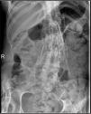
The patient was a 29-year-old woman, with a history of type 1A diabetes and primary amenorrhea secondary to cervical agenesis. At the age of 10 years, she was examined because she had developed a tumor in the cervical region, with no previous injury; she underwent a radiological study and bone biopsy that was compatible with myositis ossificans. Over the years, large ectopic ossifications developed in her shoulders, hips, knees, ankles and paravertebral muscles, which produced a marked secondary thoracolumbar scoliosis and a considerably generalized functional limitation. A plain radiology study of the affected areas showed the existence of exuberant bone bridges at different stages of maturation, that provoked the locking and ankylosing of a number of joints, including a knee (Fig. 1), the spine (Fig. 2) and a shoulder (Fig. 3). The patient was treated with bisphosphonates and calcium supplements with vitamin D for 5 years, while she was also being followed by the rehabilitation service; however, none of these measures was capable of arresting the course of the disease, which led to the physical disability of the patient.
Fibrodysplasia ossificans progressiva is a rare disease of unknown origin that is characterized by a progressive heterotopic ossification of the muscles and other structures in which connective tissue is abundant.1 In recent years, there has been an advance in our knowledge of the etiological and pathogenic mechanisms of this disorder, which implicates the receptor of bone morphogenetic protein (BMP), the so-called activin A type I receptor/activin-like kinase 2 (AVCR1/ALK2).2,3 Some authors have suggested that blocking the activity of the AVCR1/ALK2 receptor through the development of therapeutic agents that behave like signal transduction inhibitors that encode these proteins may be useful.4 In this respect, we know that dorsomorphin, a small molecule produced by the zebrafish, inhibits BMP type I receptors (including ALK2—implicated in the etiology and pathogenesis of the disease—and other activin-like kinases like ALK3 and ALK6)5; however, given the lack of specificity of this molecule, further studies are needed in this line of research, as well as the development of in vivo models to determine the potential efficacy of this molecule in the prevention of the flares of ossification that occur in this serious disease.
Ethical DisclosuresProtection of human and animal subjectsThe authors declare that no experiments were performed on humans or animals for this study.
Confidentiality of dataThe authors declare that they have followed the protocols of their work center on the publication of patient data.
Right to privacy and informed consentThe authors have obtained the written informed consent of the patients or subjects mentioned in the article. The corresponding author is in possession of this document.
Conflicts of InterestThe authors declare they have no conflicts of interest.
Please cite this article as: Muñoz Gómez MM, Novella Navarro M, Ruiz Santiago F, Raya Álvarez E. Fibrodisplasia osificante progresiva: comunicación de un caso terminal. Reumatol Clin. 2017;13:303–304.






