Varón de 68 años con antecedentes personales de enfermedad de Forestier-Rotés Querol, hipertensión arterial, diabetes mellitus tipo II, esteatosis hepática y enfermedad de Haglund en pie derecho. En el último año refiere empeoramiento de la clínica cervical con dolor continuo y limitación progresiva para los movimientos de lateralización, sin signos de radiculopatía ni mielopatía. También presenta disfagia a sólidos y, en menor medida, a líquidos, con pérdida de peso de 15kg en el último año.
La afectación cervical en esta enfermedad y la aparición de disfagia es un tema ya documentado, sin embargo, con la presentación de este caso clínico se quiere mostrar la progresión radiológica en 5 años en un mismo paciente y su repercusión clínica.
Las alteraciones radiográficas en la enfermedad de Forestier-Rotés Querol fueron descritas por Resnick en 1975. Estos criterios incluyen la osificación del ligamento longitudinal anterior a lo largo de la cara antero-lateral de al menos 4 cuerpos vertebrales contiguos, la preservación de la altura de los discos, la ausencia del fenómeno del vacío o de esclerosis marginal en los cuerpos vertebrales y la ausencia de anquilosis de las articulaciones interapofisarias o de alteraciones en las sacroilíacas1.
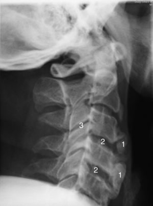
Tras valorar su evolución radiológica cervical en los últimos 5 años, de este paciente, se observa un aumento de las dimensiones de los osteofitos y de la osificación del ligamento cervical anterior afectando a varias vértebras contiguas (figs. 1 y 2), lo que podría explicar una causa extrínseca de la disfagia. También cabe destacar otras características radiológicas como son la preservación relativa del espacio intervertebral y la ausencia de afectación de las articulaciones apofisiarias.
Radiografía cervical lateral (2014). Se aprecia un aumento del tamaño de la osificación del ligamento anterior cervical con afectación global de la columna cervical (1) se puede observar como impronta (*) hacia la vía aérea-digestiva. También se observa una conservación relativa de la altura del espacio intervertebral (2).
Dado el cuadro constitucional, se le practicó una gastroscopia y un tránsito esófago-gastro-duodenal, cuyo resultado no mostró alteraciones.
En la TAC cervical se constató la osificación del ligamento longitudinal anterior y osteofitos anteriores, con afectación fundamentalmente en la columna cervical alta (C2-C4), que condiciona desplazamiento anterior del tracto aerodigestivo. No se constató la afectación de las articulaciones interapofisarias.
En conclusión, la disfagia es una manifestación relativamente frecuente cuando se afecta al ligamento longitudinal anterior cervical2,3. En su diagnóstico diferencial hay que descartar tanto un componente intrínseco como extrínseco, ya que la causa más frecuente de disfagia continúan siendo los tumores2. En cuanto al tratamiento, se adopta una actitud conservadora (analgesia, rehabilitación, aporte nutricional apropiado y control del síndrome metabólico, el cual tiene una fuerte relación con la enfermedad de Forestier4-7) y, en casos más severos, la compresión de los osteofitos puede requerir una intervención quirúrgica3,4. Sin embargo, un alto porcentaje de pacientes pueden desarrollar recidivas tras la cirugía8.
Responsabilidades éticasProtección de personas y animalesLa autora declara que para esa investigación no se han realizado experimentos con seres humanos ni animales.
Confidencialidad de datosLa autora declara que ha seguido los protocolos de su centro de trabajo sobre la publicación de los datos de los pacientes y que todos los pacientes incluidos en el estudio han recibido información suficiente y han dado su consentimiento informado por escrito para participar en dicho estudio.
Derecho a la privacidad y consentimiento informadoLa autora ha obtenido consentimiento informado de los pacientes y/o sujetos referidos en el artículo. Este documento obra en poder del autor de la correspondencia.
Conflicto de interesesLa autora declara no tener ningún conflicto de intereses.





