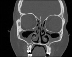
Femenino de 18 años con antecedente de asma de difícil control, sinusitis recurrente y enfermedad pulmonar intersticial diagnosticada en febrero de 2021, inicia padecimiento actual en enero de 2022 con tos, sibilancias y disnea. A la exploración física inicial destacan estertores bilaterales, dermatosis localizada en el dorso de ambas manos caracterizada por máculas eritemato-violáceas pruriginosas, las cuales no blanquean a la digitopresión. Los laboratorios de ingreso presentan leucocitosis de 15,4×109/l, con eosinofilia del 45%, así como elevación de reactantes de fase aguda (PCR y VSG). La tomografía de senos paranasales demuestra hipertrofia parasinusal, sinusitis crónica. La tomografía de tórax sin contraste demuestra imágenes de vidrio deslustrado multilobares que afectan más del 50% del parénquima pulmonar. Se realiza broncoscopia, se descartan causas infecciosas y se demuestran células inflamatorias con predominio eosinofílico. La biopsia nasal demostró infiltrado inflamatorio eosinofílico sin granulomas. Los estudios histopatológicos contra el citoplasma neutrofílico fueron negativos. Se realizó diagnóstico de granulomatosis eosinofílica con poliangeítis, se inició tratamiento con glucocorticoides a dosis altas con mejoría de las lesiones pulmonares y cutáneas. La paciente egresó con tratamiento a base de reducción gradual de glucocorticoides (descritas en el protocolo PEXIVAS), metrotexato 15mg a la semana y mepolizumab 100mg subcutáneo mensual. Después de 24meses de tratamiento se ha logrado la remisión total de la sintomatología, y el control bioquímico muestra menos del 1% de eosinófilos, con normalización de reactantes de fase aguda y puntaje en la escala Birmingham Vasculitis Activity Score (BVAS) de 0. La paciente no ha presentado ningún efecto adverso en el curso de su tratamiento.
La granulomatosis eosinofílica con poliangeítis (EGPA) es una enfermedad inmunomediada poco frecuente. Las características principales son asma de inicio tardío, eosinofilia periférica y tisular1. El estándar de oro diagnóstico es la biopsia con evidencia de infiltrados eosinofílicos y necrosis fibrinoide. La piedra angular del tratamiento son los glucocorticoides2. Sin embargo, los tratamientos biológicos, como el mepolizumab, un anticuerpo monoclonal humanizado contra el receptor de IL-5, se ha demostrado como un tratamiento eficaz para EGPA3. Los criterios de clasificación recientemente actualizados respaldan el diagnóstico en este caso y evitan retrasos en el tratamiento1. Aunque la dosis recomendada de mepolizumab suele ser de 300mg mensuales, se trata de un medicamento de alto coste4. Por lo tanto, en este caso decidimos inicialmente utilizar metotrexato, prednisona y dosis bajas de mepolizumab, con un resultado favorable4,5 (figs. 1 y 2).
No hubo fuentes de financiación.
Consideraciones éticasSe obtuvo el consentimiento informado por escrito del paciente para el uso de la imagen y la publicación de los detalles de su caso.
Contribución de los autoresTodas las personas designadas como autores han participado en el trabajo para asumir la responsabilidad pública en su contenido.
Conflicto de interesesLos autores no tienen ningún conflicto de intereses que declarar.





