El hemartros hace referencia a la presencia de sangre intraarticular y su forma habitual de presentación es la monoartritis aguda, generalmente de la rodilla. El diagnóstico diferencial de un hemartros espontáneo incluye trastornos de la coagulación, neoplasias, sinovitis vellonodular pigmentada, vasculitis, artritis reumatoide y las enfermedades por depósito de cristales de pirofosfato de calcio o hidroxiapatita, entre otras causas1.
Por otro lado, el escorbuto es una enfermedad provocada por la deficiencia de la vitamina C o ácido ascórbico, vitamina hidrosoluble implicada en la síntesis de colágeno a través de la hidroxilación de lisina y prolina en el precolágeno2. El diagnóstico del escorbuto es clínico y es preciso realizar un amplio diagnóstico diferencial con diversas enfermedades, en especial con las vasculitis al ser la púrpura cutánea una de sus manifestaciones clínicas más características3.
Presentamos el caso de un varón de 42 años con antecedente de esquizofrenia paranoide, que acude al servicio de urgencias por dolor y tumefacción progresiva de la rodilla izquierda de 2 semanas de evolución. No refería traumatismo previo. La exploración mostró gingivitis, lesiones purpúricas cutáneas y artritis de la rodilla izquierda.
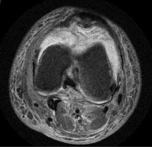
Se realizó una artrocentesis que mostró un líquido hemático (hematíes 940.000μl, células nucleadas 24.550μl —linfocitos 11% y neutrófilos 89%— y proteínas 56g/l). La radiología simple de la rodilla fue normal, y en una RMN se observó abundante derrame articular e importante infiltrado edematoso circunferencial intraarticular, que se describió como compatible con hemartros, sin otros hallazgos patológicos (fig. 1). Por otro lado, también se realizó una biopsia de las lesiones purpúricas cutáneas, que mostró extravasación hemática y siderófagos sin infiltrado inflamatorio.
Los ANA, ANCA, cultivos de líquido articular, serologías de virus hepatotropos y VIH, así como estudio de coagulación, análisis generales y reactantes de fase aguda fueron negativos o normales. En la anamnesis dirigida refería realizar una dieta restrictiva, alimentándose únicamente de leche y yogures, así como episodios previos de hemorragias gingivales.
Los niveles séricos de vitamina C fueron <0,10mg/dl (valores normales: 0,4-2mg/dl).
Tras el diagnóstico del escorbuto se inició tratamiento con suplementos de vitamina C y una dieta supervisada. La evolución fue buena, con una rápida mejoría de las lesiones cutáneas y resolución del hemartros.
En la actualidad el escorbuto es una entidad rara en los países desarrollados4, pero el reumatólogo habrá de considerarla ante un hemartros espontáneo, sobre todo si están presentes otras manifestaciones hemorrágicas o trastornos alimentarios, teniendo en cuenta que el diagnóstico definitivo suele confirmarse a posteriori, ya que los niveles de vitamina C no se realizan de forma rutinaria.
En resumen, el escorbuto es una enfermedad carencial muy rara en los países occidentales, aunque todavía puede observarse en algunos enfermos psiquiátricos y alcohólicos con trastornos de la alimentación. Con este caso pretendemos recordar esta entidad como causa de enfermedad reumática, y aunque poco frecuente, debemos de tenerla en cuenta como diagnóstico diferencial ante un hemartros. La clave diagnóstica todavía está en la exploración física y la anamnesis, siendo las pruebas complementarias habituales exclusivamente una ayuda para excluir otros procesos.




