A 76 year-old woman, with a history of anaemia and hyperuricemia treated with ferrous sulphate and 100 mg allopurinol per day. She states that she has consumed half a litre of alcohol-free beer per day for 15 years. She states that she has no history of arterial hypertension, no chronic disease and that she does not consume diuretics.
She visited our surgery due to arthralgia in the hands and feet with a crisis of pain and functional impotency in multiple joints that has evolved over more than 15 years. Physical examination found major tophaceous deposits in the hands and feet, most strikingly in the right hand (Fig. 1), with incapacity of grasping, above all in the right hand.
Analysis detected 7.7 mg/dl uricaemia, while the rest of basic biochemistry was normal. The haemogram, acute phase reagents, rheumatoid factor and anti-citrulline antibodies were normal or negative.
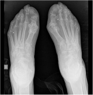
Bone X-ray imaging showed an important increase in the soft parts, with trapping and erosion in the metacarpophalangeal, proximal and distal interphalangeal joints of both hands (Fig. 2), as well as erosion on the first metatarsal joints and luxation of the 5th left metatarsal joint (Fig. 3).
DiagnosisTophaceous gout.
Evol utionTreatment with hygienic and dietary methods was prescribed, with colchicine and an increased dose of allopurinol to maintain uricaemia below 5 mg/dl.
DiscussionGout arthropathy is more common in men1 than it is in women, although it is the most frequent inflammatory disease of the joints in post-menopausal women. The first manifestation of the disease is typically acute arthritis.2 Tophi are sodium urate monohydrate deposits surrounded by a granulomatous inflammatory reaction. They are a pathognomic characteristic of gout and can be detected by physical examination and/or imaging techniques.3
We present the case of a woman with tophaceous arthropathy. We recall the importance of maintaining suitable levels of uricaemia, as this disease is potentially disabling. We underline that although it occurs more frequently in men, it is the most common inflammatory arthropathy in post-menopausal women.
Conflict of interestsThe authors have no conflict of interests to declare.
Please cite this article as: Pérez Galán MJ, García Jiménez C. Gota tofácea en una mujer. Reumatol Clin. 2020;16:506–507.






