La enfermedad de Behçet (EB) es una enfermedad autoinmune rara, con rasgos distintivos como son las úlceras aftosas recurrentes a nivel oral, y en la mayoría de pacientes las úlceras genitales. Los síntomas, también pueden incluir manifestaciones oftalmológicas, neurológicas, dermatológicas, vasculares, musculoesqueléticas, intestinales y pulmonares1. La afectación a nivel de la laringe es poco habitual. Presentamos el caso de un paciente con EB y afectación de la cuerda vocal.
Varón de 58 años, exfumador desde hace 3 años, y sin otro antecedente de interés, que ingresa en el servicio de medicina interna por úlceras orales y genitales recurrentes, de 2 meses de evolución, asociado a fiebre y malestar general. Además, presentaba disfonía de 2 semanas de evolución. Sin otra sintomatología asociada.
En el examen clínico destacaba la disfonía y la presencia de las úlceras orales y escrotales dolorosas. Además, con lesiones acneiformes en la espalda y lesiones compatibles con eritema nudoso en miembros inferiores. Resto del examen clínico sin alteraciones.
En la analítica resaltaban leucocitosis, neutrofilia y elevación de reactantes: leucocitos 14.000/mm3 (neutrófilos 78%) y PCR 150mg/l.
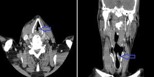
En la TAC craneal no se encontraron datos de afectación vascular cerebral isquémica o hemorrágica. En la TAC cervicotorácica (fig. 1) y abdominal se evidencia parálisis de cuerda vocal izquierda y aneurisma de aorta abdominal a nivel infrarrenal de 47×48mm, sin otros hallazgos.
En la valoración otorrinolaringológica se confirma la parálisis de la cuerda vocal izquierda. No se objetivó alteración oftalmológica. Las pruebas de autoinmunidad en el que se incluyó anticuerpos antinucleares, anticuerpos anticitoplasma del neutrófilo, anticuerpos antifosfolípido, factor reumatoide y anticuerpos antipéptidos citrulinados resultaron negativas, las serologías descartaron enfermedades infecciosas bacterianas como sífilis, enfermedad de Lyme y clamidiosis, además, la PCR de virus herpes 1, 2 y citomegalovirus resultó negativa. Los hemocultivos resultaron negativos.
Se realizó el test de patergia a nivel del brazo derecho, el cual fue positivo, y biopsia de piel por punch a nivel de las lesiones acneiformes en la espalda, que evidenció datos de seudofoliculitis, sin otros hallazgos. Ante la sospecha clínica de EB, se inició tratamiento con glucocorticoides por vía oral a 20mg por día. Una vez iniciado los corticoides, se objetiva mejoría de las lesiones ulcerosas y de piel, sin embargo, no hubo mejoría de la disfonía. La presencia del aneurisma en la TAC, posteriormente requirió tratamiento quirúrgico con evolución favorable
La EB es una vasculitis sistémica inmunomediada, caracterizada por la presencia de úlceras orogenitales recurrentes, inflamación ocular y lesiones cutáneas. La etiología y patogénesis de la EB es desconocida, aunque se ha demostrado que la presencia del HLA-B51 constituye un importante factor predisponente genético, sobre todo entre los pacientes procedentes del medio y lejano oriente1.
Al tratarse de una vasculitis multisistémica, casi cualquier parte del organismo puede verse afectada. Las úlceras orales, recurrentes y dolorosas, están presentes en un 90-100% de los pacientes con EB. Otras manifestaciones clínicas frecuentes son las úlceras genitales (60-80%), lesiones oculares (67-95%), lesiones cutáneas (41-94%), artritis (47-69%) y afectación neurológica (8-31%)2. El paciente, en mención, presentaba afectación dérmica prácticamente diagnóstica de EB.
A diferencia de la afectación del sistema nervioso central, que es frecuente en la EB, las manifestaciones del sistema nervioso periférico son raras. Se han publicado casos aislados de síndrome de Guillain-Barré, mononeuritis multiplex, neuropatía sensitivo-motora, neuropatías autonómicas y anormalidades subclínicas de la conducción nerviosa3, sin embargo la afectación de cuerda vocal es excepcional, y solo se han descritos 2 casos en la bibliografía médica4,5.
La explicación más probable a esta afectación podría deberse a la presencia de vasculitis a nivel del nervio laríngeo recurrente5. En el caso del paciente no se encontró otra enfermedad que explicase la disfonía.
En conclusión, se debería tener en cuenta a la EB dentro del diagnóstico diferencial de la disfonía súbita ante la ausencia de otros diagnósticos más frecuentes, sobre todo en áreas donde la enfermedad es frecuente.
 
										
				



 
 
		
