La osteoartropatía hipertrófica es una entidad caracterizada por la tríada de periostitis de huesos largos, acropaquias y artritis. Radiológicamente se distinguen 2 patrones; uno caracterizado por neoformación ósea que predomina en pacientes con patología pulmonar, y otro por acro-osteolisis que se asocia más frecuentemente con cardiopatías congénitas. Presentamos el caso de un varón de 30 años diagnosticado de hipertensión arterial pulmonar primaria desde los 2 años, que desarrolló una osteoartropatía hipertrófica con un patrón radiológico mixto.
Hypertrophic osteoarthropathy is an entity characterized by a triad of periostitis of long bones, clubbing and arthritis. Radiologically there are two patterns, one characterized by new bone formation which predominates in patients with pulmonary disease, and another by acro-osteolysis that is most frequently associated with congenital heart disease. We report the case of a 30-year-old man diagnosed with primary pulmonary hypertension for two years, developing hypertrophic osteoarthropathy with a mixed radiological pattern.
La osteoartropatía hipertrófica (OAH) es una entidad caracterizada por periostitis crónica proliferativa de huesos largos, acropaquias y artritis1,2. Según su etiología puede dividirse en OAH primaria, que ocurre sin una causa subyacente aparente, tiene agregación familiar y curso crónico; y la secundaria, que se asocia a enfermedades pulmonares, cardiacas, hepáticas o intestinales, con tendencia a ser bilateral, simétrica y rápidamente progresiva. Radiológicamente se distinguen 2 patrones de OAH, uno caracterizado por hipertrofia o neoformación ósea que predomina en los pacientes con patología pulmonar (OAH néumica) y de inicio tras la pubertad; y otro por acro-osteolisis, que se asocia con mayor frecuencia a cardiopatías congénitas cianóticas y de inicio en la infancia. Dentro de este último patrón se han observado 2 variantes, una en la que la reabsorción de las falanges distales hace que adopten una forma piramidal, y otra en la que su extensa destrucción conduce a la formación de superficies planas1,3. Presentamos el caso de un paciente con hipertensión arterial pulmonar primaria que desarrolló OAH con un patrón radiológico mixto.
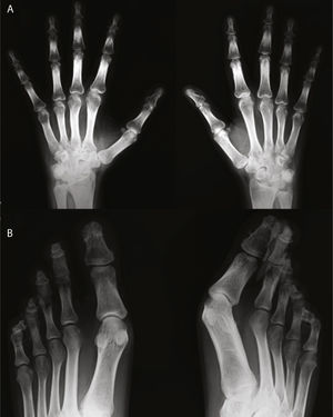
Presentación clínicaVarón de 30 años de edad, diagnosticado de hipertensión arterial pulmonar primaria sin cortocircuito asociado a los 2 años de edad, en seguimiento por Cardiología Pediátrica desde entonces. No tenía otros antecedentes médicos personales ni familiares de interés, incluyendo enfermedades reumáticas y psoriasis. A los 29 años comenzó a presentar episodios de poliartritis simétrica y aditiva que afectaban rodillas, tobillos, hombros, carpos y metacarpofalángicas, con importante limitación funcional. En la exploración física destacaba además la presencia de cianosis generalizada y acropaquias, sin lesiones cutáneas ni ungueales sugestivas de psoriasis. En la analítica se evidenció reactantes de fase aguda normales, factor reumatoide negativo y anticuerpos anti-CCP positivos a título bajo en una determinación aislada. El estudio radiográfico mostró acro-osteolisis en falanges distales de manos y pies, más severa en esta última localización, en la que algunas falanges adoptaban una morfología piramidal o con el extremo aplanado, y en ambas localizaciones existía importante neoformación ósea, más marcada en manos (figs. 1 y 2). En ambos carpos se observaba además pinzamiento radiocarpiano y de articulaciones intercarpianas, mayor en el izquierdo, sin erosiones. En huesos largos (tibias, peronés y radios) se evidenciaban corticales de aspecto algodonoso y despegamiento perióstico compatibles con periostitis. La gammagrafía ósea mostraba moderada hipercaptación en falanges distales de ambas manos, así como carpo y radio derechos y zona teórica de semilunar izquierdo.
Radiografía de manos (A) en la que se observa reacción perióstica en radio. Ensanchamiento distal con cambios hipertróficos en los penachos y áreas de osteolisis en los mismos, de las que es un buen ejemplo el cuarto dedo de la mano derecha. Desmineralización yuxtaarticular. Radiografía de pies (B) en la que se observan marcados cambios destructivos en falanges distales, algunas con morfología aplanada y penachos distales hipertróficos con proliferación ósea. Marcada deformidad de los dedos en palillo de tambor.
El paciente fue diagnosticado de OAH néumica y se inició tratamiento con dosis bajas de corticoides (deflazacort 6mg/día), zoledronato (dosis única de 5mg) y suplementos de calcio y vitamina D. Respondió rápidamente al tratamiento, con remisión de artritis por lo cual se suspendieron los corticoides en pocos meses; presentó solo un brote posterior aislado que obligó a reintroducirlo durante 2 semanas, sin que haya presentado después nuevos brotes.
DiscusiónEl presente caso corresponde a un paciente con patología pulmonar de base de inicio pediátrico, que desarrolló de forma tardía poliartritis que condujo al diagnóstico de OAH néumica. Sin embargo, los cambios de acro-osteolisis, neoformación ósea y periostitis probablemente hayan tenido una evolución más larga, pero debido a que estas manifestaciones suelen tener un curso más insidioso y los pacientes suelen encontrarse oligo o asintomáticos, se detectan por lo general de forma incidental cuando se realiza algún estudio radiológico.
En estudios previos se ha descrito que la afección de pies es más frecuente y de mayor severidad que la de las manos1,4, al igual que lo ocurrido con nuestro paciente. También es un hallazgo radiológico característico la aparición de reacción perióstica sólida y continua en las diáfisis de huesos largos3, como en las tibias y en el radio de este paciente.
Llama la atención encontrar un patrón mixto combinando acro-osteolisis y neoformación ósea en un mismo paciente, sin embargo hay estudios que sugieren que estos patrones no son excluyentes y que constituyen un continuo en el cual en etapas iniciales predominan los cambios proliferativos y en las tardías, los osteolíticos1. Otro dato característico es que generalmente las áreas de hipertrofia/osteolisis se corresponden con zonas de mayor captación en la gammagrafía ósea5, como se puede observar en este caso.
El paciente presentó positividad para anticuerpos anti-CCP a título bajo en una determinación aislada, sin que cumpliera otros criterios de artritis reumatoide, ni haya desarrollado alteraciones radiológicas compatibles, o requerido uso de metotrexate u otro fármaco modificador de la enfermedad. No hemos encontrado en la literatura revisada ninguna relación entre la OAH y la positivita para los anti-CCP, por lo que consideramos que en este caso corresponde solo a un falso positivo. Tampoco presentó lesiones cutáneas, ni afectación axial o entesítica que sugiriesen artritis psoriásica; sin embargo, por tratarse de un cuadro poliartritis de rápida evolución con cambios osteolíticos y proliferativos distales, debe considerarse la artritis psoriásica dentro del diagnóstico diferencial.
El mecanismo por el cual se producen las lesiones óseas de la OAH es desconocido. Desde el punto de vista histopatológico se caracteriza por depósito excesivo de colágeno, hiperplasia endotelial, edema y proliferación de osteoblastos en los extremos distales de huesos largos, lo que conduce a neoformación ósea subperióstica6. Dentro de los factores implicados en la producción de estos cambios se ha propuesto al factor de crecimiento vascular endotelial (VEGF)7, la hiperestimulación vagal refleja8, la interleuquina-119, factores de crecimiento paraneoplásicos10, alteraciones hormonales11, complejos inmunes circulantes12, anticuerpos antifosfolípido13, alteraciones de la función plaquetaria14 y la activación endotelial2.
El tratamiento de la OAH secundaria corresponde al de la condición subyacente (por ejemplo, corrección de la cardiopatía, tratamiento del cáncer o de la infección, etc.). El manejo sintomático de la OAH incluye los antiinflamatorios no esteroideos y corticoides para el control del dolor articular6, y los bifosfonatos como el pamidronato15 y el zoledronato16 que controlan el dolor producido por la periostitis, habiéndose descrito que además de su actividad antiosteoclástica también inhiben la expresión del VEGF17. Otro fármaco usado es el octeotride, que también ha demostrado tener actividad sobre el VEGF18.
Responsabilidades éticasProtección de personas y animales. Los autores declaran que para esta investigación no se han realizado experimentos en seres humanos ni en animales.
Confidencialidad de los datos. Los autores declaran que han seguido los protocolos de su centro de trabajo sobre la publicación de datos de pacientes y que todos los pacientes incluidos en el estudio han recibido información suficiente y han dado su consentimiento informado por escrito para participar en dicho estudio.
Derecho a la privacidad y consentimiento informado. Los autores han obtenido el consentimiento informado de los pacientes y/o sujetos referidos en el artículo. Este documento obra en poder del autor de correspondencia.
Conflicto de interesesLos autores declaran no tener ningún conflicto de intereses.





