Sr. Director: La artritis reumatoide (AR) es una enfermedad inflamatoria crónica articular que afecta preferentemente a las manos de forma simétrica, aunque también afecta a otros órganos, como el pulmón. Por ello nos parece de mención el caso de un paciente con afección pulmonar como complicación de su AR. Se trata de un varón de 67 años, alérgico al metamizol y el ácido acetilsalicílico, con AR seropositiva y nodular de 30 años de evolución, tratado con indometacina y glucocorticoides en los períodos de brote inflamatorio, sin haber recibido tratamiento inductor de remisión. Exfumador de 10 paquetes-año.
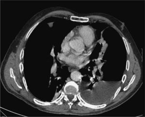
Como antecedente personal presentó hidroneumotórax izquierdo en el año 2002 secundario a posible rotura de ampolla, que requirió drenaje torácico. En la tomografía computarizada (TC) torácica se objetivaron unos nódulos de predominio subpleural bilateral (interpretados como ampollas) y derrame pleural, cuyo estudio microbiológico y citológico fue negativo. Ingresó en agosto de 2006 por presentar intenso dolor torácico derecho y disnea. La radiografía de tórax mostró un neumotórax derecho prácticamente completo e hidroneumotórax parcial izquierdo, por lo que se pensó en una nueva rotura de ampolla como había ocurrido en el año 2002. Se decidió colocar un tubo de drenaje torácico en el neumotórax derecho, con buena reexpansión pulmonar, aunque a las 48 horas presentó recidiva del neumotórax. Se descartó obstrucción mecánica del drenaje, y se confirmó la rotura de un nuevo nódulo cavitado que precisó nuevo drenaje. El líquido pleural era un exudado, según los criterios de Light, con cociente de proteínas pleurales/proteínas séricas mayor de 0,5, un cociente de LDH pleural/LDH sérica mayor de 0,6, con LDH de 2.014 U/l, ADA de 54,3 unidades y cultivo para micobacterias negativo. Sin embargo, en dicho líquido creció Aspergillus fumigatus, por lo que se inició de inmediato tratamiento antifúngico. En la analítica presentaba elevación del factor reumatoide con los demás parámetros normales. Se produjo un empeoramiento clínico del paciente, que presentó intenso dolor torácico bilateral, disnea e insuficiencia respiratoria, con saturación de O2 del 79%. Se realizó una nueva TC torácica, que mostró un hidroneumotórax izquierdo que había evolucionado respecto a la imagen radiológica, con atelectasia casi completa del pulmón subyacente y neumotórax derecho, reducido a una fina lámina, con imagen de enfisema subcutáneo asociado (fig. 1). Se apreciaron nódulos pulmonares parenquimatosos, la mayoría subpleurales y menores de 1cm de diámetro, además de adenopatías de carácter inespecífico, de centro graso y aspecto benigno en huecos axilares, cadenas paratraqueales y subcarinales. Por falta de mejoría clínica, tras una semana de tratamiento con soporte respiratorio, tubo de drenaje y tratamiento antifúngico, fue trasladado a cirugía torácica para tratamiento quirúrgico inmediato. En las muestras obtenidas se cultivó A. fumigatus y la biopsia de los nódulos descritos en la TC correspondieron histológicamente a nódulos reumatoideos, descartándose la presencia de ampollas.
En conclusión, el neumotórax bilateral recidivante puede ser una complicación en el paciente con AR y nódulos pulmonares subpleurales. Tal y como describieron Adelman et al1, una comunicación o fístula pleuropulmonar debida a la necrosis del nódulo origina una cavidad susceptible de sufrir sobreinfección por A. fumigatus.




