La osteoporosis secundaria está frecuentemente infraestimada en el estudio de la osteoporosis. Existe una causa segunda de osteoporosis en cerca o más de la mitad de hombres y mujeres premenopáusicas, y en torno a un quinto de las mujeres posmenopáusicas. Presentamos a una mujer de 41 años, con dolor óseo por fracturas múltiples, cuyo diagnóstico final fue enfermedad de Cushing.
Secondary osteoporosis is a frequently underestimated bone disorder. It is a secondary cause of bone loss that affects more than half of men and premenopausal and perimenopausal women, and about one-fitfth of postmenopausal women. We herein report an uncommon case of multiple fractures due to secondary osteoporosis caused by Cushing's disease. In this case the appearance of fractures in a 41 years old woman was the sign of alarm that ultimately lead us to the diagnosis.
La osteoporosis secundaria se ha asociado con diferentes enfermedades y medicamentos1,2. Entre ellas se encuentran enfermedades endocrinas, cáncer, daño renal, enfermedades digestivas y reumáticas. Los esteroides son también una causa bien reconocida de pérdida de masa ósea2,3. Según algunos estudios, el 20-30% de las mujeres posmenopáusicas y más del 50% de los hombres tienen una segunda causa de osteoporosis2,3.
El síndrome de Cushing endógeno se caracteriza por la producción excesiva de esteroides; su causa más frecuente es la enfermedad de Cushing, debido a un adenoma hipofisiario secretor de ACTH4,5.
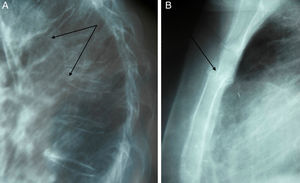
Caso clínicoMujer de 41 años, que acudió al servicio de urgencias con dolor osteomuscular generalizado, especialmente en el tórax, la columna y las ingles. Las radiografías iniciales mostraron múltiples fracturas, en el esternón a nivel del tercio superior del cuerpo esternal, dos fracturas vertebrales dorsales severas o de grado 3 y una tercera fractura dorsal de grado 1-2, y de rama isquiopubiana (fig. 1A y B). En la exploración posterior se halló hipertensión arterial y rasgos cushingoides, como facies de luna llena y obesidad central.
En los estudios analíticos el cortisol y la determinación de ACTH basales se encontraron elevados. El cortisol basal fue de 319ng/ml (normalidad laboratorio entre 50-250ng/ml) y la ACTH de 57,4pg/ml cuando en condiciones normales es indetectable o menor de 10pg/ml; el nivel de gonadotropinas estaba disminuido. Los niveles de cortisol libre urinario y cortisol nocturno también resultaron elevados: 847 nmol/l y 290,7ng/ml, respectivamente. El cortisol nocturno en condiciones normales debe estar suprimido.
La RM de cráneo mostró una imagen dudosa en la hipófisis, por lo que se realizó cateterismo de senos petrosos inferiores para estudiar el origen de la sobreproducción de ACTH. Se encontró un gradiente central-periférico de ACTH y mayor concentración en la hemihipófisis izquierda. En una segunda RM se detectó una imagen nodular de 6,3mm, en zona posteroizquierda de la hipófisis. Tras dichos resultados se diagnostica a la paciente de enfermedad de Cushing por microadenoma hipofisiario.
La paciente se trató desde el punto de vista quirúrgico con hemihipofisectomía de la zona hipofisiaria donde estaba el microadenoma, y mediante infusión por vía intravenosa (iv) de ácido zoledrónico 5mg iv/anual como tratamiento para la osteoporosis severa, con gran mejoría del dolor óseo. Tras la cirugía se normalizaron niveles de cortisol, con valores de cortisol basal en 152ng/ml y cortisol urinario de 107 nmol/l.
DiscusiónPese a que la osteoporosis es una manifestación cardinal en pacientes con síndrome de Cushing4, existen pocas publicaciones al respecto6. La incidencia del síndrome de Cushing de origen endógeno es de 2-4 casos por millón de habitantes/año4. Su diagnóstico requiere de una alta sospecha clínica, ya que la mayoría de los síntomas de este síndrome son muy prevalentes en la población general (hipertensión arterial, intolerancia a glucosa, obesidad central, osteoporosis) y ninguno de estos es específico4.
Las fracturas se encuentran en un 19-50% en pacientes con enfermedad de Cushing6. En los últimos 5 años, solo hemos encontrado dos casos clínicos publicados de fracturas por osteoporosis secundaria a enfermedad de Cushing7,8. Nuestra paciente debutó con fracturas espontáneas como manifestación centinela de enfermedad de Cushing; en este caso el diagnóstico causal de osteoporosis tuvo implicaciones pronósticas y terapéuticas muy relevantes.
ConclusionesDebemos considerar siempre la posibilidad de una osteoporosis secundaria ante la aparición de una fractura espontánea, especialmente en varones y mujeres pre y perimenopáusicas, donde la frecuencia de osteoporosis secundaria es cercana/mayor del 50%3.
Responsabilidades éticasProtección de personas y animales. Los autores declaran que para esta investigación no se han realizado experimentos en seres humanos ni en animales.
Confidencialidad de los datos. Los autores declaran que han seguido los protocolos de su centro de trabajo sobre la publicación de datos de pacientes y que todos los pacientes incluidos en el estudio han recibido información suficiente y han dado su consentimiento informado por escrito para participar en dicho estudio.
Derecho a la privacidad y consentimiento informado. Los autores han obtenido el consentimiento informado de los pacientes y/o sujetos referidos en el artículo. Este documento obra en poder del autor de correspondencia.
Conflicto de interesesLos autores declaran no tener ningún conflicto de intereses.




