los cóndilos articulares como consecuencia de la masticación, provocando fenómenos degenerativos con episodios de remodelado óseo. No obstante, la confirmación de dicha hipótesis precisaría de la realización de pruebas más específicas (gammagrafía ósea).
La mejoría clínica apreciada globalmente corrobora la tendencia actual5,6 de que el tratamiento con BFF de segunda y tercera generación (pamidronato, alendronato, risedronato, zoledronato) son más efectivos que la calcitonina y el etidronato en el control sérico y degenerativo de la enfermedad.




