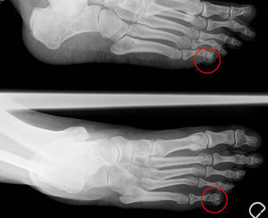
Mujer de 57 años, sin antecedentes patológicos, aficionada al senderismo, que consultó por la aparición de una lesión subcutánea de 5mm en el quinto dedo del pie izquierdo, de 12 semanas de evolución. La lesión era intensamente dolorosa y no había experimentado cambios. La radiografía simple del pie reveló la presencia de una pequeña calcificación en el borde lateral de la falange distal del quinto dedo del pie izquierdo (fig. 1). Analítica incluyendo marcadores inflamatorios, calcio, fósforo y ácido úrico dentro de la normalidad. El dolor desapareció tras la extirpación (fig. 2). No ha reaparecido en los 20 meses de seguimiento.
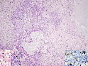
Abundantes cuerpos de psamoma, y proliferación de células mononucleares de hábito fusocelular (H&E ×100). A) Presencia de calcificaciones esféricas (flechas) y células gigantes multinucleares (cabeza de flecha) (H&E ×200). B) La inmunotinción con CD68 revela la presencia de células mononucleares dispersas, y rodeando las calcificaciones y células gigantes multinucleadas (cabeza de flecha) (CD68×200).
El diagnóstico fue de tenosinovitis con calcificación psamomatosa (TCCP). Aunque puede considerarse como una parte del espectro de las lesiones tumorales con calcificación, sus características clínicas e histológicas permiten considerarla como una entidad independiente, infrecuentemente reconocida, y rara vez comunicada en la literatura médica1–4. Clínicamente se presenta como un nódulo o masa subcutánea única, localizada principalmente en las zonas acras de las extremidades, de predominio en mujeres de edad adulta. Los pacientes refieren historia de traumas repetitivos de índole ocupacional, o relacionados con la realización de deportes2. Las lesiones se localizan en el tendón o en los tejidos blandos peritendinosos, y desde el punto de vista histológico se presenta como una proliferación compuesta por histiocitos y (mio) fibroblastos, y la presencia de numerosos cuerpos esferoidales psammoma-like.
El diagnóstico diferencial hay que realizarlo con una variedad de procesos neoplásicos y no neoplásicos de las extremidades distales que presentan calcificaciones: gota, seudogota, fibroma aponeurótico calcificante, tumor de células gigantes de la vaina tendinosa, sarcoma sinovial y proliferación osteocondromatosa parosteal1–4. Es importante añadir la TCCP al diagnóstico diferencial de las lesiones dolorosas acras, lo que va a permitir evitar su confusión con otros cuadros neoplásicos o no, que presentan calcificaciones.
Responsabilidades éticasProtección de personas y animalesLos autores declaran que para esta investigación no se han realizado experimentos en seres humanos ni en animales.
Confidencialidad de los datosLos autores declaran que han seguido los protocolos de su centro de trabajo sobre la publicación de datos de pacientes.
Derecho a la privacidad y consentimiento informadoLos autores declaran que en este artículo no aparecen datos de pacientes.
FinanciaciónLos autores declaran no haber recibido financiación para la realización de este trabajo.
Conflicto de interesesLos autores declaran no tener ningún conflicto de intereses.





