Varón de 68 años que ingresa en medicina interna por síndrome constitucional (pérdida de 10kg de peso) de 6 meses de evolución. Acompañado de sudoración nocturna sin fiebre y máculas en piernas y brazos, dolorosas, que se mantienen varios días y desaparecen dejando hiperpigmentación residual. Estreñimiento de un mes de evolución. No contacto con animales, viajes ni procesos infecciosos recientes.
Presentaba buen estado general, febrícula, sin adenopatías palpables en territorios periféricos. Auscultación cardíaca y pulmonar normal. Abdomen anodino. Máculas residuales hiperpigmentadas en extremidades. En la analítica completa destaca una VSG de 120mm/h, PCR de 14,90mg/dl y Hb de 9,6g/dl con VCM de 90,9. Marcadores tumorales (CEA, CA 15,3, CA 19,9, PSA AFP, B2 microglobulina), hormonas tiroideas, factor reumatoide y autoanticuerpos (ANA, ENA y ANCA)1 negativos. Serologías (VHB, VHC, Lyme, Coxiella, Rikettsia, CMV, toxoplasma y parvovirus) y Mantoux negativos. La TAC de extensión fue normal. Debido al estreñimiento se solicitó colonoscopia, realizándose polipectomía de un pólipo aislado. El aspirado de médula ósea mostró un patrón de anemia de proceso crónico. Durante todo el ingreso el paciente mantuvo febrícula vespertina sin semiología infecciosa con hemocultivos seriados negativos. Lo más llamativo fue la aparición de eritema, dolor y tumefacción de ambos pabellones auriculares (figura 1). Con la sospecha de policondritis se realiza biopsia auricular, llegando al diagnóstico (figura 2,figura 3)2.
Figura 1. Pabellón auricular aumentado de tamaño, eritematoso y doloroso. Apareciendo en primer lugar el izquierdo y posteriormente el derecho.
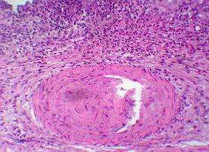
Figura 2. Imagen del corte transversal de la biopsia del cartílago auricular.
Figura 3. Detalle de la biopsia de cartílago auricular: pérdida de la tinción basofílica de la matriz cartilaginosa, con infiltrado de polimorfonucleares y monocitos alrededor del tejido vascular. Algún condrocito con necrosis central sustituido por tejido fibroso.
DiagnósticoCondritis bilateral de pabellón auricular.
EvoluciónSe inicia tratamiento con corticoides a 60mg/24h mejorando clínica y analíticamente (VSG de 53, PCR de 1,42, Hb de10,5).
DiscusiónLa policondritis recidivante es una enfermedad rara, de origen probablemente autoinmune, que afecta a los tejidos cartilaginosos, como pabellones auriculares3,4, nariz, estructuras laringotraqueales y articulares. La evolución se caracteriza por la inflamación recurrente y progresiva del tejido cartilaginoso que eventualmente produce la destrucción de las estructuras afectadas1,2,4,5,6,7 (figura 3). Otras estructuras ricas en proteoglucanos pueden afectarse. En pacientes con afectación nasal, auricular o articular el tratamiento de elección son los corticoides, con respuesta en la mayoría en una o 2 semanas (figura 4). Si hay compromiso ocular, laringotraqueal, bronquial, cardiovascular, neurológico o renal se recomienda la combinación de corticoides con agentes inmunosupresores o inmunomoduladores (ciclosporina, azatioprina, metotrexato y anti-TNF)8,9,10,6.
Figura 4. Imagen del pabellón auricular tomada en la primera revisión en consultas de Reumatología, tras 20 días de tratamiento corticoideo.







