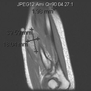
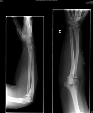
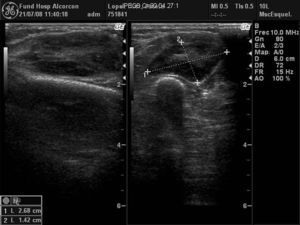
Mujer de 73 años con antedecente de melanoma coroideo en ojo derecho en 1999 tratado con braquiterapia. En mayo de 2008 acudió por nódulo en antebrazo izquierdo de 4 meses de evolución. A la exploración física se objetivaba un nódulo no doloroso a la palpación que parecía depender de la musculatura extensora. El hemograma, la bioquímica y el examen de orina fueron normales. La VSG de 26mm (0–20). La Rx del antebrazo (fig. 1) evidenció una masa densa en partes blandas sin erosión ósea. La ecografía (fig. 2) objetivó una tumoración ovalada, sólida con flujo arterial en su interior. La RM (fig. 3) mostró una masa sólida hiperintensa en T1, levemente hiperintensa en T2 y algo más brillante en STIR.
Ecografia antebrazo izq: Se observa una tumoración ovalada, sólida de 36×26×14mm, bien delimitada con flujo arterial en su interior. En el plano muscular lateral del antebrazo izquierdo se observa una tumoración ovalada sólida de 36×26×14mm, bien delimitada por un anillo ecogénico, predominantemente hipoecogénica respecto a la musculatura adyacente, con una zona central hiperecogénica. Se observa flujo arterial en el interior de la tumoración en el estudio con Doppler.
Se realizó una biopsia cuyo estudio histopatológico demostró una metástasis muscular. Fue resecada quirúrgicamente y no requirió tratamiento coadyuvante. Actualmente ha tenido una recidiva subcutánea preauricular bilateral y abdominal, por lo que está recibiendo quimioterapia.
DiscusiónEl melanoma coroideo es la neoplasia maligna más frecuente del ojo1. Su incidencia se sitúa alrededor de 6–7 casos/millón habitantes/año. Clínicamente se manifiesta por desprendimiento o hemorragia retiniana, con disminución de agudeza visual y/o escotomas3. Este tipo de tumor produce metástasis en el 35% de los casos, a pesar de tratamiento satisfactorio2. Principalmente asientan a nivel hepático (98%), pulmonar (29%) y óseo (17%)4. Solo un 12% se producen en piel y tejido subcutáneo. La supervivencia media llega a menos de un 10% a los 2 años desde la aparición de la metástasis4.
Hay muy pocos casos publicados de metástasis musculares procedentes de melanomas malignos5–7. La manifestación clínica habitual consiste en una masa dolorosa localizada con mayor frecuencia en músculo psoas, iliopsoas, musculatura paravertebral y proximal de los miembros8. En la RM la señal hiperintensa en T1, debida al efecto paramagnético de la melanina, es un signo característico de esta entidad5. El diagnóstico de certeza es anatomopatológico. De todo lo dicho anteriormente, se desprende que siempre se debe tener en cuenta los antecedentes personales del paciente, sobre todo en el caso de neoplasias.






