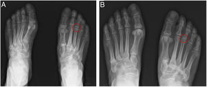
Non-weightbearing (Fig. 1A) and weightbearing (Fig. 1B) anteroposterior radiographs demonstrated a Freiberg disease in a 78-year-old female patient with forefoot chronic pain, swelling and restricted motion of the right third metatarsophalangeal joint. Laboratory results revealed normal inflammatory parameters. Radiographs images showed reduction in the height of the articular interline (Fig. 1A), subchondral sclerosis and flattening (Fig. 1B) of right third metatarsophalangeal head compatible with an avascular necrosis of right third metatarsal head. The patient was improved with daily activity and shoe wear modifications combined with an oral nonsteroidal anti-inflammatory drug. Freiberg disease is a rare clinical condition characterized by avascular necrosis of metatarsal head, most commonly the second metatarsal. The etiology of this condition is multifactorial, involving traumatic causes, vascular compromise and systemic disorders such as systemic lupus erythematosus. The differential diagnostic based on clinical presentation and radiograph findings is crucial and include stress fracture, neuroma, rheumatoid arthritis and gout. Conservative management, namely rest, activity and/or shoes modifications and analgesia aims to control pain and prevent progression. However, when these interventions are ineffective, surgical treatment may be indicated.
The authors declare that they have no conflicts of interest.




