Presentamos el caso de un paciente de 47 años que presentó una neoplasia ósea (carcinoma escamoso T4N0) del maxilar inferior diagnosticada en 2010 e inicialmente tratada con quimioterapia de inducción (cisplatino-5-fluorouracilo en esquema Al-Sarraf) y cirugía, realizando vaciamiento cervical bilateral, hemimandibulectomía izquierda y reconstrucción del maxilar inferior con un implante de peroné e injerto de piel; posteriormente, realizó tratamiento con 60 Gray de radioterapia externa y quimioterapia concomitante.
El paciente siguió el tratamiento sin efectos adversos destacables, manteniendo una correcta función de la boca y del maxilar inferior.
A los pocos meses de finalizar el tratamiento, inició dolor, tumefacción en área maxilar y dificultad progresiva para los movimientos de flexo-extensión del cuello y para la apertura bucal.
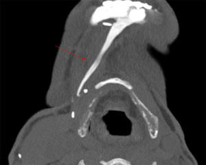
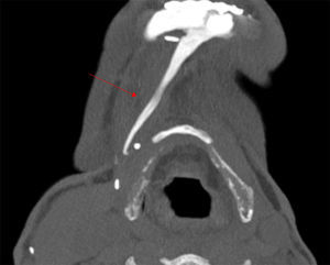
Se realizó una gammagrafía ósea que demostró una captación localizada de tecnecio en el maxilar inferior. Se realizó posteriormente una tomografía computarizada del cuello, la proyección axial maximum intensity projection (MIP) (fig. 1) y las imágenes en reconstrucción 3D (fig. 2) muestran una calcificación lineal anormal que se extiende desde el borde inferior de la mandíbula hacia el hioides, siguiendo el vientre anterior del músculo digástrico.
La miositis osificante circunscrita aparece en la segunda y la tercera décadas de la vida, las localizaciones más frecuentes incluyen la pierna en el músculo cuádriceps, el hombro, el brazo y la mano. La mitad de los pacientes presentan una historia de múltiples lesiones o traumatismos en el área afectada1,2. Un caso similar de miositis osificante en los músculos faciales está descrito en la literatura3. La radioterapia, la cirugía y la inmovilización prolongada del maxilar inferior son factores que pueden tener un papel en el desarrollo de miositis osificante en estos casos.
El tratamiento es habitualmente conservador, la cirugía no está recomendada especialmente en las fases iniciales y en nuestro paciente está totalmente desaconsejada debido al reciente tratamiento con radioterapia. El tratamiento incluye inicialmente antiinflamatorios no esteroideos y reposo, seguido de rehabilitación y terapia física para restablecer la función4.
Responsabilidades éticasProtección de personas y animalesLos autores declaran que para esta investigación no se han realizado experimentos en seres humanos ni en animales.
Confidencialidad de los datosLos autores declaran que han seguido los protocolos de su centro de trabajo sobre la publicación de datos de pacientes y que todos los pacientes incluidos en el estudio han recibido información suficiente y han dado su consentimiento informado por escrito para participar en dicho estudio.
Derecho a la privacidad y consentimiento informadoLos autores han obtenido el consentimiento informado de los pacientes y/o sujetos referidos en el artículo. Este documento obra en poder del autor de correspondencia.
Conflicto de interesesLos autores declaran que no existen conflictos de intereses.





