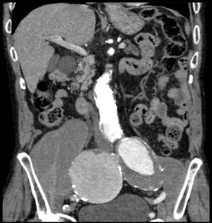
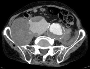
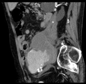
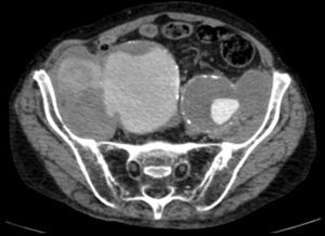
Paciente varón de 86 años, hipertenso en tratamiento con 2 fármacos, con historia de dolor lumbar con irradiación crural derecha de varios meses de evolución que se había controlado parcialmente con tratamiento sintomático. Su reumatólogo le había prescrito RM dorsolumbar que no llegó a realizarse ya que el paciente acudió antes a urgencias por aumento de la intensidad del dolor. En la analítica, hemoglobina 8,4g/dl, LDH 318 U/l, creatinina 1,29mg/dl, PCR 6,16mg/dl, VSG 24mm/h y leve hipoproteinemia. Ausencia de signos de inestabilidad hemodinámica. Se realizó una TC abdominopélvica con contraste por vía intravenosa que muestra aneurismas ilíacos aislados bilaterales>6cm (fig. 1) con rotura contenida del derecho (fig. 2), que desplazaba el músculo psoas (fig. 3) y horadaba el hueso ilíaco ipsolateral (fig. 4). El paciente es sometido a by-pass aortobifemoral pero lamentablemente fallece en el postoperatorio.
Los aneurismas ilíacos aislados, sin aneurisma aórtico asociado, son raros1. Son relativamente difíciles de identificar, ya que hasta un 40% de ellos se pueden presentar con rotura2. La tasa de incidencia de causas extraespinales de ciática es baja3. Igualmente, el aneurisma roto crónico constituye una entidad peculiar. Todas estas circunstancias se aúnan para que el diagnóstico, la mayoría de las veces, sea erróneo y tardío4. Suele tratarse de una rotura laterodorsal hacia las inserciones anteriores del psoas que contiene el hematoma, evitando la extravasación masiva pero no la infiltración de las raíces del plexo lumbosacro, lo que origina un dolor crónico lumbar con irradiación al miembro inferior5, siendo esta su presentación más frecuente6. El diagnóstico puede realizarse con TC abdominal7, pudiendo también visualizarse en la RM lumbar (corte parasagital)7,8. En cualquier momento de la evolución, el aneurisma puede sufrir una rotura aguda secundaria4. Este caso sirve para recordarnos, en nuestra práctica diaria, que la causa aneurismática puede estar implicada en los síntomas de ciática9.
Responsabilidades éticasConfidencialidad de los datosLos autores declaran que en este artículo no aparecen datos de pacientes.
Protección de personas y animalesLos autores declaran que para esta investigación no se han realizado experimentos en seres humanos ni en animales.
Derecho a la privacidad y consentimiento informadoLos autores declaran que en este artículo no aparecen datos de pacientes.
Conflicto de interesesLos autores declaran no tener ningún conflicto de intereses.







