El dolor glúteo es un motivo frecuente de consulta médica en la práctica clínica diaria. Las causas son muy variadas, pudiendo encontrar entre aquellas que forman parte de su diagnóstico diferencial el síndrome de pinzamiento isquiofemoral. Este, incluido actualmente dentro de los síndromes de glúteo profundo, es consecuencia del atrapamiento de las estructuras neuromusculares englobadas entre el trocánter menor y la tuberosidad isquiática, lo que ocasiona un cuadro de dolor en la raíz del miembro inferior, con irradiación hacia el muslo o hacia la región glútea, y mala tolerancia a la deambulación y a la sedestación. La prueba diagnóstica fundamental es la resonancia magnética de cadera, y su manejo suele ser médico inicialmente. A pesar de no ser una entidad frecuente en las consultas de reumatología, tener esta patología en mente ayuda a mejorar su pronóstico, al poder ofrecer un tratamiento adecuado y precoz.
Gluteal pain is a frequent cause of medical attention in the daily clinical practice. It can be caused by multiple pathologies, being ischiofemoral impingement syndrome among those included in its differential diagnosis. Encompassed within the deep gluteal syndromes, this entity occurs as a consequence of the entrapment of the neuromuscular structures between the lesser femoral trochanter and the ischial tuberosity, causing pain in the root of the lower limb, with irradiation towards the thigh or the gluteal region and poor tolerance to deambulation and sedestation. The magnetic resonance imaging of the hip is fundamental for its diagnosis, and its management consists on medical treatment at onset. Despite not being a frequent diagnosis in the clinical practice in rheumatology, keeping it in mind helps improving its prognosis by establishing an early and adequate treatment.
El dolor glúteo es un motivo frecuente de consulta médica, y su diagnóstico diferencial es amplio, debido a la variada etiología que puede ocasionarlo. Puede ser debido a causas mecánicas o a causas inflamatorias, ya sean procesos locales o sistémicos1, y tener su origen en el glúteo o provenir del raquis.
Una de estas causas, en las que raramente se piensa ante una clínica de este tipo, es el síndrome de pinzamiento isquiofemoral. Este se caracteriza por la aparición de dolor a nivel posterior y medial de la raíz del miembro inferior, provocado por una reducción en el espacio existente entre el trocánter menor y la tuberosidad isquiática, originando un pinzamiento de las estructuras cercanas1.
Observación clínicaPresentamos una serie de 5 casos clínicos de síndrome de pinzamiento isquiofemoral diagnosticados en nuestro hospital. Dentro de nuestra serie, el 100% de las pacientes eran mujeres, con una edad media de 57,8años. Todas presentaban pinzamiento isquiofemoral bilateral, aunque solo el 40% de los casos manifestaba clínica bilateral asociada. El 80% presentaban otra patología musculoesquelética asociada, siendo más frecuente la lumbalgia crónica, que aparecía en el 40% de los casos. El tiempo de evolución medio de la clínica presentada era de 2,3años. El manejo en todas las pacientes fue médico, sin recurrir a intervención quirúrgica, solo consiguiéndose resolución total de la clínica en el 20% de las pacientes. El 80% restante solo consiguió mejoría parcial de la sintomatología.
En la tabla 1 exponemos las características de los 5 casos clínicos de síndrome de pinzamiento isquiofemoral.
Descripción de los casos clínicos de síndrome de pinzamiento isquiofemoral diagnosticados en nuestro hospital. En la tabla encontramos características de sexo, edad en años, bilateralidad de clínica, presencia de otros diagnósticos reumatológicos concomitantes, tratamientos usados en el manejo del síndrome de pinzamiento isquiofemoral, evolución clínica y resolución de la clínica tras tratamiento
| Caso | Sexo (M/F) | Edad (años) | Bilateralidad (clínica/RM) | Otra patología musculoesquelética | Evolución (tiempo) | Tratamiento | ¿Resolución? |
|---|---|---|---|---|---|---|---|
| 1 | F | 72 | Sí (solo en RM) | Lumbalgia crónica secundaria a artrosis facetaria de L3 a S1 y discopatía crónica T10-T11 y T11-T1, listesis degenerativa L3-L4 y estenosis foraminales L4-L5 y L5/S1.Artrosis erosiva bilateral de manos | Dolor glúteo izquierdo con irradiación hacia miembro inferior ipsilateral.Mala tolerancia a deambulación y sedestación prolongada.1 mes de evolución | Analgesia oral.Infiltración de betametasona y mepivacaína de músculo cuadrado femoral izquierdo.Magnetoterapia | Parcial(Mejoría durante unas semanas, luego recidiva clínica) |
| 2 | F | 69 | Sí (solo en RM) | No | Coxalgia derecha con irradiación hacia miembro inferior ipsilateral, de predominio nocturno.Limitación en últimos grados de rotación interna.5 meses de evolución | Analgesia oral | Parcial(Mejoría, con recidivas puntuales del dolor) |
| 3 | F | 58 | Sí | Lumbalgia crónica secundaria a sacralización de L5 con repercusión en la unión lumbosacra con discopatía y estenosis central y de predominio derecho en L4/L5; y estenosis de predominio en recesos laterales en L5/S1.Dedos en garra pie derecho.Dolor en nódulo de Copeman | Dolor inguinal y en ambos glúteos, irradiado a muslos, de predominio izquierdo.Mala tolerancia a la deambulación y a la sedestación.3 años de evolución | Analgesia oral.Fisioterapia.Punción seca de ambos espacios isquiofemorales.Infiltración de betametasona y mepivacaína de ambos espacios isquiofemorales | Parcial(Mejoría durante unos meses, recidiva posterior pese a varias infiltraciones) |
| 4 | F | 46 | Sí (solo en RM) | Síndrome de túnel carpiano izquierdo | Dolor en isquion e ingle derecha.Mala tolerancia a la deambulación.3 años de evolución | Analgesia oral.Fisioterapia.Infiltración de betametasona y mepivacaína de músculo cuadrado femoral derecho | Parcial(Mejoría durante unos meses, luego recidiva clínica) |
| 5 | F | 44 | Sí | Bursitis de cadera bilateral.Síndrome piramidal bilateral | Dolor en ambas caderas, y a la presión de trocánter mayor e isquion derechos.5 años de evolución.Mala tolerancia a deambulación y a subir escaleras | Analgesia oral.Fisioterapia.Punción seca de ambos espacios isquiofemorales.Infiltración de betametasona y mepivacaína de ambos espacios isquiofemorales.Infiltración de toxina botulínica en espacio isquiofemoral izquierdo | Sí(Mejoría durante unos meses, recidiva posterior pese a varias infiltraciones, en el momento actual sin clínica) |
F: femenino; M: masculino; RM: resonancia magnética.
El síndrome de pinzamiento isquiofemoral es un diagnóstico poco extendido entre los reumatólogos. Tras revisar la literatura publicada en los últimos 10años sobre este tema, solo dos estudios fueron publicados en revistas especializadas de reumatología.
Es un síndrome provocado por fricción de diferentes estructuras anatómicas, consecuencia de la disminución del espacio isquiofemoral (delimitado por el trocánter menor y la tuberosidad isquiática), uno de los posibles puntos de pinzamiento en la pelvis ósea2. Esto genera un rozamiento excesivo u anómalo entre dichas estructuras, llegando a causar un atrapamiento o pinzamiento intermitente del músculo cuadrado femoral y originando edema, atrofia o incluso a veces rotura del mismo3,4, lo cual da lugar a la clínica.
Su etiología y su fisiopatología no son del todo conocidas. Inicialmente fue descrito por Johnson en 1977 en pacientes con coxalgia persistente tras cirugía de reemplazo protésico de cadera, evidenciándose posteriormente en pacientes que han sufrido una fractura intertrocantérea, tras una osteotomía pélvica correctora, o en pacientes con artrosis de cadera5,6. Sin embargo, se ha visto que la mayoría de casos son de causa primaria o idiopática7. Puede haber afectación bilateral en el 25% de los casos2. Además, se han descrito casos de pacientes con reducción del espacio isquiofemoral sin clínica, o pacientes con pinzamiento bilateral que presentan clínica solamente en un miembro7.
Su prevalencia es desconocida, disponiéndose solo de series con pocos casos publicados. Al igual que en nuestra serie de casos, la mayoría de pacientes son mujeres, lo que puede estar en relación con la disposición anatómica de la pelvis femenina, que presenta tuberosidades isquiáticas más prominentes2. También se ha visto en pacientes con debilidad de la musculatura abductora (ocasionando un pinzamiento dinámico del espacio), o con dismetría de miembros inferiores1.
Clínicamente, los pacientes presentan dolor a nivel posteromedial en la raíz del miembro inferior, asociando con frecuencia irradiación del dolor hacia el muslo o hacia el glúteo8. Si bien es cierto que algunos autores describen la clínica como dolor de cadera2,4,5, es habitual que los pacientes lo refieran como un dolor glúteo, englobándose actualmente en la literatura dentro de los síndromes de glúteo profundo8-10. El dolor puede empeorar con la rotación externa, la aducción y la extensión de la cadera, limitando sus movimientos, siendo especialmente mal toleradas la marcha y la sedestación, tal y como observamos en algunos de nuestros casos incluidos en la serie. Esto hace que los pacientes busquen con frecuencia una posición antiálgica8. Puede desarrollarse un cuadro agudo (por acúmulo de edema e inflamación en las estructuras anatómicas incluidas) o crónico (debido a la aparición de tejido fibroso que atrapa al nervio ciático), evolucionando durante meses o incluso años8,9.
Debe realizarse un diagnóstico diferencial con patologías que producen clínica similar, como son la rotura de tendón de psoas, la radiculopatía lumbar, la tendinopatía de isquiotibiales o de aductores, o la rotura de cuadrado femoral, así como con causas de dolor inguinal: bursitis y osteítis de cadera, sinfisitis, atrapamiento del nervio ciático o del nervio pudendo, entre otros2,5,11.
Al explorar a estos pacientes, debemos conocer dos maniobras exploratorias que sugieren la presencia de pinzamiento isquiofemoral:
- •
Test de pinzamiento isquiofemoral10. Esta maniobra es positiva cuando el paciente presenta dolor a la extensión, rotación externa y aducción forzada de la cadera, mejorando el dolor con la abducción. Con esta maniobra se consigue comprobar el espacio dinámico existente entre el isquion y el trocánter menor3,11,12, e incluso su positividad se ha correlacionado con la presencia de pinzamiento en las pruebas de imagen12.
- •
Test de la marcha con grandes zancadas5. Al obligar al paciente a realizar grandes zancadas, se reproduce el dolor en la región lateral a la tuberosidad isquiática con la extensión final de la cadera durante la marcha, mejorando el dolor al realizar pasos más cortos.
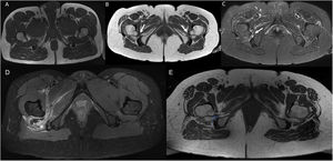
La resonancia magnética (RM) de cadera es la prueba de referencia para observar la disminución del espacio isquiofemoral12 (fig. 1). Se considera la existencia de pinzamiento cuando el espacio isquiofemoral es menor de 23 (±8) cm, o bien cuando la anchura del músculo cuadrado femoral es menor de 12 (±4) cm5,8. No obstante, existe controversia con el uso de estos valores de referencia1,11, dado que este espacio es muy variable según el ciclo de la marcha y la posición del paciente durante la prueba de imagen, y además la RM suele sobreestimar su medida, por lo que la exploración física del paciente resulta fundamental en el diagnóstico de esta patología. Con la RM también se puede objetivar alteración de señal del músculo cuadrado femoral por edema o rotura de fibras, infiltración grasa en casos de pinzamientos crónicos, o tendinopatía insercional de isquiotibiales o iliopsoas2,9,11. Otra técnica que resulta muy útil es la ecografía dinámica de cadera para corroborar el pinzamiento del espacio isquiofemoral con el cambio de posición del miembro inferior, así como valorar si la clínica del paciente es debida a pinzamiento o a otras causas11.
Composición de imágenes RM en el plano axial. Secuencias potenciadas en T1 (A y B) y STIR (C). A)Imagen de anatomía normal. B)Paciente número 2 de nuestra serie: disminución bilateral del espacio isquiofemoral (flechas blancas). C)El mismo paciente, donde además se aprecia leve edema en las partes blandas (cuadrado femoral) del espacio isquiofemoral derecho y atrofia de ambos. D)Imagen de RM en plano axial. Secuencia potenciada en densidad protónica (DP) con saturación grasa. Engrosamiento con edema y hematoma en músculo cuadrado femoral derecho (*) por rotura en paciente con pinzamiento del espacio isquiofemoral. E)Imagen RM en plano axial. Secuencia potenciada en T1. Medición del espacio cuadrado femoral e isquiofemoral en paciente con pinzamiento.
En cuanto al tratamiento, tal y como observamos en nuestra serie, de entrada se suele optar por un manejo médico, indicándose reposo relativo y evitar actividades que reproduzcan la clínica, uso de analgésicos o antiinflamatorios, infiltraciones tanto de glucocorticoides como de anestésicos locales o incluso de toxina botulínica, y tratamiento fisioterapéutico con el objetivo de fortalecer los abductores o de reeducar al paciente para limitar la amplitud de la zancada con la marcha5,7,9. Sin embargo, una parte de los pacientes suele presentar escasa respuesta, por lo que, en caso de persistencia de la clínica, está indicado el tratamiento quirúrgico definitivo mediante diferentes técnicas, entre las que se encuentran la resección o distalización del trocánter menor, la isquioplastia o la osteotomía femoral2,5,11.
ConclusiónA pesar de no ser una patología frecuente en nuestra práctica clínica diaria, los reumatólogos debemos considerar el síndrome de pinzamiento isquiofemoral en pacientes con dolor glúteo irradiado, puesto que el pronóstico va a depender de la agilidad en el diagnóstico y de la correcta derivación del paciente para poder ofrecerle un tratamiento adecuado y precoz.
Conflicto de interesesLos autores declaran que no presentan ningún tipo de conflicto de intereses para la realización y la publicación de este trabajo.





