La enfermedad de Whipple, que fue descrita por primera vez por George Hoyt Whipple en 1907, es una enfermedad infecciosa multisistémica, producida por el Tropheryma whipplei, identificado por primera vez en 1991, cuyo nombre proviene del griego («trophe»: nutriente, «eryma»: barrera) en relación con la absorción deficiente de nutrientes característica de la enfermedad. Clínicamente se caracteriza por artralgias, pérdida de peso, diarrea y dolor abdominal, aunque puede tener una gran variabilidad clínica, por lo que su diagnóstico puede llegar a demorarse hasta una media de 6 años. A continuación, presentamos 2 casos clínicos cuyo diagnóstico final fue de enfermedad de Whipple.
Caso 1Varón de 47 años, agricultor, en estudio desde hace 15 meses por poliartritis en las rodillas, los tobillos y las manos. Ingresa en el servicio de gastroenterología por cuadro de dolor abdominal, vómitos y fiebre. A la exploración física destaca dolor en el hemiabdomen izquierdo con sensación de masa a la palpación, y en las pruebas complementarias una VSG de 100mm/h, anemia normocrómica y una tomografía computarizada (TC) toracoabdominal con infiltración mesentérica y adenopatías en las asas yeyunales. Se practicó laparotomía exploradora con biopsia de adenopatías y meso intestinal. La anatomía patológica fue diagnóstica de enfermedad de Whipple, ante la presencia de macrófagos con inclusiones intracelulares, PAS positivos. Se trató con cotrimoxazol durante 2 años y tetraciclina durante 3 meses iniciales. El paciente sigue asintomático 20 años después.
Caso 2Varón de 63 años con antecedentes de hipertensión arterial sistémica, insuficiencia renal, artritis y lumbalgia de 9 años de evolución, con diagnóstico de espondiloartritis. Presentó uveítis posterior y vitritis de ojo derecho, y 3 episodios de pancreatitis con ingreso en el servicio de Digestivo, en el que se realizó TC que evidenció adenopatías mesentéricas inespecíficas (fig. 1) y gastroscopia con bulboduodenitis erosiva con toma de biopsia. Un mes después ingresó de nuevo en el servicio de Digestivo por fiebre, diarrea y dolor abdominal. Se recibió el resultado de la biopsia duodenal (fig. 2) que se realizó en ingreso previo, con diagnóstico de enfermedad de Whipple. Se instauró tratamiento con ceftriaxona, imipenem, y posteriormente trimetoprima/sulfametoxazol, durante 2 años, añadiendo cefixima los 2 primeros meses.
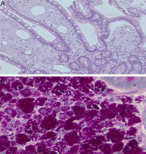
Biopsia de intestino delgado (duodeno). A) Vellosidades intestinales con expansión de la lámina propia por numerosos macrófagos rosados de citoplasma espumoso (H&E ×20). Se observan ocasionales «espacios vacíos» correspondientes a depósitos lipídicos extracelulares. B) Macrófagos cargados de multitud de gránulos intracitoplasmáticos positivos para la tinción de PAS-diastasa (×20-40).
Las manifestaciones reumatológicas en la enfermedad de Whipple son frecuentes (60% de los casos), y preceden a las manifestaciones digestivas en tres cuartas partes de los casos. En muchas ocasiones constituyen el primer síntoma de la enfermedad. Se manifiesta frecuentemente como poliartritis, generalmente crónica, intermitente, seronegativa y no erosiva1, aunque se han descrito casos de manifestaciones reumatológicas atípicas como espondilodiscitis2, artritis erosiva2, e incluso osteonecrosis de cadera. Las articulaciones más comúnmente afectadas son los carpos y las grandes articulaciones de las extremidades inferiores. Si existen dudas diagnósticas, es importante descartar esta enfermedad en pacientes con artritis seronegativas y manifestaciones del aparato digestivo antes del inicio de terapias biológicas, ya que su uso puede empeorar el curso de la enfermedad3.
La mejoría sintomática con el uso de antibióticos administrados por otros motivos, así como la falta de mejoría o incluso el empeoramiento clínico con la terapia inmunosupresora debe hacer sospechar esta enfermedad.
La biopsia sinovial y de mucosa intestinal, puede mostrar infiltrado monocítico teñido con ácido periódico de Schiff (PAS)4. El desarrollo de la técnica de reacción en cadena de la polimerasa ha permitido identificar el material genético de la bacteria en distintos tejidos y fluidos corporales4,5, lo que sugiere que la causa de la artritis en esta enfermedad sea séptica. También ha sido posible el cultivo de la bacteria desde el líquido sinovial. En ocasiones, el estudio articular puede ser diagnóstico, aunque el examen intestinal sea negativo4.
Aunque se ha demostrado material genético de Tropheryma wipplei en articulaciones de sujetos sanos, no existe consenso claro acerca del tratamiento de la enfermedad de whipplei. El tratamiento más aceptado es el uso de ceftriaxona intravenosa u otro betalactámico de amplio espectro durante 2 semanas, seguida de trimetoprima/sulfametoxazol oral durante un periodo variable, que suele ser un año. Un estudio reciente recomienda la combinación de doxiciclina e hidroxicloroquina durante un año, manteniendo posteriormente la doxiciclina de por vida, para evitar las recaídas que se producen con el régimen anterior. La mejoría clínica es drástica, más precoz la digestiva que la articular, y menos predecible la neurológica6,7.
En conclusión, la enfermedad de Whipple es una enfermedad poco común, que debemos tener en cuenta por su potencial desenlace fatal en ausencia de tratamiento, y por su gran variedad de manifestaciones clínicas. Se debe resaltar la importancia de las manifestaciones reumatológicas por su frecuencia, y la necesidad de establecer un correcto diagnóstico diferencial con otras enfermedades reumáticas, para evitar conductas terapéuticas que puedan perjudicar al paciente.





