Mujer de 70 años, sin antecedentes de interés, que presentaba dolor costal de 8 meses de evolución, diurno y nocturno, de intensidad progresiva, acompañado de una pérdida ponderal de 8kgs en los últimos 4 meses. En la exploración se apreció una disminución marcada de la movilidad lumbar con intenso dolor a la palpación de articulaciones condroesternales y rodillas.
El hemograma y la bioquímica fueron normales. VSG: 16mm/1.ah. Inmunoglobulinas: IgG 649mg/dl (690–1400), IgA 118mg/dl (70–370), IgM 32,8mg/dl (40–240), IgD<23,3UI/ml (0–100), IgE 29,5UI/ml (0–100). Proteínas totales: 7,1g/dl. Proteinograma (%): Albúmina 61,9, globulinas α1 4,5, globulinas α2 12,4, globulinas β 12,4 y globulinas γ 8,8. Inmunoelectroforesis: sangre: Cadenas Kappa 180mg/dl (200–440), cadenas Lambda 92,7mg/dl (110–240); orina: cadenas Kappa 6,7mg/dl, Cadenas Lambda<0,39mg/dl; conservación del arco de precipitación de IgG, IgA e IgM, equilibrio de cadenas ligeras en suero con mínima eliminación urinaria.
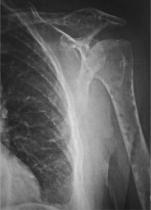
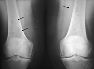
En la radiología simple se evidenciaron lesiones osteolíticas, sin bordes esclerosos de distintos tamaños y sin destrucción cortical en fémures (fig. 1), húmeros (fig. 2), parrilla costal, clavículas y cráneo (fig. 3), sin captación gammagráfica (Tc99) de las mismas.
Ante el diagnóstico diferencial de dichas lesiones (mieloma múltiple, metástasis de carcinoma de mama, pulmón, riñón y tiroides, enfermedad granulomatosa, mastocitosis, enfermedad de Gaucher) se realizó un aspirado de médula ósea que mostró una infiltración por células plasmáticas dismórficas del 23% y permitió confirmar el diagnóstico de MM no secretor (tabla 1).
Criterios diagnósticos de mieloma múltiple5
|
| En pacientes con componente M no detectable, una relación sérica anormal de cadenas ligeras libres puede sustituir y satisfacer este criterio. |
| Para pacientes sin componente M detectable y relación de cadenas ligeras normal: la médula ósea basal debería presentar >10% de células plasmáticas clonales (mieloma no secretor) |
El MM no secretor representa alrededor del 1–4% del total de todos los MM1. Su presentación clínica, supervivencia y respuesta al tratamiento no difieren del MM clásico, aunque sí suele cursar con menor incidencia de insuficiencia renal dado que existe una ausencia de excreción urinaria de cadenas ligeras1,2.
La gammagrafía ósea con Tc99 tiene poco valor en la evaluación de las lesiones del MM debido a la resorción ósea excesiva-ausencia de actividad osteoblástica que las caracteriza; sin embargo, la gammagrafía con Tc99-sestamibi es un procedimiento alternativo que puede detectar lesiones adicionales3.
El MM no secretor es una patología de gran dificultad diagnóstica por su baja incidencia y escasa expresividad analítica4, adquiriendo especial relevancia una prueba tan sencilla y de bajo coste como es la radiografía simple. Por ello debe siempre considerarse en el diagnóstico diferencial del enfermo con dolor óseo persistente, particularmente costal y vertebral, pues se trata de una patología grave cuyo pronóstico mejora con un diagnóstico precoz.







