La enfermedad relacionada con el depósito de IgG4 es una entidad caracterizada por lesiones tumefactas, infiltrado denso linfoplasmocítico con positividad inmunohistoquímica para IgG4, fibrosis estoriforme y, frecuentemente, niveles séricos elevados de IgG4. Puede cursar con afectación multisistémica; sin embargo, la afectación miocárdica, objetivada mediante pruebas de imagen, no ha sido descrita en la literatura médica. Se presenta el caso clínico de un varón afecto de enfermedad relacionada con IgG4 con posible afectación miocárdica, detectada a través de cardiorresonancia magnética, que plantea el diagnóstico diferencial con otras enfermedades como la sarcoidosis y la enfermedad de Fabry, cuyo diagnóstico diferencial es de gran importancia por su repercusión terapéutica.
IgG4-related disease is characterized by mass lesions, a dense lymphoplasmacytic infiltrate with immunohistochemical positivity for IgG4, storiform fibrosis and, frequently, elevated serum IgG4 levels. It can be multisystemic; however, myocardial involvement, which is objectively determined by imaging tests, has not been described in the medical literature. We report the case of a man with IgG4-related disease with possible myocardial involvement, detected by cardiac magnetic resonance. This raises the question of a differential diagnosis with other diseases such as sarcoidosis and Fabry disease, the differential diagnosis of which is of great importance due to its therapeutic impact.
La enfermedad relacionada con el depósito de IgG4 es una entidad caracterizada por lesiones tumefactas, infiltrado denso linfoplasmocítico con marcada positividad inmunohistoquímica para IgG4, fibrosis estoriforme y frecuentemente, pero no siempre, niveles séricos elevados de IgG41. Puede cursar con afectación multisistémica; sin embargo, la afectación miocárdica, objetivada mediante pruebas de imagen, no ha sido descrita hasta la fecha.
Observación clínicaUn varón de 48 años, sin hábitos tóxicos ni antecedentes de interés ingresa por cefalea, parestesias en la extremidad superior derecha y crisis hipertensiva. TC craneal: sin alteraciones. Se inicia tratamiento vasodilatador, diurético y antiagregante plaquetario con buen control de las cifras tensionales y desaparición de la focalidad neurológica. En la RX de tórax se aprecia redistribución vascular e hilio derecho aumentado de tamaño. Se realiza TC toracoabdominal que muestra múltiples adenopatías de tamaño valorable, entre 10 y 20mm a nivel intratorácico (en el espacio prevascular, subcarinales, pretraqueales derechas, hiliares bilaterales y adyacentes a bronquio inferior izquierdo), sin alteraciones en el parénquima pulmonar ni a nivel abdominal. Se practica broncoscopia, sin alteraciones, y 3 PAAF ganglionares con abundante celularidad linfoide sin atipias. Las baciloscopias y el cultivo para micobacterias resultan negativos. Un ecocardiograma transtorácico muestra: ventrículo izquierdo con moderada dilatación de su cavidad, ligera hipertrofia concéntrica y moderada reducción de su contractilidad global por acinesia inferior e hipocinesia del resto de segmentos. FE estimada 37%. Disfunción diastólica de tipo restrictivo sugestiva de aumento de presión capilar. Moderada dilatación de la aurícula izquierda. La cardiorresonancia magnética (CRM) muestra:
- 1
Situs solitus, levocardia, levoápex, normoconcordancia AV-VA.
- 2
Ventrículo izquierdo con hipertrofia concéntrica moderada, dilatado y remodelado, con hipocinesia difusa y función sistólica moderadamente deprimida (FE 44%).
- 3
Aurícula izquierda moderadamente dilatada con aneurisma del septo.
- 4
Cavidades derechas no dilatadas con función sistólica normal.
- 5
Pericardio no engrosado sin derrame.
- 6
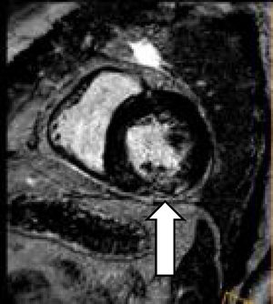
Patrón parcheado intramiocárdico ediobasal inferolateral y basal inferior y lateral del ventrículo izquierdo sin necrosis, sugerente de sarcoidosis versus enfermedad de Fabry (fig. 1).
Se cursa una muestra de gota seca (blood-spot) que descarta enfermedad de Fabry, y se realiza nueva PAAF ganglionar, por ecobroncoscopia, que muestra material hemático y linfocitos sin atipias ni granulomas. Las baciloscopias y el cultivo para micobacterias fueron negativos. Una coronariografía no objetiva lesiones angiográficas significativas. Una gammagrafía con galio muestra captación en la región mediastínica alta anterior derecha e izquierda, que orienta hacia un origen inflamatorio, sin descartar un proceso linfoproliferativo. La analítica general, incluida la determinación de inmunoglobulinas totales, enzima conversora de la angiotensina, determinación de autoanticuerpos y serologías viricas resultaron negativas o normales.
El paciente siguió tratamiento vasodilatador, y en el control clínico a los 2 meses se encontraba normotenso y asintomático. Un nuevo ecocardiograma transtorácico no mostró cambios respecto del anterior, excepto una mejoría de la función sistólica. El ecocardiograma transesofágico confirma los datos descartando foramen oval permeable. Se repite CRM que muestra: ventrículo izquierdo con hipertrofia concéntrica moderada, no dilatado, sin alteraciones de la contractilidad segmentaria y función sistólica normal (FE 70%) y persistencia del patrón parcheado intramiocárdico en el segmento medio inferolateral e inferior del ventrículo izquierdo sin necrosis, sugerente de sarcoidosis versus enfermedad de Fabry.
Nuevas TC torácicas y gammagrafía con galio siguen mostrando adenopatías mediastínicas, hiliares y en el espacio prevascular retroesternal, con captación patológica de galio, sugestivas de actividad inflamatoria. Con el diagnóstico de sospecha de proceso inflamatorio con afectación adenopática mediastínica e hiliar y afectación miocárdica parcheada sugestiva de sarcoidosis se decide mediastinoscopia diagnóstica, que muestra un tejido duro en la región retroesternal, muy adherido, que se reseca para estudio de AP y biopsia de ganglios mediastínicos. La AP de las adenopatías mediastínicas muestra: ganglios linfáticos con histiocitosis sinusal y aumento de eosinófilos. La AP de la lesión de mediastino anterior muestra: una lesión fibroinflamatoria constituida por abundante esclerosis de patrón estoriforme que rodea folículos linfoides con centros germinales hiperplásicos, acompañado de abundante infiltrado plasmocitario. Algunos de los folículos presentan un aspecto de tipo «castlemanoide» con células plasmáticas que rodean el centro germinal de manera concéntrica, y con presencia de un vaso sanguíneo de pared gruesa que atraviesa el centro germinal. Se observa un infiltrado inflamatorio de acompañamiento con linfocitos, histiocitos y eosinófilos. Se identifican pequeños vasos sanguíneos (vénulas) con pared esclerosada y luz obliterada, asociadas a infiltrado inflamatorio. El estudio histoquímico con fibras elásticas muestra la presencia de vasos venosos esclerosados. El estudio inmunohistoquímico muestra positividad para IgG y para IgG4 en más de 40 células plasmáticas, con una ratio IgG4/IgG aproximadamente del 40%. Negatividad para CD30, CD15, Pax5, EMA, ALK, CD10 y CyclinD1. Las tinciones para CD20, CD79a, CD3, CD5 y BCL-2 evidencian los linfocitos B y T acompañantes. CD23 evidencia las células dendríticas de los centros germinales. Las tinciones para CK AE1/AE3, CK5/6 y CK34Be12 evidencian los nidos de células epiteliales atrapados dentro de la fibrosis. Negatividad para calretinina y mesotelina. El estudio de hibridación in situ para las cadenas pesadas de las inmunoglobulinas Kappa y Lambda muestra policlonalidad de las células plasmáticas. Negatividad para virus de Epstein-Barr con la técnica de hibridación in situ para EBER.
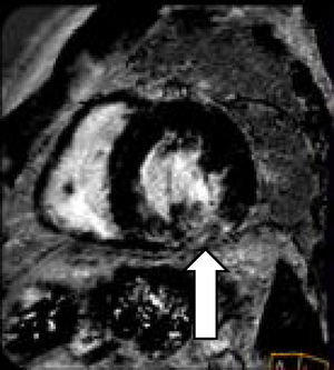
Hallazgos morfológicos e inmunofenotípicos compatibles con lesión fibroinflamatoria mediastínica relacionada con IgG4. La IgG4 sérica es de 130mg/dl. Las baciloscopias y cultivos para micobacterias de las muestras obtenidas fueron negativas, y se descartó por completo la presencia de proceso linfoproliferativo. Con el diagnóstico de enfermedad relacionada con IgG4 con afectación mediastínica y, probablemente, cardíaca, se inicia tratamiento inmunosupresor con prednisona (1mg/kg/día) y azatioprina (a dosis crecientes hasta 2mg/kg/día). El paciente presenta buena respuesta clínica, con reducción de las imágenes de adenopatías detectadas por TC, así como la CRM de control que, tras 4 meses de tratamiento inmunosupresor, muestra reducción del patrón intramiocárdico descrito anteriormente en el segmento medio inferolateral e inferior del ventrículo izquierdo sin necrosis (fig. 2).
DiscusiónLa enfermedad relacionada con IgG4, descrita en 2003, ha sido referida afectando a múltiples órganos o tejidos como árbol biliar, glándulas salivales, tejido periorbitario, riñones, pulmones, ganglios linfáticos, meninges, aorta, mama, próstata, tiroides, pericardio y piel1,2. Sin embargo, no hemos encontrado descrita en la literatura la afectación miocárdica. Nuestro paciente presentaba lo que parecía ser amplia afectación de ganglios linfáticos intratorácicos, que los hallazgos quirúrgicos demostraron ser una mediastinitis fibrosante, descrita en la enfermedad por IgG4, y tal como demostraban las 2 CRM practicadas, una afectación miocárdica que sugería sarcoidosis o enfermedad de Fabry, esta última descartada por el estudio enzimático. La sarcoidosis es una enfermedad granulomatosa de etiopatogenia inmunoinflamatoria similar en su presentación a la enfermedad relacionada con la IgG4 y, a menudo, es necesario el diagnóstico diferencial con la misma3,4. La afectación miocárdica de la sarcoidosis está ampliamente descrita y puede ser detectada a través de pruebas de imagen como CRM o PET-TC con glucosa 185,6. Si bien cambios parcheados no están descritos en la enfermedad relacionada con IgG4, si se ha descrito afectación cardiaca en forma de periarteritis coronaria, estenosis luminal, pericarditis o aortitis7. En nuestro caso, tanto la afectación ganglionar como los datos de CRM orientaban hacia el diagnóstico de sarcoidosis; sin embargo, la AP mostró enfermedad relacionada con IgG4 con afectación extensa a nivel mediastínico y con afectación parcheada miocárdica, que han mejorado ambas con el tratamiento inmunosupresor. Se trata de la primera descripción de afectación miocárdica en el contexto de enfermedad relacionada con IgG48. Consideramos, por tanto, que dicha entidad debe ser tenida en cuenta en el diagnóstico diferencial de las entidades que pueden provocar afectación parcheada intramiocárdica, como la sarcoidosis o la enfermedad de Fabry.
Conflicto de interesesLos autores declaran no tener ningún conflicto de intereses.





