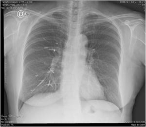
A 65-year-old female assessed for low back pain with a history of CT-guided percutaneous vertebroplasty 4 years previously secondary to vertebral fracture due to osteoporosis. As mentioned by the patient, the procedure was performed without complications and from it she achieved partial improvement of pain. On questioning she denied any respiratory symptoms. On physical examination the vital signs were normal, with 99% ambient air oxygen saturation. In the thoracic assessment the heart sounds were rhythmic, without murmurs, and the lung fields were not altered. Lumbar spine ranges of motion were diminished and there was pain on active and passive movement. Lumbar spine radiography showed scoliosis, as well as volume loss and the presence of radiopaque material at L3 (Fig. 1). Chest radiography showed the presence of radio-opaque material in right-dominant pulmonary vascular distribution (Fig. 2). Vertebral fracture is the most common complication of osteoporosis.1 In some patients vertebroplasty is used to reduce pain.2 This procedure involves the injection of cement to stabilise the anterior spine. Leakage of material has been reported in 30%–65% of patients. The risk factors described for this complication are: intravertebral fissure, cortical disruption and procedure-related factors (viscosity of the cement and volume of cement injected).3,4 It is considered that overfill of the vertebral body or inadvertent puncture into the radiated veins will facilitate the migration of cement into the perivertebral venous plexus, to pass through the hemiazygous vein, the azygous vein and flow into the inferior vena cava, which is where polymerisation of the material and embolism will occur.2 Most patients have reported asymptomatic side effects. In cases of pulmonary embolism, it has been reported that 26% will be asymptomatic5 and in <1% of cases will present some symptoms.6,7 The patient was sent to rehabilitation and treated with analgesics, with a good short-term outcome.
Conflict of interestThe authors have no conflict of interest to declare and the patient was asked for their consent to use the images.
Please cite this article as: Arana-Guajardo AC, Levi Cavazos-Aranda A. Embolismo pulmonar asintomático secundario a fuga de cemento tras vertebroplastia. Reumatol Clin. 2021;17:302–303.





