El síndrome de SAPHO fue propuesto a finales de los años 80 para agrupar diversas manifestaciones osteoarticulares con hallazgos radiológicos propios como la hiperostosis de la pared anterior del tórax. La prevalencia, la causa y la patogénesis de la enfermedad son desconocidas. El diagnóstico se realiza tanto por la clínica como por la imagen específica gammagráfica de «asta de toro» en la articulación esternoclavicular.
Se presenta el caso de una mujer de 64 años diagnosticada de carcinoma ductal infiltrante de mama derecha pT1N0Mx. En el estudio de extensión de la enfermedad se evidenció imagen gammagráfica de lesión blástica, difusa, en manubrio esternal, sospechosa de enfermedad de Paget o lesión metastásica. Se completó el estudio con TC torácica en la que se evidenció esclerosis del manubrio esternal, sugerente de metástasis.
Por el resultado de los estudios se pensó en el síndrome de SAPHO como opción diagnóstica más probable. El bajo estadio tumoral de la paciente hizo pensar en posibles alternativas diagnósticas. Conocer esta entidad clínica puede evitar errores a la hora de clasificar en estadios tumorales más avanzados a un sujeto y, por tanto, evitar tratamientos quimioterápicos y radioterápico más agresivos.
SAPHO syndrome was proposed in the late 80s in order to group different osteoarticular manifestations with specific radiological findings such as the hyperostosis of the front part of the chest wall. Prevalence, etiology and pathogenesis of the disease are unknown, while diagnosis is made both clinically and by the specific gammagraphic image of «bull horn» in the sternoclavicular joint.
The following case of a 64-year-old woman diagnosed with infiltrating ductal carcinoma of the right breast pT1N0Mx is reported. When studying the extent of the disease, a gammagraphic image of diffuse blast injury in the sterna manubrium was evidenced, which allowed the suspicion of Paget's disease or metastatic injury. Study was completed with a chest CT in which manubrium sclerosis was evidenced, suggesting metástasis.
Res ults of the studies pointed out SAPHO syndrome as the most likely diagnostic option. The low tumor stage of the patient prompted the idea of possible alternative diagnoses. A deeper knowledge of this clinical condition may be crucial to avoid mistakes when classifying a subject in more advanced tumor stages, and consequently, to prevent the use of more aggressive chemotherapy and radiotherapy treatments.
El síndrome de SAPHO (sinovitis, acné, pustulosis, hiperostosis y osteítis)1 fue propuesto a finales de los años 80 por Chamot2 para agrupar diversas manifestaciones osteoarticulares con hallazgos radiológicos propios como la hiperostosis de la pared anterior del tórax. Este cuadro se asocia, a menudo, aunque esto no es obligatorio, a trastornos dermatológicos como el acné conglobata, la pustulosis palmoplantar o la psoriasis. Las lesiones óseas pueden presentarse sin relación con la aparición de las lesiones cutáneas. La causa del síndrome de SAPHO es desconocida, aunque diferentes teorías abogan por la presencia de cierta predisposición genética, causas infecciosas y la asociación de trastornos inmunes3. La prevalencia es desconocida, aunque algunos autores afirman que es de 1/10.000 en caucásicos, e inferior en pacientes asiáticos4. El diagnóstico es fundamentalmente clínico, por la presencia de al menos un criterio de inclusión y ninguno de exclusión, de los descritos por Benhamou5. Además de esto, se complementa con pruebas diagnósticas como la imagen específica gammagráfica6 de «asta de toro» en la articulación esternoclavicular. Los datos de laboratorio son también inespecíficos, a excepción del aumento de los reactantes de fase aguda7. El pronóstico de la enfermedad suele ser benigno, aunque, en algunos casos, el dolor producido por la inflamación articular puede ser bastante intenso8. En el tratamiento de esta entidad se utilizan los antiinflamatorios no esteroideos, bisfosfonatos intravenosos o terapias biológicas3. La respuesta a un tratamiento se valora con el alivio del dolor, según la escala escala visual analógica o por pruebas de imagen como la gammagrafía ósea de cuerpo entero (GOCE), la tomografía axial computarizada (TAC) o tomografía con emisión de positrones con TAC (PET-TAC)9,10.
Caso clínicoSe presenta el caso de una mujer de 64 años, que fue diagnosticada de carcinoma ductal infiltrante de mama derecha estadio T1cN0Mx. Acudió a nuestra consulta, remitida desde el Comité de Enfermedad Mamaria, después de ser intervenida quirúrgicamente con cuadrantectomía de la mama derecha y biopsia selectiva de ganglio centinela para realización de tratamiento radioterápico adyuvante. La paciente refería como antecedentes médicos hipertensión arterial, dislipidemia y dolor en la región lumbar, que presentaba desde la juventud, de características intermitentes, que asociaba a su profesión como dependienta. La paciente no había consultado previamente con ningún especialista, ni necesitaba medicación de forma habitual.
A la exploración física, se observaba cicatriz de cuadrantectomía sin signos infecciosos ni inflamatorios, aumento de tamaño del tercio proximal clavicular y ligero dolor selectivo a la palpación de la articulación esternoclavicular. En la exploración abdominal no había presencia de masas ni megalias. La paciente tampoco había presentado clínica dermatológica (pustulosis palmoplantar ni acné) en ningún momento de su vida.
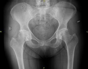
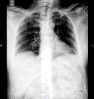
En el estudio de extensión de la enfermedad solicitado, se evidenció imagen gammagráfica de lesión blástica, difusa, en el manubrio esternal, sospechosa de enfermedad de Paget o de lesión metastásica (fig. 1). Se completó el estudio con radiografías de tórax, columna lumbosacra y pelvis (figs. 2 y 3), en las que solo se evidenció aumento de densidad interapofisaria de L4 y L5. Posteriormente, se solicitó TC torácico, según recomendaciones de Medicina Nuclear, que informó de esclerosis en el manubrio esternal, sugerente de metástasis (fig. 4).
Los resultados analíticos de los valores de fosfatasa alcalina (95 UI/l), calcio (9,57mg/dl) y LDH (161 UI/l) y VSG (6mm) eran normales. Solo se evidenció ligero aumento en la PCR (0,60mg/dl). No se solicitó antígeno HLA-B27 debido a la negatividad de las pruebas de laboratorio y a la poca relación que se ha visto en algunas series de casos con el síndrome de SAPHO9.
Ante la dificultad del caso, se realizó sesión clínica en la que intervinieron los servicios de Oncología Radioterápica, Reumatología, Radiodiagnóstico y Medicina Nuclear para revisar el caso. Se concluyó con el diagnóstico definitivo de síndrome de SAPHO, ya que la paciente presentaba uno de los criterios de inclusión descritos por Benhamou5, la hiperostosis de la pared anterior del tórax con o sin afectación dérmica, y ningún criterio de exclusión (tabla 1). Se declinó en ese momento realizar biopsia de la lesión, pendiente de ver evolución radiográfica. Se decidió realizar un control gammagráfico y con TC osteoarticular11 a los 6 meses, sin evidenciar cambios reseñables, y se descartó definitivamente biopsia de la zona afectada al no haber imágenes que sugirieran agresividad de la lesión. La paciente durante el tratamiento no requirió ningún tipo de medicación analgésica. Por nuestra parte, no incluimos la zona afectada en el campo de tratamiento, para evitar modificaciones provocadas por la radioterapia que pudieran dar lugar a confusión a la hora de valorar la evolución de la lesión. Después de 18 meses de seguimiento, la paciente permanece en respuesta completa tumoral y, por tanto, libre de enfermedad.
Criterios de inclusión y exclusión del síndrome de SAPHO
| Criterios de inclusión | Criterios de exclusión |
|---|---|
| Acné | Osteomielitis séptica |
| Pustulosis palmoplantar | Artritis en pared torácica |
| Hiperostosis con o sin afectación dérmica | Pustulosis palmoplantar derivada por cuadro infeccioso |
| Osteomielitis crónica en esqueleto axial o periférico con o sin afectación dérmica | Queratodermia palmoplantar |
| Hiperostosis difusa idiopática | |
| Manifestaciones osteoarticulares derivadas de retinoides |
Fuente: modificado a partir de Benhamou et al.5
El síndrome de SAPHO es una rara entidad clínica, de características benignas, que suele presentarse en personas jóvenes, lo que hace difícil ver complicaciones en los pacientes que presentan esta enfermedad. El problema surge cuando el diagnóstico se realiza en un paciente oncológico, ya que no hay ninguna prueba de imagen que pueda ayudar a descartar con seguridad que se trate de una progresión de su enfermedad tumoral11. En la literatura (tabla 2)12–16, existen pocos casos en los que se diagnosticó el síndrome de SAPHO a partir de una imagen que era presentada como sospechosa de metástasis y, que al ser estudiada posteriormente, se comprobó que no tenía características agresivas. De estos casos, solo uno se valoró como cáncer de mama, y presentaba, junto a la afectación esternoclavicular, alteraciones dermatológicas, que podían ayudar a pensar en el diagnóstico. En ninguno de estos casos, la biopsia de la zona estudiada (manubrio esternal) ayudó a completar el diagnóstico definitivo.
Revisión casos clínicos con diagnóstico de síndrome de SAPHO a partir de imagen sospechosa de metástasis
| Autor | Caso clínico presentado | Shibakuuki et al.12 | Abuhid et al.13 | Patel et al.14 | Inoue et al.15 | Theuman et al.16 |
|---|---|---|---|---|---|---|
| Edad | 64 | 58 | 44 | 20 | 74 | 46 |
| Sexo | Mujer | Varón | Varón | Mujer | Varón | Mujer |
| Tipo de tumor | Mama | Pulmón | Primario desconocido | Primario desconocido | Primario desconocido | Mama |
| Afectación ósea | Esternoclavicular | Esternoclavicular | Esternoclavicular | Esternoclavicular, sacroilíacas y vertebral dorsal | Esternoclavicular y lumbar | Esternoclavicular, sacroilíaca y vertebral dorsal |
| Afectación cutánea | No | No | Pustulosis palmoplantar | Pustulosis palmoplantar | Pustulosis palmoplantar | Pustulosis palmoplantar |
| Prueba de imagen | RX, TAC, GOCE | RM, TAC, PET | RX, PET-TAC | TC, GOCE, PET | RX, RM, GOCE, PET | RX, TAC |
| Biopsia | No | No | Sí Inflamación inespecífica | No | No | Sí Fibrosis inespecífica |
| Pruebas de laboratorio | Aumento PCR | Normal | Normal | Normal | Aumento VSG y PCR | Normal |
En nuestro caso, el estadio tumoral de la paciente (estadio IA) y las características fenotípicas indicaban que el resultado del estudio de extensión que informaba de posible metástasis esternal en el carcinoma de mama podría ser puesto en duda. Así pues, se valoraron posibles alternativas diagnósticas que pudieran explicar estos hallazgos. Conocer el síndrome de SAPHO, aunque sea una entidad clínica de baja incidencia, puede evitar clasificar como metastásico al paciente que presenta la imagen característica de «asta de toro» en la gammagrafía ósea. Si esta imagen se hubiera presentado en un paciente con factores de mal pronóstico, probablemente no se habría dudado de la posibilidad de lesión metastásica y, por ende, hubiera sido subsidiaria de tratamiento quimioterápico (vinorelbina o taxanos) y de un tratamiento radioterápico más agresivo, con las complicaciones que ello conlleva.
ConclusionesEl síndrome de SAPHO presenta diferentes manifestaciones clínicas que, junto a la osteoítis inflamatoria propia de esta entidad, pueden originar diferentes diagnósticos diferenciales. Este hecho obliga a tenerlo en cuenta en el contexto de la enfermedad neoplásica, para evitar diagnósticos erróneos y que obliguen a pautar tratamientos agresivos en una enfermedad que suele evolucionar de forma benigna.
Responsabilidades éticasProtección de personas y animalesLos autores declaran que los procedimientos seguidos se conformaron a las normas éticas del comité de experimentación humana responsable y de acuerdo con la Asociación Médica Mundial y la Declaración de Helsinki.
Confidencialidad de los datosLos autores declaran que han seguido los protocolos de su centro de trabajo sobre la publicación de datos de pacientes.
Derecho a la privacidad y consentimiento informadoLos autores han obtenido el consentimiento informado de los pacientes y/o sujetos referidos en el artículo. Este documento obra en poder del autor de correspondencia.
Conflicto de interesesLos autores declaran no tener ningún conflicto de intereses.









