El síndrome pulmón-riñón rara vez ha sido reportado como cuadro clínico de presentación de vasculitis causada por el consumo de cocaína contaminada con levamisol. Se reporta el caso de un paciente con este cuadro clínico y se señalan las dificultades que se presentaron durante el abordaje diagnóstico y terapéutico.
Pulmonary-renal syndrome has rarely been reported as the clinical presentation of vasculitis caused by the consumption of cocaine adulterated with levamisole. We report the case of a patient in whom we detected the clinical manifestations and indicate the difficulties that arose in relation to the diagnostic and therapeutic approach.
El consumo de cocaína sigue siendo un problema de salud pública. La adulteración de la cocaína con sustancias como el levamisol conlleva a la aparición de problemas sanitarios adicionales. La vasculitis ocasionada por levamisol presenta gran heterogeneidad clínica y de laboratorio lo que puede dificultar su diagnóstico.
Observación clínicaVarón de 34 años con antecedentes de artritis reactiva y consumo diario de marihuana. Negó consumo de cocaína. Ingresó durante una semana de malestar general, palidez, tos seca, dolor torácico y disnea. Se encontró palidez mucocutánea, hipoxemia y estertores en bases pulmonares. Estaba normotenso, sin taquicardia ni fiebre.
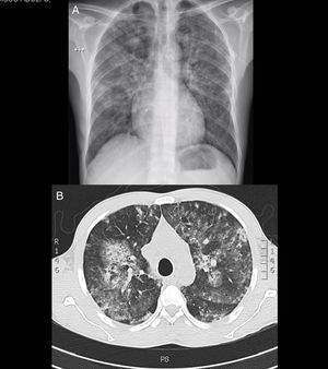
Tenía anemia grave, disfunción renal y opacidades mixtas en ambos campos pulmonares (fig. 1 y tabla 1). Se diagnosticó como síndrome pulmón-riñón y se inició tratamiento con altas dosis de esteroides y transfusión de glóbulos rojos. Inicialmente se consideró el diagnóstico de lupus eritematoso sistémico (LES) por el hallazgo de hipocomplementemia. En estudios adicionales se encontró positividad de múltiples anticuerpos: ANCA (antimieloperoxidasa y antiproteinasa-3), ANA, anti-Ro, anti-La, anticoagulante lúpico, factor reumatoide y anticardiolipina IgM. Los anticuerpos anti-Sm, anti-DNA y anti-membrana basal glomerular fueron negativos.
Resultados de laboratorio
| Laboratorio | Resultado |
|---|---|
| Creatinina (0,60-1,10mg/dl) | 2,16 |
| Uroanálisis (células por campo de alto poder CAP) | Proteínas 75mg/leucocitos 0-5/CAP/eritrocitos 21-50/CAP (70% crenados) |
| Proteínas en orina 24h (10-150mg) | 1.410 |
| Proteína C Reactiva (0,01-0,82mg/dl) | 4,13 |
| Hemoglobina (13,0-17,0g/dl) | 3,1 |
| Hematocrito (42,0-52,0%) | 10,1 |
| Glóbulos blancos (4.500-11.000/mm3) | 8.100 |
| Neutrófilos (1.500-6.100/mm3) | 2.800 |
| Linfocitos (1.500-3.500/mm3) | 4.800 |
| Eosinófilos (0-700/mm3) | 100 |
| Monocitos (0-1.000/mm3) | 400 |
| Basófilos (0-200/mm3) | 0 |
| Plaquetas (150-450×103/mm3) | 315.000 |
| Ferritina (15-200ng/ml) | 70 |
| Vitamina B12 (124-732pg/ml) | 492 |
| Ácido fólico (3,5-19,5ng/ml) | 10,3 |
| Complemento C3 (82-185mg/dl) | 75 |
| Complemento C4 (15-53mg/dl) | 9,9 |
| ANA (dilución, patrón) | 1:640, moteado |
| Anti-Ro (0-20 unidades) | 118,6 |
| Anti-La (0-20 unidades) | 87,6 |
| Anti-Sm (0-20 unidades) | 4,4 |
| Anti-RNP (0-20 unidades) | 5,3 |
| Anti-DNA nativo | Negativo |
| Anticardiolipinas IgM (0-12,5MPL/ml) | 29,5 |
| Anticardiolipinas IgG (0-15GPL/ml) | 2,9 |
| Anticoagulante lúpico confirmatorio | Relación normalizada 1,72 (positivo) |
| Anti-ß2 glicoproteína 1 IgG (0-20 unidades) | 0,70 |
| Anti-ß2 glicoproteína 1 IgM (0-20 unidades) | 6,19 |
| ANCA Anti MPO (0-20 unidades) | 105,5 |
| ANCA Anti PR3 (0-20 unidades) | 48,7 |
| Anti-membrana basal glomerular IgG (0-20 unidades) | 3,6 |
| Factor reumatoide (0-30UI/ml) | 40,6 |
| Tiempo de protrombina (s) | 11,2 |
| Tiempo parcial de tromboplastina (s) | 31,6 |
En una biopsia renal se observó glomerulonefritis endocapilar difusa con depósito de complejos inmunes y nefritis tubulointersticial. Una fibrobroncoscopia confirmó hemorragia alveolar (hemosiderófagos 40%) y descartó infección. Durante una evaluación posterior se observó perforación del tabique nasal y se confirmó con el paciente consumo frecuente de cocaína. Además de insistir en el cese del consumo se continuó tratamiento con prednisolona con buena respuesta clínica y ascenso de hemoglobina, pero con mejoría parcial de la función renal, por lo cual se adicionaron bolos mensuales de ciclofosfamida.
DiscusiónDurante los últimos años ha aumentado el reporte de casos de vasculitis asociada a consumo de cocaína adulterada con levamisol. Esta enfermedad puede comprometer múltiples órganos y sistemas1,2.
La hemorragia alveolar es infrecuente. McGrath et al. describieron una serie de 30 casos de vasculitis ANCA inducida por levamisol. Tres de los casos presentaron hemorragia alveolar y en ninguno de ellos se logró demostrar compromiso renal3. Más infrecuentes aún son los casos de síndrome pulmón-riñón por esta entidad4.
No existen criterios definitivos para su diagnóstico. El diagnóstico se basó en elementos epidemiológicos, clínicos y de laboratorio. En la mayoría de los casos no se logra demostrar el contaminante levamisol ya que la prueba no se encuentra clínicamente disponible y su medición debería realizarse dentro de las 24h después del último consumo. Se requiere un alto índice de sospecha para indagar de forma acuciosa sobre el consumo de cocaína. El diagnóstico diferencial es amplio. Podría confundirse con vasculitis asociadas con ANCA, síndrome de Goodpasture e incluso LES.
La vasculopatía secundaria a levamisol se caracteriza por títulos elevados de p-ANCA dirigidos contra múltiples antígenos inusuales, así como por la positividad concomitante de c-ANCA5,6, una expresión inusual en pacientes con vasculitis primaria. La positividad de múltiples anticuerpos y el consumo de complemento puede hacer confundir con el LES.
La tasa de recurrencia con el consumo continuado de cocaína es alta. No se conoce el papel de la terapia inmunosupresora ni existen esquemas de tratamiento definidos. El paciente respondió de forma parcial con los esteroides y la suspensión del agente causal. La adición de ciclofosfamida parece haber contribuido en la mejoría clínica final.
ConclusionesEste caso representa un reto clínico por la presentación atípica, la gravedad de las manifestaciones y la dificultad para el diagnóstico. Es necesario conocer las diferentes manifestaciones clínicas y de laboratorio causadas por el consumo de cocaína/levamisol y mantener un alto índice de sospecha sobre la posibilidad de este consumo, el cual suele ser negado por el paciente.
Conflicto de interesesLos autores declaramos no tener ningún conflicto de intereses para la preparación y el envío del presente escrito.





