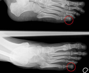
The patient was a 57-year-old woman who practiced hiking, and had no history of disease. She presented with a subcutaneous lesion measuring 5mm in the fifth toe of her left foot that she had detected 12 weeks earlier. The lesion was intensely painful and had undergone no changes. Plain radiography of the foot revealed the presence of a small calcification on the lateral border of the distal phalanx of the fifth toe on left foot (Fig. 1). Analyses included inflammatory markers, calcium, phosphorus and uric acid, which were all normal. The pain disappeared after extirpation (Fig. 2). In 20 months of follow-up, it has not reappeared.
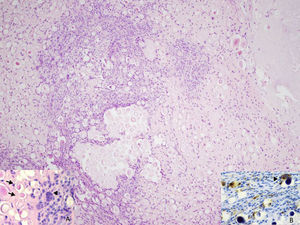
Abundant psammoma bodies and proliferation of fusiform mononuclear cells (H&E 100×). (A) Presence of spherical calcifications (arrows) and multinuclear giant cells (arrowhead) (H&E 200×). (B) CD68 immunostaining reveals the presence of disseminated mononuclear cells surrounding the calcifications and multinuclear giant cells (arrowhead) (CD68 200×).
The diagnosis was tenosynovitis with psammomatous calcification. Although it can be considered part of the spectrum of tumor lesions with calcification, its clinical and histological features indicate that it is a distinct entity. It is very seldom observed, and rarely reported in the medical literature.1–4 It can be described clinically as a single subcutaneous nodule or mass that is most frequently located in the acral regions of the extremities, predominantly in adult women. The patients mentioned a history of repeated injuries associated with their occupation or related to sports.2 The lesions were situated in tendon or in peritendinous soft tissue. From the histological point of view, they were found to be a proliferation composed of histiocytes and (myo) fibroblasts, and the presence of numerous psammoma bodies.
The differential diagnosis should include a variety of neoplastic and nonneoplastic processes of the distal extremities accompanied by calcifications: gout, pseudogout, calcifying aponeurotic fibroma, giant cell tumor of the tendon sheath, synovial sarcoma and parosteal osteochondromatous proliferation.1–4 The addition of tenosynovitis with psammomatous calcification to the differential diagnosis of painful acral lesions is important, and will make it possible to avoid confusing them with other neoplastic or nonneoplastic diseases in which calcifications are present.
Ethical DisclosuresProtection of human and animal subjectsThe authors declare that no experiments were performed on humans or animals for this study.
Confidentiality of dataThe authors declare that they have followed the protocols of their work center on the publication of patient data.
Right to privacy and informed consentThe authors declare that no patient data appear in this article.
FundingThe authors have received no funding for performing this project.
Conflicts of InterestThe authors declare they have no conflicts of interest.
Please cite this article as: Santos-Juanes J, Galache C, Blanco V. Nódulo subcutáneo doloroso. Reumatol Clin. 2017;13:301–302.





