Se presenta el caso de una paciente que en el posparto inmediato de su primer embarazo sufrió una fractura supracondílea del fémur en el contexto de una osteoporosis regional transitoria (ORT), tratada mediante reducción y osteosíntesis por técnica mínimamente invasiva (MIPO).
The article presents the case of a patient who after her first pregnacy, during the immediate postpartum period, suffered a femoral supracondylar fracture complicated by bone marrow edema syndrome (BMES), also known as regional temporary osteoporosis (RTO). The fracture of the distal femur was treated with an open reduction and internal fixation of the distal femur by means of a minimally invasive procedure.
La osteoporosis regional transitoria (ORT) es un trastorno óseo infrecuente y habitualmente autolimitado, cuya etiología exacta aún es desconocida1. La localización más habitual del cuadro es la cadera, siendo menos frecuente la afectación en la rodilla2,3. Una complicación infrecuente es la aparición de fracturas patológicas4.
Caso ClínicoAnamnesisSe presenta el caso de una mujer de 32 años sin antecedentes personales de interés ni hábitos tóxicos, que en el último mes de gestación consultó por dolor de inicio súbito y sensación de fallo en rodilla derecha. No refería antecedente traumático. El dolor se irradiaba hacia la pierna y se incrementaba con la deambulación y la bipedestación prolongada.
Anteriormente, la paciente había acudido a urgencias en dos ocasiones refiriendo los mismos síntomas; se le había tratado de forma conservadora con analgesia, antiinflamatorios y reposo relativo, tras rechazar el estudio radiográfico por su estado de gestación. La sintomatología no cedió, por lo que tres días después del parto acudió de nuevo a urgencias, siendo remitida a estudio por su traumatólogo.
Exploración físicaTumefacción de rodilla derecha, dolor a la palpación de ambos cóndilos femorales y en la interlínea articular interna, movilidad flexo-extensión limitada por dolor, discreto choque rotuliano, no inestabilidades ligamentosas. La exploración neurovascular distal era normal.
Pruebas complementarias. El estudio radiológico inicial mostró una radiolucencia difusa de la metáfisis y la epífisis femoral distal, sin líneas de fractura; el espacio articular permanecía normal (fig. 1). La resonancia magnética (RM) mostraba un extenso edema óseo en la epífisis femoral distal, más marcado en cóndilo externo, con disminución de la señal en T1 y aumento en T2, además de un pequeño derrame articular difuso (fig. 2).
Horas después de realizarse estas pruebas, la paciente sufrió una caída fortuita, refiriendo de forma inmediata dolor intenso e impotencia funcional en la rodilla derecha. El estudio radiológico urgente mostró una fractura patológica supracondílea del fémur derecho (fig. 3).
DiagnósticoFractura patológica del fémur distal en una paciente con ORT (síndrome de edema de médula ósea) durante el embarazo.
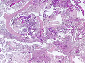
TratamientoLa fractura fue estabilizada quirúrgicamente 48h después mediante técnica mínimamente invasiva (MIPO) (fig. 4); se tomaron dos muestras de biopsia con trócar para estudio anatomopatológico, que confirmó posteriormente el diagnóstico de síndrome de edema de médula ósea sin áreas de necrosis trabecular (fig. 5).
En el último control clínico-radiológico (14 semanas tras la intervención), la enferma se encontraba asintomática, realizando carga total, con un balance articular 5°-110°. El control radiológico mostró consolidación de la fractura y restablecimiento de la densidad ósea.
DiscusiónEl curso clínico de la ORT suele seguir un patrón característico, con un debut en el tercer trimestre de la gestación, caracterizado por dolor y limitación funcional en la articulación afectada, de inicio súbito o gradual. La sintomatología se autolimita con la recuperación de la densidad ósea1,2.
Como datos complementarios de interés, el estudio analítico no es diferente del de otras gestantes asintomáticas. Al inicio de los síntomas, las radiografías son normales; se pueden observar entre la cuarta y la octava semanas varios grados de osteopenia en los cóndilos. La gammagrafía con Tc99 revela incremento de la captación focal en la articulación afectada, hallazgo que puede estar presente antes de que ocurran cambios radiográficos. La RM ha demostrado que la alteración de la señal puede ocurrir dentro de las 48h del inicio de los síntomas, apreciándose como áreas hiperintensas en T2 y supresión grasa (STIR) e hipointensa en T13.
El diagnóstico diferencial debe realizarse con osteonecrosis, infección (osteomielitis, artritis séptica), sinovitis vellonodular pigmentada, fracturas por estrés y procesos neoplásicos (metástasis, mieloma, linfoma o tumor óseo primario). Es imprescindible el estudio con RM para alcanzar un correcto diagnóstico. Se logra diferenciar de osteonecrosis, pues el síndrome de edema medular transitorio compromete la metáfisis y la epífisis, preservando el contorno de la articulación. Se puede distinguir de la ostemielitis, pues en esta se afecta principalmente la epífisis4–6. Se ha sugerido también que la ORT representa una forma de distrofia simpática refleja7,8.
Conflicto de interesesLos autores declaran no tener ningún conflicto de intereses.








