El hipoparatiroidismo idiopático (HPI) es un trastorno infrecuente que ocurre en pacientes pediátricos en los primeros años de vida y generalmente está asociado a enfermedades autoinmunitarias1. El hipoparatiroidismo en pacientes adultos se caracteriza por incremento de la densidad mineral ósea y calcificaciones ectópicas; sin embargo, cuando ocurre en niños antes de completar el crecimiento esquelético también puede originar alteraciones de la tasa de crecimiento, remodelado óseo y momento del cierre epifisario2.
Se presenta el caso de una paciente con antecedente de hipoparatiroidismo desde la infancia que desarrolló, en la columna, un patrón radiológico de «hueso dentro de hueso» en varios cuerpos vertebrales, lo cual ha sido descrito infrecuentemente en el HPI.
Presentación clínicaMujer de 19 años, que fue diagnosticada de HPI a los 10 años por distonía de extremidades secundaria a hipocalcemia. Previamente no tenía ningún antecedente médico personal ni familiar relevante, incluidos trastornos autoinmunitarios y endocrinológicos. Durante el seguimiento desarrolló esclerosis ósea generalizada, que se evidenció tanto en las radiografías de pelvis y huesos largos de las extremidades inferiores, como en la densitometría ósea que mostraba en columna lumbar (L1-L4) valores de T-score 4,2, Z-score 4,5 y DMO 1,513mg/cm2. Desarrolló además cataratas bilaterales que fueron operadas a los 12 años. La bioquímica sanguínea mostraba hipocalcemia leve (calcio 7-8,5mg/dl), hiperfosfatemia (fósforo por encima de 5mg/dl), niveles bajos de parathormona (4,8pg/ml) y normales de fosfatasa alcalina y vitamina D3 (25[OH]D3 y 1,25[OH]D3); la química urinaria también mostraba aumento de la reabsorción de fosfato (95,3%) con calciuria normal. Recibía como tratamiento suplementos de calcio (carbonato de calcio 2.500mg/día), calcitriol (0,5μg/día) y dieta baja en fosfatos.
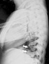
En los estudios radiológicos, además de la marcada esclerosis ósea, llamaba la atención, en la columna, la presencia de líneas paralelas a la cortical de los cuerpos vertebrales que daban lugar a la imagen de un pequeña copia del cuerpo vertebral en su interior, el denominado signo del «hueso dentro de hueso» (figs. 1-3). Este signo era evidente en varios cuerpos vertebrales. No presentaba deformidades morfométricas vertebrales ni calcificación de los ligamentos paraespinales.
Son escasas las publicaciones acerca de la presencia del signo del «hueso dentro de hueso» en pacientes con HPI. Rosen y Deshmukh describieron una serie de 5 pacientes con HPI, encontrando que este signo fue el hallazgo radiológico más común, afectando mayormente a vértebras lumbares, en 2 de los casos con múltiples vértebras afectadas. Este signo se relaciona con la presencia de líneas paralelas a los platillos asociadas a persistencia de un remanente de la superficie vertebral anterior. Dichas líneas pueden reflejar la recuperación del crecimiento después de un cese temporal del mismo, por esta razón se denominan «líneas de recuperación de la detención del crecimiento» (growth arrest recovery lines). Algunos factores adicionales que explicarían la aparición de dichas líneas en el HPI son el tratamiento con dosis altas de vitamina D3 y las variaciones de los niveles sanguíneos de calcio y fósforo2. Existen otras causas de aparición del signo del «hueso dentro de hueso», que pueden ser clasificadas según el mecanismo predominante en: a) neoformación ósea normal: neonatos y lactantes normales; b) neoformación ósea perióstica anormal: administración prolongada de prostaglandina E1 en neonatos, consolidación ósea anormal (fracturas de huesos largos no inmovilizadas, trastornos neuropáticos), hiperostosis cortical infantil (enfermedad de Caffey), osificación de sarcoma óseo posradioterapia; c) desdoblamiento de la cortical por neoformación ósea perióstica secundaria: infartos óseos (anemia falciforme, enfermedad de Gaucher), escorbuto, osteomielitis crónica con secuestro y formación de involucrum; d) osteopenia subcortical: leucemia, metástasis, distrofia simpático refleja, osteoporosis idiopática juvenil; e) alteración de la velocidad de crecimiento óseo: enfermedades graves de curso agudo o enfermedades crónicas de curso intermitente en pacientes pediátricos que originan periodos de resorción ósea aumentada seguidos por periodos inactivos o quiescentes, trastornos nutricionales (malnutrición, raquitismo), hipervitaminosis D, intoxicación por metales pesados, radioterapia; f) fallo o inhibición de la resorción ósea mediada por osteoclastos: osteopetrosis, tratamiento con bisfosfonatos; g) alteración del metabolismo óseo: enfermedad de Paget, hiperfosfatasia hereditaria (enfermedad de Paget juvenil), acromegalia; h) depósito de cristales: oxalosis, e i) iatrogénicas o falsas: injertos óseos, depósito de cemento óseo subcortical, fractura espiroidea, hallazgo incidental durante la consolidación normal de una fractura y artefactos debidos a factores técnicos3.
Responsabilidades éticasProtección de personas y animales. Los autores declaran que para esta investigación no se han realizado experimentos en seres humanos ni en animales.
Confidencialidad de los datos. Los autores declaran que han seguido los protocolos de su centro de trabajo sobre la publicación de datos de pacientes y que todos los pacientes incluidos en el estudio han recibido información suficiente y han dado su consentimiento informado por escrito para participar en dicho estudio.
Derecho a la privacidad y consentimiento informado. Los autores declaran que en este artículo no aparecen datos de pacientes.






