Secondary osteoporosis is a frequently underestimated bone disorder. It is a secondary cause of bone loss that affects more than half of men and premenopausal and perimenopausal women, and about one-fifth of postmenopausal women. We herein report an uncommon case of multiple fractures due to secondary osteoporosis caused by Cushing's disease. In this case the appearance of fractures in a 41 years old woman was the sign of alarm that ultimately led us to the diagnosis.
La osteoporosis secundaria está frecuentemente infraestimada en el estudio de la osteoporosis. Existe una causa segunda de osteoporosis en cerca o más de la mitad de hombres y mujeres premenopáusicas, y en torno a un quinto de las mujeres posmenopáusicas. Presentamos a una mujer de 41 años, con dolor óseo por fracturas múltiples, cuyo diagnóstico final fue enfermedad de Cushing.
Secondary osteoporosis has been associated with different diseases and drugs.1,2 These include endocrine diseases, cancer, kidney damage, gastrointestinal and rheumatic diseases. Steroids are also a well-recognized cause of bone mass loss.2,3 According to some studies, 20%–30% of postmenopausal women and over 50% of men have a second cause of osteoporosis.2,3 Endogenous Cushing's syndrome is characterized by excessive production of steroids, the most common cause being Cushing's disease due to a pituitary adenoma secreting ACTH.4,5
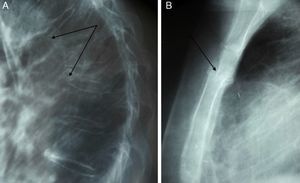
Case ReportA female, 41, attended the emergency department with generalized musculoskeletal pain, especially in the chest, spine and groin. Initial radiographs showed multiple fractures of the upper third of the sternal body, two severe stage 3 dorsal vertebral fractures and a third stages 1–2 dorsal fracture, with another on the ischiopubic ramus (Fig. 1A and B). On examination hypertension and cushingoid features, such as round face and ce obesity were later found. Laboratory studies showed that cortisol and baseline ACTH determination were elevated. The baseline cortisol was 319ng/ml (normal between 50 and 250ng/ml) and ACTH of 57.4pg/ml when it is normally undetectable or less than 10pg/ml, with a decreased gonadotropin level. The levels of urinary free cortisol and cortisol were also elevated at night: 847nmol/l and 290.7ng/ml, respectively. The nocturnal cortisol under normal conditions is negligible. A cranial MRI showed a questionable image in the pituitary, so catheterization of inferior petrosal sinus was performed to study the source of ACTH overproduction. There was a central-peripheral gradient of ACTH and increased focus on the left half of the hypophysis. A second MRI detected a nodule of 6.3mm in the posterior left area of the pituitary. Following these results the patient was diagnosed as having Cushing's disease due to a pituitary microadenoma. The patient was treated from the surgical standpoint with a hemihypophysectomy of the microadenoma, and infused intravenously (iv) with zoledronic acid 5mgiv/year as a treatment for severe osteoporosis, with great improvement of bone pain. After surgery, cortisol levels were normalized with baseline cortisol levels of 152ng/ml and urinary cortisol of 107nmol/l.
DiscussionAlthough osteoporosis is a cardinal manifestation of Cushing's4 syndrome, there are few publications in this respecto.6 The incidence of Cushing's syndrome of endogenous origin is 2–4 cases per million inhabitants/year.4 Its diagnosis requires a high clinical suspicion, as most of the symptoms of this syndrome are highly prevalent in the general population (hypertension, glucose intolerance, central obesity, osteoporosis) and none of these is specific.4 Fractures occur in 19%–50% in patients with Cushing's disease.6 In the last 5 years, we have only found two case reports of fractures secondary to osteoporosis due to Cushing's7 disease.8 Our patient presented with spontaneous fractures as a sentinel manifestation of Cushing's disease, and in this case the causal diagnosis of osteoporosis had highly relevant prognostic and therapeutic implications.
ConclusionsWe must always consider the possibility of secondary osteoporosis after the appearance of a spontaneous fracture, especially in men and premenopausal and perimenopausal women, where the frequency of secondary osteoporosis is near/greater than 50%.3
Ethical disclosuresProtection of human and animal subjects. The authors declare that no experiments were performed on humans or animals for this investigation.
Confidentiality of Data. The authors declare that they have followed the protocols of their work centre on the publication of patient data and that all the patients included in the study have received sufficient information and have given their informed consent in writing to participate in that study.
Right to privacy and informed consent. The authors have obtained the informed consent of the patients and/or subjects mentioned in the article. The author for correspondence is in possession of this document.
DisclosuresThe authors have no disclosures to make.
Please cite this article as: Abdel-Kader N, et al. Enfermedad de Cushing como causa de osteoporosis grave. Un reto clínico. Reumatol Clin. 2012. doi:10.1016/j.reuma.2011.11.004




