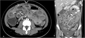
A previously healthy 19-year-old Caucasian female presented with severe abdominal pain, fever, vomiting, and watery diarrhoea for two weeks despite supportive care. Physical examination revealed fever, hypotension, and a tender abdomen. Laboratory tests showed mild leucocytosis, thrombocytopenia (73,000/μL), increased C-reactive protein and lactate dehydrogenase. Cultures and serologies ruled out an infection, while elevated faecal calprotectin levels were noted (783mg/kg). Contrast-enhanced computed tomography (CT) displayed mural thickening of the jejunum and descending colon with submucosal oedema (“target sign”) and ascites (Fig. 1). Upper endoscopy was unremarkable, while colonoscopy revealed diffuse nonspecific oedema and erythema of the descending colon, without any erosions, active bleeding or ulceration. The patient was hospitalised. Histopathology of the colon samples revealed nonspecific inflammation with focally increased intraepithelial lymphocytes. Further study revealed positive anti-nuclear (1/1280 titer, nuclear homogeneous pattern), and anti-double-stranded DNA antibodies (449IU/mL), and hypocomplementemia. Systemic lupus erythematosus (SLE) with lupus enteritis was diagnosed in accordance with the ACR/EULAR classification scoring 16 points. Treatment with intravenous methylprednisolone pulses followed by cyclophosphamide led to clinical recovery.
Abdominal CT scan – dilatation of intestinal segments, with circumferential, multisegmented mural thickening of over 3mm, affecting mainly the jejunum and descending colon, with associated submucosal oedema (“target sign” – arrow) and ascites (*). There is engorgement of mesenteric vessels and mesenteric fat stranding (curved arrows), suggesting vasculitis.
Lupus enteritis is an uncommon and severe manifestation of systemic lupus erythematosus involving mesenteric vasculitis and inflammatory changes within the intestinal wall. The submucosal oedema is responsible for the “target sign” appearance on CT, demonstrating attenuation of the submucosa enclosed by inner and outer circumferential enhancement of the thickened intestinal wall. The engorgement of mesenteric vessels, increased attenuation of mesenteric fat may be present, indicating underlying vascular inflammation.1 Since lupus enteritis may be the presenting feature of SLE, its recognition in the appropriate context should prompt ANA screening and treatment initiation to prevent bowel ischemia and perforation.1,2
FundingNo specific funding was received from any bodies in the public, commercial, or not-for profit sectors to carry out the work described in this manuscript.
Conflicts of interestThe authors have declared no conflicts of interest.




