X-linked hypophosphataemic rickets (XLH) is the main form of hereditary rickets caused by mutation of the PHEX gene and occurs mainly in childhood. Clinically, it causes growth retardation and bone deformities; however, there are atypical forms of presentation that make diagnosis difficult. We present a case of XLH of late diagnosis and paucisymptomatic form with multiple fractures and greatly affecting quality of life, under treatment with traditional therapy for this disease.
El raquitismo hipofosfatémico ligado al cromosoma X (XLH) es la principal forma de raquitismo hereditario causada por la mutación del gen PHEX y que se manifiesta principalmente en la infancia. Clínicamente cursa con retraso en el crecimiento y deformidades óseas, sin embargo, existen formas de presentación atípicas que dificultan el diagnóstico. Presentamos un caso de XLH con diagnóstico tardío y forma paucisintomática que presenta múltiples fracturas y gran afectación en su calidad de vida, en tratamiento con la terapia clásica para esta enfermedad.
X-linked hypophosphataemic rickets (XLH) is a hereditary disease caused by mutation of the PHEX gene located on locus Xp22.11.1 This gene codes for phosphate-regulating endopeptidase whose function is to inhibit fibroblast growth factor 23 (FGF-23). Increased FGF-23 decreases tubular phosphate resorption (TPR) and Alpha-1-hydroxylase activity, resulting in reduced serum levels of 1.25-dihydroxyvitamin D, hypophosphaturia and hypophosphataemia.2
The main clinical findings include rickets, osteomalacia, growth retardation, bone pain and enthesopathies. However, there are paucisymptomic forms that only manifest with chronic pain, osteoarthritis and muscle weakness, this hinders and delays diagnosis, requiring multidisciplinary management.3 Treatment is based on phosphorus and calcitriol supplements; however, the appearance of the human monoclonal anti-FGF23 antibody enables the disease mechanism to be blocked and its natural history modified.
Clinical caseA 35-year-old male with a history of chronic disabling low back pain and myalgias of several years’ duration, without signs of osteoarthritis or constitutional symptoms, referred for assessment by rheumatology. Physical examination was normal, height 185cm and BP 145/85mmHg. Of note in the complementary tests: phosphorus 1.7mg/dl (normal range [NR]: 2.7–4.5mg/dl), parathyroid hormone 85.2pg/ml (NR: 15–65pg/ml), 1.25 dihidroxyvitamin D 18.7ng/ml (NR: ≥30ng/ml), creatinine .9mg/dl (NR: .5–.95mg/dl), alkaline phosphatase 167I/U (NR: 35–105l/U), phosphaturia 2.088mg/24h with TRP of 55% (NR: ≥80%). The rest of the results were normal.
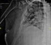
He presented multiple fractures in the ribs and right scapula due to an accidental fall (Fig. 1) and densitometry with signs of osteopenia in the spine. In view of these findings, treatment with phosphate, calcitriol and analgesics was started.
Tumour osteomalacia was ruled out as a possible cause, and therefore a genetic study was carried out which confirmed the diagnosis of XLH with mutation in the PHEX gene (4c.1645t). Treatment with phosphorus and calcitriol is currently being maintained, but the low back pain persists greatly affecting the patient's quality of life. Therefore, this patient would be a good candidate for burosumab.
DiscussionDiagnosing rare diseases is a challenge, especially XLH, whose phenotypic expression is very variable. Although most cases are diagnosed during childhood, this case is an example of a form of presentation that is not very expressive and has a wide differential diagnosis that could require the participation of various specialists.
Genetic tests help in the cases with atypical presentations or in adulthood where tumoral osteomalacia is the main possibility. Classical treatment with phosphate and calcitriol leads to side effects that limit adherence to treatment in the long term, but treatment with burosumab has shown very positive results in children as well as adults.4,5 It has been related to clinical improvement, correction of deformities, normalisation of growth and phosphorus levels in a sustained manner, with good results also in patients who, although they have completed their growth, continue with significant limitations to their quality of life due to the sequelae of the disease.6,7
In conclusion, we must be alert to these cases of XLH of difficult diagnosis due to their paucisymptomatic presentation that can be referred to us without a diagnosis in adulthood. Burosumab could be very useful in the treatment of adult patients with significant limitations to their quality of life.
Conflict of interestsThe authors have no conflict of interests to declare.
Please cite this article as: López-Romero LC, Broseta JJ, Olmos EG, Devesa-Such RJ, Hernández-Jaras J. Raquitismo hipofosfatémico ligado al cromosoma X: diagnóstico en la edad adulta y forma paucisintomática. Reumatol Clin. 2021;17:116–117.




