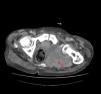
We report the case of an 82-year-old male patient diagnosed 10 years prior with Paget's disease and polyostotic involvement. Relevant history showed atrial fibrillation and chronic heart failure. He came to the immediate care clinic (UCAI) due to fatigue, anorexia and edema of the lower extremities, which had been present for 15 days. The systems review referred pain in the left ischiopubic region since 6 months before, which had been increasing and appeared both at rest and with exercise. He was admitted for heart failure treatment and study of the origin of pain. Physical examination showed pale skin and mucous membranes, irregular cardiac auscultation with systolic aortic murmur, decreased breath sounds on widespread lung auscultation, pitting edema up to the root of both lower limbs and pain on movement and decreased function of the left hip joint. On rectal examination there were no masses but only with remnants of normal stool. Complementary tests showed hemoglobin of 9.5g/dl with normal mean corpuscular volume and hemoglobin, CRP: 21.2mg/dl (0.2–0.8), fibrinogen: 722mg/dl (200–400), glomerular filtration rate: 120mm (1–15), alkaline phosphatase, 155U/l, iron: 23.6mg/dl (50–150) transferrin: 155mg/dl (300–360), ferritin: 1144mg/l (50–350), saturation index: 12% (20–40), soluble transferrin receptor: 7.88mg/l (2–4), tumor markers were normal. The chest X-ray showed bilateral pleural effusion and small lesions consistent with Paget's disease in both shoulders and the fifth left rib. Pelvic X-ray showed multiple lesions consistent with Paget's disease and a larger lytic image on the left ischium (Fig. 1). A bone scan was performed which showed images compatible with Paget's disease and no uptake in the left ischium (Fig. 2). A thoraco-abdominal CT-scan revealed a large pelvic mass with lobulated contours and foci of calcification that destroyed the left ischium and acetabulum measuring 12cm×12cm×16cm (Fig. 3). Suspecting a bone neoplasm added to Paget's disease the patient underwent an iliac bone biopsy which was consistent with undifferentiated pleomorphic high grade non osteogenic sarcoma, vimentin positive, with coexpression of CD-68 and low expression of actin and desmin. The patient outcome was unfavorable, suffering great malaise and difficulty controlling the pain, he decided to initiate treatment with radiotherapy for symptomatic control fundamentally. Finally, the patient died a week after the pathological diagnosis.
Paget's disease, described in 1876 by Sir James Paget, is characterized by excessive and abnormal bone remodeling, altering both the resorption and bone formation and leading to the appearance of lytic lesions associated with hypetrophic bone deformities.1 Although the pathogenesis of the disease remains unknown, it has been found associated with the expression of certain genes,1,2 some of which, like SQSTM1, could also be related to the development of osteosarcomas on prior lesions.3,4 This neoplasia may develop in up to 1% of cases according to different series.4,5 Other, more sporadic tumors of different cell lines may be found in these patients, such as bone malignant fibrous histiocytoma or undifferentiated pleomorphic sarcoma as in our case.6 This tumor is rare, constituting 2%–5% of malignant bone tumors, and usually appears as a palpable and painful mass on the femur, tibia or humerus, with large lytic lesions on X-rays. This is the clinical presentation described in previously reported cases, similar to the one presented, but usually the alkaline phosphatase elevation is much higher than in our case.7 Its most common presentation as the primary tumor, but in 20%–30% of cases it appears in connection with pre-existing bone lesions, such as those caused by Paget's disease, radiotherapy treatments, joint replacement, trauma, stroke or bone infections.7–11 Treatment is surgical and adjuvant radiotherapy may be used, though recent studies show that the response to chemotherapy may be similar to that of osteosarcoma, aggressive treatment usually points to a poor prognosis and high mortality, partly due to its high rate of recurrence (around 65%).7
DisclosuresThe authors have no disclosures to make.
Please cite this article as: Novo Veleiro I, et al. Dolor en la región isquiopubiana en un paciente con enfermedad de Paget. Reumatol Clin. 2011;7(6):419–20.






