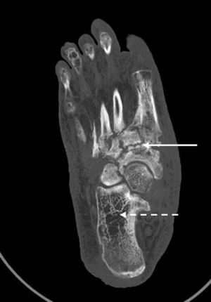
La osteoneuropatía de Charcot es una entidad potencialmente destructiva que ocurre asociada a las afecciones que causan pérdida de sensibilidad en los pies, siendo la neuropatía periférica secundaria a la diabetes mellitus la causa más común, con una incidencia entre el 0,1 y el 5%1,2. No obstante, otras condiciones patológicas podrían causar el pie de Charcot, como es la neurosífilis, la esclerosis múltiple, la poliomielitis, la deficiencia de ácido fólico y vitamina B12, la infección por VIH y el abuso crónico de alcohol entre otras1,2. Los datos publicados de prevalencia e incidencia de la enfermedad indican que a menudo no se diagnostica entre los dependientes del alcohol, con cifras que van del 0,4 al 13%, datos similares a los pacientes diabéticos1,2. La deformidad del «pie en mecedora» es su manifestación tardía y más grave1,2. Presentamos el caso de un paciente varón en su quinta década de vida, no diabético y consumidor crónico de 350g de alcohol/semana. Ha ingresado en nuestro centro por úlceras de ambas piernas. A la anamnesis ha explicado cuadro de 12 meses de evolución de aparición de edemas, úlceras y sensación ardiente de piernas, así como hinchazón progresivo del pie derecho, sin traumatismo previo. La exploración ha evidenciado úlceras supurativas y pie derecho deformado plano convexo con eritema y ulceración plantar (rocker-bottom foot o pie en mecedora). Se ha realizado tomografía computarizada (fig. 1), que ha demostrado afectación difusa con desestructuración y remodelación ósea del mesopié tarso-metatarsiana y escafo-cuneiformes (flecha blanca recta), y áreas radiolúcidas compatibles con osteopenia por desuso (flecha blanca punteada). Se ha realizado electromiografía, que ha demostrado neuropatía periférica sensorial. Ante los hallazgos clínico-epidemiológicos, radiológicos y neurológicas se ha diagnosticado de osteoneuropatía de Charcot. El síndrome de dependencia del alcohol es una enfermedad social crónica, siendo la polineuropatía periférica su complicación neurológica más frecuente, y está relacionada con deficiencias nutricionales (malabsorción de tiamina —vitamina B1—) y la neurotoxicidad directa del etanol como presumibles factores de riesgo para desarrollar el pie de Charcot. Los factores desencadenantes y la patogénesis del pie de Charcot no están claros, pero probablemente se asocia con factores mecánicos y vasculares secundarios a la neuropatía periférica sensorial y autonómica. En la fase aguda es esencial el diagnóstico diferencial con celulitis, osteomielitis o trombosis venosa profunda. El pronóstico depende de la detección precoz, y la respuesta al tratamiento depende del estadio en el momento del diagnóstico. El tratamiento inicial —como es el caso que presentamos—, además del antibiótico ajustado —en caso de infección asociada— y las curas de enfermería, consiste en la inmovilización y descarga del pie mediante yeso completo, para minimizar el edema y detener la progresión de la enfermedad. En una segunda fase, se utilizan los calzados hechos a medida3,4. Si fracasa, en los pies con deformidad severa, se puede practicar una cirugía —para lograr un pie plantígrado y evitar que las exostosis provoquen presión en la piel y por lo tanto úlceras, una cirugía de tendones para restaurar el equilibrio muscular o la reconstrucción electiva para dejar un pie funcional y prevenir la amputación—3,4, que, en nuestro caso, ha sido rechazada por el propio paciente.
Los autores declaran no tener ningún conflicto de intereses.




