Presentamos el caso de un varón de 36 años con dermatomiositis de reciente comienzo, que desarrolló neumomediastino y enfisema subcutáneo masivo al inicio de una neumopatía intersticial progresiva y severa. En el momento del diagnóstico no había imágenes parenquimatosas quísticas evidentes; sin embargo, la broncoscopia permitió evidenciar una lesión endobronquial de aspecto necrótico que se consideró como probable origen de la fuga aérea. El paciente se trató con corticoides a dosis altas, ciclofosfamida y ciclosporina A, con resolución del neumomediastino y del enfisema subcutáneo. Con el tratamiento se observó una mejoría progresiva de la afección parenquimatosa pulmonar y de la insuficiencia respiratoria, lo que permitió la disminución progresiva de los corticoides.
We have recently observed the case of a 36-year-old man with dermatomyositis of recent onset, who developed masive pneumomediastinum and subcutaneous emphysema at the onset of a progresive and severe pulmonary disease. Although there were no sign of parenchymal cysts, after the bronchoscopy it was possible to observe endobronchial necrotic injury which was considered as the likely source of the air leak. He was treated with high dose of corticosteroids, cyclophosphamide and cyclosporin A which resulted in the disappearance of the pneumomediastinum and subcutaneous emphysema and the progressive improvement of both parenchymal lung disease and respiratory insufficiency, enabled us to progressively taper the dose of corticosteroids.
El neumomediastino espontáneo (NE) es una entidad clínica de origen desconocido y evolución benigna que afecta a individuos jóvenes. Habitualmente se resuelve en pocos días con tratamiento conservador. En ocasiones se produce una rotura alveolar como resultado de la afección parenquimatosa periférica en enfermedades intersticiales que producen panalización periférica, como es el caso de la dermatomiositis, muchas veces en su forma amiopática. La afección pulmonar en estos casos suele ser especialmente grave, con una elevada mortalidad que sólo disminuye si se instaura tratamiento inmunosupresor potente de forma temprana.
Caso clínicoVarón de 36 años, sin antecedentes de interés, que comienza con fiebre, lesiones cutáneas eritemato-descamativas en cara, cuero cabelludo, manos y codos, alopecia y debilidad con pérdida de peso importantes. Las determinaciones de laboratorio mostraron: hemograma normal. Velocidad de sedimentación globular, 20mm primera hora (normal, 0–10). Las determinaciones bioquímicas que incluyeron creatincinasa (CPK), lactato deshidrogenasa (LDH), aldolasa, THS, proteinograma, inmunoglobulinas, complemento, marcadores tumorales, PCR, pruebas de coagulación y orina fueron normales. El estudio inmunológico mostró: ANA+ 1/320. Las demás determinaciones, que incluyeron anti-ADN, ENA, AMA, ASMA, ANCA, factor reumatoide y anticardiolipina, fueron negativas.
El paciente fue diagnosticado de lupus eritematoso sistémico (LES) y se inició tratamiento con hidroxicloroquina 200mg/8h y prednisona 30mg diarios, con lo que experimentó una mejora de las lesiones cutáneas en cara y cuero cabelludo, la alopecia y el síndrome constitucional.
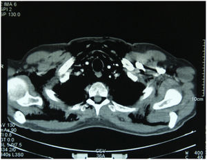
Seis meses después acude a urgencias por presentar disfonía, aumento del perímetro del cuello y sensación de crepitación. No refería antecedente traumático, ni otros síntomas respiratorios o digestivos. A la exploración física presentaba: febrícula (37,5°C); frecuencia cardíaca, 105lat/min; frecuencia respiratoria y presión arterial (PA) normales. La pulsioximetría mostró una saturación de oxígeno normal. No se evidenció acropaquias ni signos de vasculopatía cutánea. Se objetivaron lesiones cutáneas compatibles con pápulas de Gottron en manos y codos y enfisema subcutáneo en cara, cuello, tronco y extremidades superiores. El resto de la exploración física por aparatos no mostró alteraciones. Se le realizó radiografía de tórax y tomografía computarizada (TC) toraco-abdominal, que evidenciaron neumomediastino, neumorraquis, extenso enfisema subcutáneo, pequeño neumotórax bilateral apical y afección parenquimatosa pulmonar bilateral tenue de distribución periférica (fig. 1). Se realizaron, además, esofagograma, broncoscopia, electrocardiograma y ecocardiograma que no mostraron alteraciones. No se realizó estudio funcional respiratorio por el riesgo que suponían las maniobras de hiperpresión torácica. Una resonancia magnética (RM) de pelvis y muslos mostró líquido perifascial bilateral, simétrico, que afectaba a los semimembranosos, vastos laterales y rectos anteriores sin evidenciarse edema muscular. El electromiograma (EMG) constató actividad espontánea esporádica y potenciales de unidad motora de aspecto miopático en la musculatura proximal de las extremidades superiores e inferiores.
Se inició tratamiento conservador con 30mg de prednisona en pauta descendente. Al reducir la dosis de prednisona a 15mg/día, el enfisema subcutáneo y la fiebre (38,5–39°C) aumentaron, y se produjo un deterioro gasométrico progresivo que precisó oxigenoterapia con FiO2 elevadas. Una nueva TC torácica puso de manifiesto un extenso enfisema mediastínico, subcutáneo, subpleural y cervical, fibrosis pulmonar y áreas parenquimatosas en vidrio deslustrado en el lóbulo inferior izquierdo. Se realizó la búsqueda de posibles focos infecciosos que resultó negativa. Se practicó una broncoscopia que evidenció una lesión de aspecto necrótico en el bronquio intermediario. Esta lesión se consideró como posible origen del neumomediastino.
Se trató al paciente con oxigenoterapia y antibioterapia de amplio espectro (piperacilina-tazobactam y claritromicina) sin mejoría de la fiebre. Con el diagnóstico de dermatomiositis con neumomediastino espontáneo secundario a afección intersticial pulmonar y tras descartar infección concomitante, se inició tratamiento con corticosteroides (3 pulsos de 1.000mg de metilprednisolona y seguido de 2mg/kg/día de prednisona), y ciclofosfamida (CFM) intravenosa a dosis de 750mg/m2 (6 pulsos mensualmente y luego 6 pulsos trimestralmente). Se realizó, además, profilaxis para Pneumocystis carinii. A los 2 meses, tras una mejora clínica y radiológica inicial, reaparece la fiebre y se produce un empeoramiento radiológico y gasométrico, por lo que se añade al tratamiento ciclosporina A (CyA) a dosis de 5mg/kg/día. Al cabo de 1 mes de iniciar el tratamiento combinado, el paciente experimenta una mejoría lenta, pero progresiva, tanto clínica como radiológica, con desaparición del enfisema y del neumomediastino, así como de las lesiones cutáneas y de la clínica de debilidad muscular.
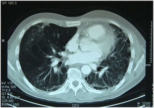
Tras 9 meses de tratamiento inmunosupresor (CFM en pulsos trimestrales, CyA a dosis de 5mg/kg/día y corticoides en pauta descendente), no recidivó el neumomediastino, el paciente permaneció estable y recuperó su capacidad para deambular. La gasometría arterial basal mostró PO2 de 60mmHg y PCO2 de 37mmHg, con saturación de oxígeno del 91%. Las pruebas de función respiratoria mostraron un patrón restrictivo con disminución de la difusión pulmonar de oxígeno. En la TC persistió una amplia panalización bilateral (fig. 2), con la desaparición de las lesiones en vidrio deslustrado. Dadas la gravedad de la alteración funcional respiratoria residual y la estabilidad de las imágenes radiológicas, se remitió al paciente a su hospital de referencia para valorar trasplante pulmonar.
DiscusiónEl neumomediastino espontáneo es una entidad clínica de origen desconocido y de evolución benigna que afecta a individuos jóvenes y se resuelve en pocos días con tratamiento conservador. La causa más probable es por la rotura de las paredes alveolares causadas por maniobras de hiperpresión torácica, con la consiguiente salida de aire al intersticio y posterior disección centrípeta a lo largo de las vainas broncovasculares hasta llegar al mediastino a través del hilio.
En ocasiones, la rotura alveolar puede producirse en el seno de una crisis asmática, o como resultado de la afectación parenquimatosa periférica de procesos intersticiales inflamatorios que producen panalización. Entre estos últimos casos, se ha descrito una llamativa asociación con la dermatomiositis-polimiositis, que en algunos casos, además, se acompaña de lesiones traqueobronquiales necrosantes de naturaleza vasculítica cuya perforación podría ser el origen de la fuga aérea al mediastino1.
La dermatomiositis es una conectivopatía con afectación predominante de piel y músculo, aunque el pulmón se afecta en un 5–40% de los casos1,2, en forma de enfermedad intersticial pulmonar (EIP)3,4, con cuatro formas clínicas en las que subyace una alteración histológica distinta:
- •
Asintomática, descubierta únicamente por los estudios radiográficos o funcionales.
- •
Neumonía organizada criptogenética (NOC).
- •
Neumopatía intersticial de lenta progresión con ocasionales episodios de exacerbación aguda. El cuadro histológico que subyace suele ser la neumonía intersticial no específica (NINE).
- •
Neumonía intersticial aguda-subaguda, con deterioro rápidamente progresivo, que habitualmente exhibe en la biopsia un patrón de daño alveolar difuso (DAD).
El neumomediastino espontáneo es una rara complicación de la dermatomiositis4, con una incidencia de 2/100.000, pero acompaña con frecuencia a los casos de mayor agresividad clínica. En el 88% de los casos se presenta en personas menores de 40 años y ocasionalmente se complica con neumotórax espontáneo5. Se ha descrito un perfil de paciente de riesgo para la aparición de NE. El paciente tipo sería un individuo joven1, con enfermedad de reciente comienzo2, enfermedad intersticial pulmonar7, vasculopatía cutánea (infarto periungueal, lesiones erosivas/ulcerativas en pulpejos de dedos)1, leve o nula elevación de CPK6, y que recibe tratamiento esteroideo1,7. En nuestro paciente, exceptuando la vasculopatía cutánea, se cumplían los otros factores de riesgo.
La presencia de anti-Jo-1 aumenta el riesgo de neumopatía intersticial en pacientes con dermatomiositis. Este anticuerpo está presente en el 20% de dermatomiositis y en el 70% de los pacientes con neumopatía intersticial; habitualmente es negativo en dermatomiositis amiopáticas, incluso si presentan neumopatía intersticial. Otros potenciales marcadores de neumopatía intersticial en pacientes con dermatomiositis son KL-6, anti-ADAM 10, proteína D del surfactante sérico y PL1213.
Se ha propuesto que la aparición de NE podría deberse a un hipotético debilitamiento del tejido intersticial pulmonar debido al tratamiento con corticosteroides7, aunque para la mayoría de los autores la verdadera causa sería la gravedad de la propia afección intersticial. De cualquier manera, la ausencia de tal afección en algunos casos de NE obliga a plantear otras hipótesis patogénicas1,6,8, entre las que estaría la perforación de las lesiones necróticas traqueobronquiales de naturaleza vasculítica antes comentada1,2.
El manejo terapéutico de los casos de dermatomiositis-polimiositis con afección pulmonar varía según su gravedad. La decisión de tratamiento debe basarse siempre en la extensión y la velocidad de progresión de la enfermedad.
En el caso de una neumopatía intersticial localizada, no progresiva y asintomática, se debe posponer el tratamiento.
En el caso de una neumopatía intersticial de curso crónico con histología de neumonía intersticial usual (NIU), se aconseja, según la normativa ATS/ESR9, tratamiento con prednisona 0,5mg/kg/día y azatioprina 1–2mg/kg/día o ciclofosfamida (aunque también se puede ensayar con ciclosporina A o tacrolimus).
En el caso de una neumopatía intersticial de curso agudo-subagudo con histología de NINE (predominio celular) el tratamiento aconsejado es corticoides a dosis altas, ciclosporina A o tacrolimus y ciclofosfamida (si no responde a los anteriores).
En el caso de una neumopatía intersticial de curso agudo-subagudo con histología de NINE (predominio de fibrosis) el tratamiento aconsejado es corticoides a dosis altas, pulsos de ciclofosfamida y ciclosporina A (si no responde a los anteriores).
En el caso de una neumopatía intersticial de curso agudo-subagudo con histología de NOC el tratamiento aconsejado es corticoides a dosis altas.
En el caso de una neumopatía intersticial de curso agudo-subagudo con histología de DAD el tratamiento aconsejado es corticoides a dosis altas, pulsos de ciclofosfamida y ciclosporina A o tacrolimus.
Una vez que se combinan ciclofosfamida y ciclosporina A, las dosis de corticoides deben disminuirse tan pronto como sea posible para reducir el riesgo de complicaciones infecciosas graves. La recomendación actual de tratamiento se resume en la tabla 1.
Recomendación actual del tratamiento de la enfermedad intersticial pulmonar
| Curso clínico | Histología | Tratamiento |
| Localizada. No progresiva. Asintomática | Posponer | |
| Curso crónico | NIU | Según normativa ATS/ERS. Prednisona 0,5mg/kg/día+AZA 1–2mg/kg/día o CFM (se puede ensayar CyA o tacrolimus) |
| Curso agudo o subagudo (incluido exacerbación aguda de NI crónica) | NOC (o sospecha por TACAR) | Corticoides a altas dosis |
| DAD | Corticoides a altas dosis*+CFM en pulsos iv+CyA o tacrolimus | |
| Curso agudo o sugagudo | NINE (predominio celular) | Corticoides a altas dosis*+CyA o tacrolimus+CFM si no responde |
| NINE (predominio fibrosis) | Corticoides a altas dosis*+pulsos de CFM+CyA si no responde |
ATS: American Thoracic Society; AZA: azatioprina; CFM: ciclofosfamida; CyA: ciclosporina A; DAD: daño alveolar difuso; NINE: neumonía intersticial no específica; NIU: neumonía intersticial usual; NOC: neumonía organizada criptogenética; TACAR: tomografía computarizada de alta resolución.
La experiencia de los casos de dermatomiositis que cursan con NE es escasa, se han descrito 42 casos1,2,9,12 tratados con esteroides a dosis altas, solos (22 pacientes con una mortalidad >50%) o en combinación con diversas pautas inmunosupresoras, con las que la evolución parece ser claramente mejor.
ConclusionesLa aparición de NE en un paciente portador de una colagenopatía debe alertar siempre la posibilidad de dermatomiositis con afección parenquimatosa pulmonar grave. A pesar del escaso número de casos descritos, y que en otros estudios la evolución es favorable4, dado el mal pronóstico de los pacientes con dermatomiositis, neumopatía intersticial y neumomediastino9,10, se recomienda un control de la actividad de la enfermedad con tratamiento inmunosupresor intenso y precoz, en este caso CFM intravenoso y CyA vía oral, tras descartar causas infecciosas, y reducción progresiva de los corticoides. El tratamiento en este caso ha sido eficaz, con resolución del neumomediastino en 3 meses y mejora clínica a los 5 meses, lo que corrobora los resultados de otros estudios10,11.






