La osteopoiquilia, también denominada osteopoiquilosis, es una displasia osteosclerosa asintomática, de etiología inespecífica, descrita por primera vez por Albers-Shonberg en 19151. Presentamos el caso de una paciente de 49 años, afectada de osteopoiquilia en ambos fémures, pelvis y columna vertebral. En nuestro conocimiento, la localización de ésta en columna vertebral es excepcional2. El diagnóstico fue realizado de forma casual al revisarse la radiología de columna lumbar.
Caso clínicoMujer de 49 años, como antecedente patológico principal destaca: discopatía degenerativa L5-S1, intervenida mediante prótesis total de disco y síndrome facetario secundario. Controlada en consultas externas de reumatología por lumbalgia mecánica secundaria a su discopatía. En la analítica general presentaba, calcio 9,8mg/dl (8,5-10,5), fósforo 3,2mg/dl (2,5-4,8), fosfatasa alcalina 102 U/l (35-104), PTH intacta 22pg/ml (12-65) y vitamina D (25-0H) 57,50ng/ml (≥ 30).
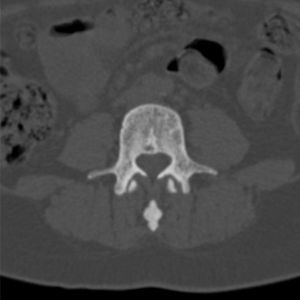
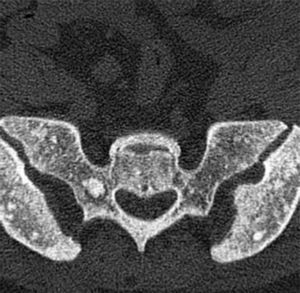
En un control radiográfico rutinario de la columna lumbar (fig. 1), se observan numerosos focos pequeños, bien definidos, homogéneos, circulares, de mayor densidad ósea, en los cuerpos vertebrales, a lo largo de todo el esqueleto axial, por lo que se amplía estudio con radiografía de pelvis AP (fig. 2) y TAC de pelvis y cuerpo vertebral lumbar (figs. 3 y 4), que mostraban lesiones radiodensas redondeadas u ovales en la cabeza y el cuello femorales y en regiones pertrocantéreas, con presencia de pequeñas áreas de densidad aumentada en la pelvis y en los cuerpos vertebrales que indicaban como primer diagnóstico osteopoiquilia. No se observaban componente de partes blandas, ni áreas de rotura de la cortical, ni presencia de reacciones periósticas de características agresivas.
Para descartar otros procesos, se realizó una biopsia ósea de la cresta iliaca, informada como tejido óseo normal, con trabéculas grandes, anchas y que conectaban entre sí. Las imágenes radiológicas altamente indicativas de osteopoiquilia y la normalidad de las exploraciones complementarias, incluidas la biopsia ósea, permiten hacer el diagnóstico de osteopoiquilia.
DiscusiónLa osteopoiquilia es una enfermedad ósea rara2, con una prevalencia de aproximadamente uno por cada 50.000 pacientes3,4, consistente en una displasia ósea con múltiples focos radiodensos situados en el hueso trabecular5,6. Es más frecuente en hombres y se han descrito casos familiares, con herencia autosómica dominante5,6. Se ha descrito una mutación genética en el gen LEMD34,7. Clínicamente, es asintomática8. Las localizaciones más frecuentes son falanges, carpo, metacarpianos, falanges del pie, metatarsianos, tarso, pelvis, fémur, sacro, húmero y tibia. La afectación de las costillas, las clavículas, la columna y el cráneo es infrecuente5,8,9. En ocasiones, pueden asociarse lesiones cutáneas papulosas de color blanco amarillento, redondeadas u ovaladas, localizadas en la región lumbar, los glúteos, los brazos y los muslos, con cierta simetría (dermatofibrosis lenticular diseminada), denominándose este cuadro síndrome de Buschke-Ollendorf u osteodermatopoiquilosis5. El diagnóstico es radiológico, ya que la imagen es muy indicativa, caracterizada por focos de esclerosis, rara vez mayores de 10mm, sin afectación de la cortical ósea. La gammagrafía ósea no muestra datos patológicos, lo que resulta muy útil a la hora de hacer el diagnóstico diferencial con otras lesiones osteocondensantes5,9. Histológicamente, se encuentra un aumento en el número y el grosor de las trabéculas de la esponjosa5,6,8, como en nuestro caso.
El diagnóstico diferencial debe realizarse con metástasis óseas osteoblásticas, mastocitosis, esclerosis tuberosa, osteopatía estriada, melorreostosis, osteopetrosis, esclerosteosis, enfermedad de Erdheim-Chester o la fluorosis7,10.
Responsabilidades éticasProtección de personas y animalesLos autores declaran que los procedimientos seguidos se conformaron a las normas éticas del comité de experimentación humana responsable y de acuerdo con la Asociación Médica Mundial y la Declaración de Helsinki.
Confidencialidad de los datosLos autores declaran que han seguido los protocolos de su centro de trabajo sobre la publicación de datos de pacientes y que todos los pacientes incluidos en el estudio han recibido información suficiente y han dado su consentimiento informado por escrito para participar en dicho estudio.
Derecho a la privacidad y consentimiento informadoLos autores han obtenido el consentimiento informado de los pacientes y/o sujetos referidos en el artículo. Este documento obra en poder del autor de correspondencia.
Conflicto de interesesLos autores declaran no tener ningún conflicto de intereses.







