La sincondrosis isquiopúbica (SIP) es una articulación temporal que solo existe en la infancia, durante la maduración ósea. En ocasiones cursa con dolor, mientras que en otras supone un hallazgo casual en la radiografía simple. Dado su aspecto seudotumoral es fundamental la realización de una resonancia magnética (RM), para realizar el diagnóstico diferencial con entidades patológicas.
Caso clínicoVarón de 8 años sin antecedentes de interés, que consultó por episodios semanales de dolor intenso de menos de una hora de duración en extremidad inferior derecha desde hacía un año. El dolor se localizaba en cara anterior del muslo y región glútea, acompañándose de limitación para la marcha. No se refería fiebre ni manifestaciones generales. La clínica remitía con reposo y analgésicos habituales.
En la exploración se constató obesidad (IMC=24; >p97), no se objetivaron signos inflamatorios, limitación de la movilidad ni déficits neurológicos. El hemograma, bioquímica y reactantes de fase fueron normales.
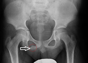
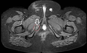
En la radiografía AP de pelvis (fig. 1) evidenció la SIP derecha aumentada de tamaño con pequeñas irregularidades de aspecto seudotumoral. En la RM (fig. 2) una imagen asimétrica e irregular, en «puente fibroso», que afecta a la sindesmosis isquiopubiana derecha (T1) y señal hiperintensa con edema de partes blandas asociado en secuencias T2 y STIR. Todo ello compatible con el diagnóstico de «osteocondritis de Van Neck-Odelberg».
DiscusiónLa enfermedad de Van Neck-Odelberg es un proceso benigno que aparece en niños entre los 4-16 años. Se caracteriza por dolor del miembro inferior debido a osteocondritis de la rama isquiopubiana1,2.
Puede objetivarse engrosamiento de la SIP sin manifestaciones clínicas, pero en ocasiones cursa con dolor en cadera, región inguinal o glútea, con limitación para la movilidad de la extremidad y cojera3.
En la radiología simple es habitual el aumento de la sincondrosis con áreas radiolúcidas y osteolíticas. Los hallazgos típicos de la RM incluyen cambios en la médula ósea y edema de partes blandas perilesionales2–4.
La apariencia seudotumoral en la radiología puede confundirse con fracturas de estrés, proceso infeccioso o tumoral1–5. La ausencia de fiebre y la normalidad en las pruebas analíticas nos facilitarán el diagnóstico diferencial1.
Habitualmente este cuadro presenta una evolución favorable transcurridas 2 o 3 semanas de tratamiento antiinflamatorio y reposo2,3,5,6.
Responsabilidades éticasProtección de personas y animalesLos autores declaran que para esta investigación no se han realizado experimentos en seres humanos ni en animales.
Confidencialidad de los datosLos autores declaran que han seguido los protocolos de su centro de trabajo sobre la publicación de datos de pacientes.
Derecho a la privacidad y consentimiento informadoLos autores declaran que en este artículo no aparecen datos de pacientes.
Conflicto de interesesLos autores declaran no tener ningún conflicto de intereses.





