Sr. Director: La bursitis séptica afecta fundamentalmente a bolsas de localización superficial (olecraniana y prerrotuliana). Lo habitual es que los microorganismos penetren por traumatismos, ya que ambas localizaciones están muy expuestas a ellos, por punciones accidentales y con menor frecuencia por infiltración intrabursal de corticoides. Más del 80% de los casos de bursitis séptica son producidos por Staphylococcus aureus y el resto por Streptococcus spp., bacilos gramnegativos, micobacterias y hongos, y es muy poco frecuente el aislamiento de microorganismos anaerobios. Por el contrario, sí han sido descritos casos de artritis causada por microorganismos anaerobios1–4.
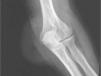
Presentamos un caso de bursitis olecraniana por Eggerthella lenta en un varón de 70 años con antecedentes de: accidente cerebrovascular, hipertensión arterial, hiperuricemia, insuficiencia renal crónica leve por nefroangiosclerosis, cardiopatía isquémica, estenosis carotídea bilateral, artritis reumatoide resistente al tratamiento con etanercept y corticoides y bursitis olecraniana crónica de origen mecánico. Presenta nódulos reumatoideos en ambas bursas olecranianas de larga evolución, por este motivo fue intervenido en el codo derecho varios años atrás. Acude a consulta por tumefacción en la región olecraniana derecha, sin fiebre ni escalofríos. Se le practica bursocentesis en bursa olecraniana, y se obtiene líquido sinovial de características inflamatorias, sin evidencia de microcristales al microscopio óptico de luz polarizada. Se envía la muestra para cultivo en frasco de hemocultivo de aerobios (Bact-Alert, Organon-Technika), que resulta negativo a los 5 días de incubación. Cuatro días más tarde regresa a la consulta por empeoramiento, y en la exploración física presenta tumefacción, aumento de la temperatura local, eritema y dolor a la palpación. Presión arterial, 124/84; temperatura, 36,4°C. Analítica de sangre con 9.960 leucocitos/μl, con el 76,4% de neutrófilos, el 15% linfocitos; velocidad de sedimentación globular, 19mm la primera hora; proteína C reactiva, 0,53mg/dl. En la radiografía de codo derecho se observa importante aumento de partes blandas en la zona posteromedial (figs. 1 y 2), con imágenes radiolúcidas en su interior. Se repite la bursocentesis y se obtiene líquido sinovial de aspecto macroscópico purulento, que se envía al servicio de microbiología para cultivo en jeringa estéril y en frascos de hemocultivos para crecimiento de aerobios y anaerobios. La tinción de Gram muestra abundantes leucocitos polimorfonucleares y bacilos grampositivos intracelulares. Se inicia tratamiento con amoxicilina-clavulánico 1g/8h i.v. A las 48 horas se positiviza el frasco de hemocultivo anaerobio, y se hacen subcultivos en agar sangre, agar chocolate (5% CO2), agar Sabouraud y agar Schaedler (anaerobiosis); en esta última placa, se observa el crecimiento de un bacilo grampositivo, identificado por galería Api 20 A (BioMérieux) como Eubacterium lentum (actualmente, E. lenta)5. Las pruebas de sensibilidad a antimicrobianos se realizaron con tiras de E-test (ABBiodisk, Solna, Suecia) en agar Brucella, y fue sensible a penicilina G, amoxicilina-clavulánico, cefoxitina, imipenem, clindamicina y metronidazol. Se extraen muestras de líquido sinovial diariamente, que resultaron positivas los tres días posteriores al ingreso, momento en que se negativizan.
E. lenta es un bacilo grampositivo (fig. 3), anaerobio estricto, no esporulado, catalasa negativo, indol negativo, que forma parte de la flora saprofita de la cavidad oral y el tracto gastrointestinal de humanos. Se aísla con relativa frecuencia en muestras de abscesos y heridas, y es muy raro su aislamiento en hemocultivos6. Se ha considerado como patógeno en infecciones asociadas a dispositivos intrauterinos, bacteriemias en pacientes con neoplasias, infecciones del tracto genital femenino e infecciones abdominales7,8. La bursitis por E. lenta puede producirse como consecuencia de una bacteriemia asintomática con origen en el tracto intestinal o cavidad orofaríngea, o bien como resultado de una contaminación externa por un procedimiento de manipulación de la bursa. El paciente no refiere manipulaciones dentales recientes y en la exploración de la cavidad oral no se encontró ninguna lesión de importancia. Las manipulaciones de la bursa se realizaron siempre con las máximas medidas de asepsia. Un mes y medio después de ser dado de alta se le practicó un enema opaco para descartar afección colónica asociada, y se observó que, aunque en ese momento no había signos de diverticulitis, sí había divertículos en el asa sigmoidea y el colon descendente. Por estos hallazgos y por la naturaleza del agente causal, parece probable que el origen de la bursitis fuese una bacteriemia transitoria de origen intestinal.
En una revisión de la literatura no hemos encontrado descrito ningún caso de bursitis por E. lenta y aunque los microorganismos anaerobios no suelen aislarse en bursitis séptica, parece aconsejable recomendar el procesamiento de los líquidos sinoviales para cultivo de aerobios y anaerobios, y la realización de hemocultivos seriados aunque no haya fiebre, sobre todo si se trata de un paciente que, como en el caso que nos ocupa, tiene algún tipo de inmunodepresión y está sometido a manipulaciones frecuentes por procesos crónicos. Además, en paciente inmunodeficientes es importante descartar infecciones por gérmenes cuyo aislamiento es poco frecuentes.






