La nitrofurantoína es un antibiótico ampliamente utilizado para el tratamiento y la prevención de infecciones del tracto urinario (ITU). Los efectos adversos más frecuentes son a nivel gastrointestinal, sin embargo se han reportado casos de toxicidad pulmonar, hepática1 e incluso vasculitis2.
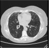
Se presenta el caso de una mujer de 62 años con historia de ITU de repetición, sin otros antecedentes. Se inició profilaxis con nitrofurantoína un año previo a la presentación de los síntomas. Remitida a reumatología por artralgias migratorias asimétricas de 4 meses, a la anamnesis refería disnea de moderados esfuerzos de aparición posterior a las artralgias. En la exploración física se auscultaban crepitantes bilaterales. La Rx de tórax mostró patrón intersticial bilateral, y en la tomografía computarizada de alta resolución (TACAR) áreas en vidrio deslustrado correspondientes a neumonía intersticial aguda/subaguda (fig. 1). En la analítica sanguínea destacaba GOT 360U/l, GPT 432U/l y GGT 279U/l con ecografía abdominal normal. La serología de virus hepatotropos y el estudio de anticuerpos de hepatitis autoinmune fueron negativos. En autoinmunidad se detectó ANCA+ 1/640 patrón perinuclear (anti-mieloperoxidasa y anti-proteinasa 3 negativos). Tras los hallazgos, se sospechó toxicidad por nitrofurantoína y se suspendió el fármaco. Se instauró tratamiento con prednisona, con buena respuesta a nivel respiratorio, descenso de enzimas hepáticas y resolución completa de artralgias. Durante su seguimiento los valores de transaminasas han permanecido normales, la clínica respiratoria desapareció y las pruebas de imagen pulmonares posteriores son normales. Las artralgias han remitido y los títulos de ANCA se han negativizado.
Existen reportes de casos de toxicidad pulmonar y hepática concomitante atribuida al uso de nitrofurantoína3. La toxicidad pulmonar como la hepática tienen 2 tipos de presentaciones: aguda y crónica. Los síntomas de toxicidad pulmonar crónica se desarrollan después de varios meses de tratamiento; los más comunes son disnea, tos irritativa y fatiga. Al examen físico suelen auscultarse crepitantes sobre todo en bases4. Existen anomalías radiográficas en la mayoría de pacientes, principalmente en campos inferiores y bilaterales. En la TACAR pueden observarse áreas de vidrio deslustrado, engrosamiento septal y bronquiectasias por tracción5.
La forma aguda de toxicidad hepática generalmente se presenta tras escasas semanas de tratamiento, es poco frecuente. Usualmente se acompaña de fiebre y rash6. Suele resolverse rápidamente tras retirar la medicación, aunque existen casos de hepatitis fulminante3. La afectación crónica más común se presenta meses o años después. La clínica suele ser fatiga, debilidad muscular e ictericia, en la analítica aumento de las transaminasas. En ocasiones se detectan marcadores de autoinmunidad (ANA+, anticuerpos anti-ML y elevación de IgG)1. La recuperación tras la retirada del fármaco suele ser lenta y el daño hepático puede persistir6.
Para sospechar el diagnóstico se deberá buscar la relación temporal entre la presentación de la sintomatología y la exposición al fármaco. El tratamiento se basa en retirar la nitrofurantoína, aunque suele asociarse glucocorticoides sin embrago, se cree que el cuadro podría ceder tras la discontinuación del fármaco1.
El pronóstico es bueno si la sospecha es temprana y se limita la exposición. Se ha comunicado un caso de vasculitis cutánea y renal ANCA positivo anti-MPO asociada al uso de nitrofurantoína2. En nuestro caso los ANCA fueron positivos, aunque sin especificidad asociada a vasculitis. Dada la buena evolución de la paciente tampoco se realizaron biopsias hepática o pulmonar que pudieran evidenciar vasculitis. No hemos encontrado casos de artralgias, con afectación simultánea pulmonar y hepática con ANCA positivo con relación al uso de nitrofurantoína. En este caso las artralgias fueron el síntoma predominante y llevaron a la detección de toxicidad pulmonar y hepática concomitante. Por lo tanto, creemos que la afectación articular puede advertir de la toxicidad sistémica y su detección temprana puede mejorar el pronóstico.




