La movilización aséptica de una prótesis es una de las complicaciones más frecuentes de la cirugía ortopédica, que en ocasiones obligan a reintervenir al paciente.
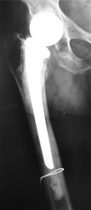
Presentamos el caso de una mujer de 83 años con antecedentes de osteoporosis, posmenopáusica en tratamiento semanal con bifosfonatos y aporte diario de calcio y vitamina D y fractura de cadera derecha a los 64 años, intervenida con colocación de prótesis cementada. Acudió a consulta por coxalgia derecha mecánica, con claudicación en la marcha de meses de evolución. En la exploración destacaron limitación y dolor a la rotación de la cadera derecha. Se realizó una radiografía de cadera (fig. 1) y, ante la sospecha de movilización aséptica de la prótesis, se realizó una gammagrafía ósea en 3 fases que muestra captación en el tercio distal (fig. 2a), confirmando así el diagnóstico. Iniciamos tratamiento con ranelato de estroncio más aporte de calcio y vitamina D. Transcurridos 2 meses, la paciente mejoró significativamente y desapareció la claudicación para la marcha que presentaba con anterioridad. A los 6 meses se repitió la gammagrafía ósea, que mostró una reducción cercana a la normalidad de la hipercaptación isotópica que mostraba al inicio (fig. 2b).
Debido al envejecimiento de la población, existe un incremento de pacientes sometidos a cirugía de remplazo articular. La fijación estable y duradera de las prótesis depende, entre otros factores, de la técnica quirúrgica empleada, de las características de la superficie del implante que contacta con el hueso y de la cantidad y la calidad ósea del paciente. Una de las complicaciones más frecuentes es la movilización de las prótesis, especialmente en pacientes con osteoporosis. Es, por tanto, esperable que tratamientos dirigidos a mejorar la microarquitectura del hueso y a incrementar la masa ósea faciliten la osteointegración de las prótesis1.
El ranelato de estroncio, utilizado para prevenir fracturas osteoporóticas2, se ha mostrado eficaz para mejorar la osteointegración de prótesis en animales3,4. Sin embargo, no se conocen hasta la fecha estudios que evalúen sus efectos en humanos para esta misma finalidad. Por tanto, el caso aquí presentado aporta datos que sugieren que el ranelato de estroncio puede resultar benéfico para la osteointegración en una prótesis de cadera. La mejoría sustancial de los síntomas apenas 2 meses de haber iniciado el tratamiento junto a la normalización de la gammagrafía ósea a los 6 meses resultan prometedores y sugieren su potencial aplicación en cirugía ortopédica.
Conflicto de interesesLos autores declaran no tener ningún conflicto de intereses.





