Psoriatic arthritis has certain characteristic radiological signs like simultaneity of bone proliferation and resorption (with the “pencil-in-cup” deformity), and periarticular erosions. However, there are other less well-known radiological findings that could be useful because of their specificity.1
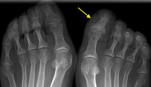
We present the case of a 52-year-old woman with 3-year history of plantar and nail psoriasis. She was referred to us with inflammation and pain in the great toe of her right foot, although she had had no traumatic injury and could describe no general symptoms. Physical examination revealed onychodystrophy, inflammation of the entire toe (dactylitis) and moderate periungual erythema, with no inflammation of other joints (Fig. 1). Acute-phase reactants, rheumatoid factor, anti-citrullinated peptide antibodies and human leukocyte antigen (HLA)-B27 were normal or negative. An ultrasound of the affected area showed an increase in the connective tissue, paratendinitis of the extensor tendon and cortical irregularities in the interphalangeal joint. Plain radiography showed an increase in the entire density of the distal phalanx of the great toe of the right foot, with no significant changes in the interphalangeal joint (Fig. 2).
This radiological finding is referred to as “ivory phalanx”, and is a characteristic sign, but not very widely known in psoriatic arthritis. It is related to periosteum and endosteum condensation with trabecular thickening, leading to a homogeneous increase in the radiological density of the phalanx, giving it an image of global sclerosis that reminds us of ivory.2 It occurs most often in the distal phalanx of the great toes; it can be bilateral and can even effect other toes. It is normally associated with local changes in the nail, and can develop in the earliest phases of the disease.3,4
Similar alterations can also be found in reactive arthritis and infections,5 although in those cases, the clinical differential diagnosis and physical examination are usually sufficient to distinguish them.
Ethical DisclosuresProtection of human and animal subjectsThe authors declare that no experiments were performed on humans or animals for this study.
Confidentiality of dataThe authors declare that they have followed the protocols of their work center on the publication of patient data.
Right to privacy and informed consentThe authors have obtained the written informed consent of the patients or subjects mentioned in the article. The corresponding author is in possession of this document.
Conflicts of InterestThe authors declare they have no conflicts of interest.
Please cite this article as: Macía Villa CC, Medina Luezas J. Falange de marfil: un hallazgo específico y poco conocido en artritis psoriásica. Reumatol Clin. 2017;13:113–114.





