La esclerodermia localizada es una enfermedad del tejido conectivo generalmente limitada a la piel y tejido celular subcutáneo; sin embargo; puede progresar a grandes placas induradas, retraso del crecimiento, atrofia muscular e incluso deformidades en flexión o pobre cicatrización de las heridas. La morfea generalizada unilateral es una variante rara de la esclerodermia localizada descrita ocasionalmente en la literatura. Presentamos el caso de una niña con morfea generalizada unilateral que afectó al lado derecho del cuerpo.
Localized scleroderma is a connective tissue disorder generally involving de entire dermis and usually limited to the subcutaneous tissue; however, it may progress to large indurated plaques, growth retardation, muscle atrophy, and even to flexion deformities or poorly healing ulcers. Unilateral generalized morphea is an extremely rare variant of localized scleroderma which has seldom been reported in the literature. We report the case of a girl who developed unilateral generalized morphea on the right side of the body.
La esclerodermia localizada, conocida como morfea, incluye un grupo de distintas condiciones que afectan a la piel y tejido celular subcutáneo. Su rango varía de pequeñas placas que afectan a la piel a una enfermedad que puede causar deformidades funcionales y cosméticas con una variedad de manifestaciones extracutáneas1. Comúnmente, la esclerodermia localizada se ha dividido en 3 grupos: morfea, morfea generalizada y esclerodermia lineal. En el año 2004, la Sociedad Europea de Reumatología Pediátrica propuso nuevos criterios de clasificación para la esclerodermia localizada juvenil e incluyeron 5 subtipos: morfea circunscripta, esclerodermia lineal, morfea generalizada, morfea panesclerótica y esclerodermia mixta (cuando se presenta una combinación de 2 o más de los subtipos anteriores)1,2. La morfea generalizada unilateral es una variante de la esclerodermia lineal en la infancia3.
Caso clínicoNiña de 12 años que ingresa en nuestro hospital en febrero de 2010 por afectación del n. mediano derecho que precisó cirugía descompresiva de urgencias y el mes siguiente desbridamiento de la herida y cobertura mediante injerto de piel. Desde 4-5 meses previos tras traumatismo banal notaba parestesias, dolor, inflamación y dificultad a la movilización de la mano derecha. Dicha clínica fue aumentando sin mejoría y se acompañó de lesiones hipopigmentadas en dicha mano, que progresivamente se extendieron hacia el miembro inferior derecho, acompañándose de endurecimiento cutáneo. No refería toma de fármacos ni contacto con tóxicos.
En la exploración física destacaba dificultad a la flexión de la cadera y rodilla derechas, contractura en flexión de la mano derecha y máculas hipo/hiperpigmentadas moteadas en el hemicuerpo derecho a nivel del tronco, miembro superior e inferior (fig. 1), con aumento difuso de la consistencia a la palpación, siendo el resto de la exploración sistemática normal.
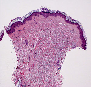
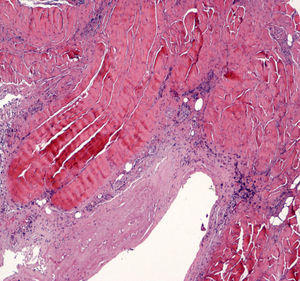
Las pruebas de laboratorios pusieron de manifiesto una velocidad de sedimentación glomerular 47mm/1.ª h, proteinograma con incremento policlonal de gammaglobulinas, hormona tirostimulante 5,85μU/ml; autoinmunidad: ANA+ a título 1/320, patrón moteado, antihistonas +, Scl-70, PMScl, ku, ADNds, etc., negativos El hemograma, la bioquímica sérica y las enzimas musculares fueron normales. El factor reumatoide y la serología de artritis (parvovirus, Brucella, Borrelia, etc.) fueron negativos. La radiología de tórax y óseas (manos, pies, sacroilíacas) fueron normales. La resonancia magnética de carpo derecho (previa al ingreso) mostraba tenosinovitis proliferativa con hiperplasia sinovial. La ecografía del muslo derecho mostró un discreto edema difuso de tejido celular subcutáneo. La biopsia cutánea a nivel del muslo derecho presentaba un engrosamiento dérmico a expensas de fibras de colágeno desorganizadas que se extienden hacia el subcutis. Se acompaña de atrofia glandular pilosebácea, así como de un moderado infiltrado inflamatorio mononuclear de disposición perivascular (fig. 2). La biopsia del retináculo de los flexores del carpo derecho en el momento de la intervención mostró tejido fibroso aponeurótico y muscular estriado englobados en un estroma fibroso colágeno acompañado de un infiltrado inflamatorio mononuclear en cantidad moderada y predominantemente perivascular (fig. 3). La ecocardiografía puso de manifiesto una insuficiencia mitral muy leve, sin datos de hipertensión pulmonar. Las pruebas funcionales respiratorias resultaron normales.
Se inició tratamiento con pulsos de 6-MP (750mg) 3 días consecutivos y después prednisona (10mg/día) asociada a metotrexato por vía oral (15mg/semana), además de tratamiento fisioterápico con reblandecimiento de las lesiones cutáneas y mejoría de las contracturas articulares. A día de hoy, después de 6 meses de tratamiento no presenta limitación funcional para las actividades escolares y de ocio.
DiscusiónLa esclerodermia es una enfermedad del tejido conectivo, autoinmunitaria, caracterizada por fibrosis de la piel; además puede ser localizada o sistémica (participación de uno o varios órganos internos)2. Más que representar dos entidades distintas puede representar los extremos de un espectro continuo de enfermedad1. En nuestro conocimiento solo 6 casos de morfea generalizada unilateral se han descrito en la literatura: 5 adultos jóvenes3,4 y 1 niño5. Comparten con nuestro caso características como el inicio temprano, la afectación unilateral y la positividad de los ANA. Además, en nuestro caso encontramos anticuerpos antihistonas, los cuales se detectan en el 47% de los pacientes con esclerodermia localizada con una prevalencia más alta en la morfea generalizada1 y parecen relacionarse con la gravedad de la enfermedad y contracturas articulares6,7. Así, nuestro caso presentó túnel del carpo y contracturas no descritas en los demás. Respecto al tratamiento de la esclerodermia localizada, cuando hay riesgo significativo de discapacidad funcional por afectación articular o extensa de la piel se recomienda tratamiento sistémico. Aunque no hay estudios controlados, se dispone de una experiencia amplia con metotrexato1. El tratamiento combinado con pulsos de MP y bajas dosis de metotrexato se utilizó en nuestro caso y en otros cuatro descritos3; un adulto se trató con corticoides por vía oral a dosis altas asociados a metotrexato4 y un niño con corticoides tópicos5, todos ellos con buena respuesta. Aunque la etiología de la esclerodermia localizada es desconocida, se han descrito factores desencadenantes como un trauma, la infección previa por Borrelia burgdorferi, etc.8. En nuestro caso identificamos un trauma banal en otro de un adulto joven la exposición a sílice y la vibración transmitida en la mano ipsolateral a la esclerosis, pero el posible papel de estos factores no está claro en la esclerodermia localizada.
Conflicto de interesesLos autores declaran no tener ningún conflicto de intereses.






