Presentar un caso de prostatitis con retención aguda de orina como manifestación inicial poco frecuente de granulomatosis de Wegener.
MétodosSe presenta el caso de un varón de 48 años con un cuadro de prostatitis de 10 días de evolución, que presentó retención de orina, con respuesta parcial al tratamiento antibiótico, y con niveles elevados de anticuerpos citoplasmáticos contra los neutrófilos con patrón citoplasmático y estudio anátomo-patológico de la biopsia prostática compatible con granulomatosis de Wegener.
ResultadosTras el inicio de tratamiento mediante glucocorticoides y ciclofosfamida se observa mejoría notable de los síntomas hasta su desaparición. A los 3 meses inicia clínica pulmonar y de vías aéreas superiores, precisando para el control de sus síntomas dosis mayores de ciclofosfamida.
ConclusionesLa granulomatosis de Wegener es una entidad multisistémica cuya forma de presentación como prostatitis con retención de orina es poco frecuente.
We present a case of prostatitis with acute urinary retention as a rare initial manifestation of Wegener’ Granulomatosis.
MethodsThe case was a 48-year-old male with symptoms of prostatitis over ten days. The patient presented urinary retention, with partial response to antibiotic treatment. High levels of cytoplasmic antineutrophil cytoplasmic antibody and a prostatic biopsy were compatible with Wegener’ Granulomatosis.
ResultsAfter starting treatment with glucocorticoids and cyclophosphamide, a significant improvement to the point of disappearance of symptoms was observed. At 3 months pulmonary and upper airway symptoms began, requiring higher doses of cyclophosphamide to control symptoms.
ConclusionsWegener's Granulomatosis is a multisystem entity whose presentation as prostatitis with urinary retention is rare.
La granulomatosis con poliangeítis (GPA)1, previamente conocida como granulomatosis de Wegener, es una entidad clínico-patológica descrita por F. Wegener en 1936, que se caracteriza por lesiones granulomatosas en múltiples órganos y un grado variable de vasculitis diseminada de arterias y venas de mediano y pequeño calibre2. La etiopatogenia de la enfermedad permanece desconocida, aunque se cree que se desarrolla una respuesta de hipersensibilidad anómala frente a un antígeno exógeno o endógeno, que probablemente se encuentra en las vías respiratorias superiores, sintetizándose anticuerpos frente a la proteinasa 3 presente en los polimorfonucleares. Estos anticuerpos se asocian a un patrón de tinción citoplasmática granular en estas células mediante inmunofluorescencia indirecta o anticuerpos citoplasmáticos contra los neutrófilos con patrón citoplasmático (c-ANCA), pudiendo contribuir en la patogenia de la enfermedad3. Afecta a hombres y mujeres en una proporción 1:1 y su mayor incidencia se produce en la quinta década de la vida, con una prevalencia estimada de 20 casos por millón al año.
La vía aérea superior (92%) y el pulmón (85%), con lesiones de vasculitis granulomatosa necrosante, y el riñón (77%), en forma de glomerulonefritis, son los órganos diana más habitualmente afectados en este proceso4. Las manifestaciones urológicas extrarrenales son cuadros de muy baja frecuencia de presentación y casi siempre se desarrollan en el seno de una enfermedad multisistémica avanzada. Presentamos un caso de prostatitis como primera manifestación de una granulomatosis de Wegener.
Caso clínicoPaciente varón de 48 años de edad, que ingresa por un cuadro de fiebre, síndrome miccional, dolor suprapúbico y retención aguda de orina. Refiere inicio de los síntomas 10 días antes, sin presentar otra sintomatología acompañante. Entre sus antecedentes personales no había nada reseñable, salvo exfumador de 15 cigarrillos/día. En la exploración física se observaba fiebre de 39°C, globo vesical (evacuándose tras cistostomía suprapúbica 750ml), con puño percusión renal indolora, y genitales externos normales. El tacto rectal era muy doloroso, presentando una próstata grado ii/iv, congestiva, sin áreas fluctuantes sospechosas de abscesificación.
En las pruebas complementarias iniciales destacaba leucocitosis (14,4×103 /μl, 70,2% neutrófilos), con resto de parámetros del hemograma normales, un sedimento de orina con leucocituria (410-420 leucocitos/campo), microhematuria (20-25 hematíes/campo) y bacteriuria intensa. El resto de las pruebas de laboratorio eran normales.
Con el diagnóstico de presunción de prostatitis aguda bacteriana, se inició tratamiento con ceftriaxona 2 g/24 h por vía intravenosa (iv), antiinflamatorios iv y alfabloqueantes por vía oral (vo). La evolución fue tórpida, cediendo parcialmente la fiebre y el dolor suprapúbico, pero posteriormente desarrolló así mismo cuadro de astenia, anorexia, artromialgias y pérdida de peso de 10kg en una semana. Ante dicha evolución, con resultado negativo de los cultivos de sangre y orina, se inició meropenem 1 g/8 h iv y se realizaron nuevas pruebas complementarias: hemograma con leucocitos 17.000 (N 93%), hemoglobina 12g/dl, hematocrito 36%, volumen corpuscular medio 87 fL, VSG: 36mm/h. Bioquímica: transaminasa glutámico pirúvica: 81 U/l, ammaglutamil transpeptidasa: 159 U/l. Factor reumatoide: negativo. Proteína C reactiva: 69. Aglutinaciones a Salmonella y Brucella: negativas. C3, C4, AAT, cobre y ceruloplasmina: normales.. Anticuerpos antinucleares, anticuerpos antimitocondriales, anticuerpos contra antígenos nucleares extraíbles y anti-LKM1: negativos. Anticuerpos anticitoplasma de neutrófilos (ANCA): positivo a título 1/160 (16 U/ml) por inmunofluorescencia indirecta, patrón citoplasmático. Proteinograma: normal. Gonadotropina coriónica humana beta y α-fetoproteína: normales. Antígeno prostático específico: 1,7 ng/ml. Serología lúes, virus de la inmunodeficiencia humana, virus B y C de la hepatitis: negativa. Cultivo Löwenstein-Jensen en orina: negativo.
La radiografía de tórax y la TAC torácica fueron normales. Mediante ecografía y TAC abdominales, se visualizó una próstata de 56 cc de volumen, sin datos de abscesificación. La cistoscopia flexible confirmó el aumento de tamaño de la próstata.
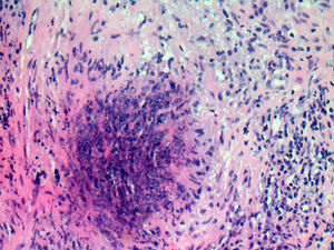
Se solicitó evaluación al Servicio de Reumatología de nuestro centro y, ante la sospecha de GPA, se realizó una biopsia de próstata, cuyo diagnóstico anatomopatológico fue el de vasculitis granulomatosa epitelioide necrosante (fig. 1) tipo Wegener. Se estableció tratamiento con metilprednisolona 40mg/8 h iv y ciclofosfamida 100mg/24 h vo, aumentando a 150mg/24 h 5 días después, desapareciendo los síntomas y reduciéndose el volumen prostático a 34 cc. Se retiró la cistostomía suprapúbica al recuperar la micción espontánea, con un residuo posmiccional menor de 50 cc. Analíticamente, los c-ANCA se negativizaron.
Fue dado de alta con prednisona 60mg/día vo y ciclofosfamida 150mg/día vo. Presentó recidiva sistémica 4 meses más tarde, coincidiendo con descenso del tratamiento corticoideo.
A los 12 meses del inicio del proceso, estando en remisión, se pudo sustituir la ciclofosfamida por azatioprina por mejor perfil tóxico y 6 meses después, esta por metotrexato, hasta alcanzar la dosis objetivo de 20mg/semana, y reduciéndose paulatinamente la prednisona hasta 12,5mg/día, estando el paciente asintomático. Se realizó el cambió de azatioprina a metotrexato por mejor perfil posológico, demandado por el paciente, para asegurar el cumplimiento terapéutico.
ComentariosLas manifestaciones urológicas extrarrenales de la GPA son infrecuentes, especialmente de forma aislada, y en la mayoría de los casos se asocian a una lesión renal concomitante, o pueden preceder al cuadro clínico de la enfermedad, dificultando el diagnóstico. La próstata es el órgano genitourinario más frecuentemente comprometido (2-7,4%) después del riñón, pero la presentación con síntomas miccionales es rara5. También se han descrito casos esporádicos de afectación de testículo, vejiga, vesículas seminales, uretra, pene, uréter y glándula suprarrenal6 (tabla 1).
Revisión de la literatura (PubMed) de manifestaciones urogenitales y granulomatosis de Wegener (Wegener AND Prostatitis AND Urogenital manifestations)
| Ref. n.° | 1.er autor. Año | n.° pacientes de la serie | Manifestación inicial urogenital y GPA (n.° pacientes) | Manifestación urogenital en el transcurso de la GPA (n.° pacientes) | Recurrencia urogenital en la GPA (n.° pacientes) | Clínica urogenital (n.° pacientes) |
| Este trabajo | Pereira J. 2013 | 1 | 1 | Prostatitis (1) | ||
| 12 | Dufour JF. 2012 | 11 | 2 | 9 | 6 | Prostatitis (4)Orquitis (4)Epididimitis (1)Seudotumor renal (1)Estenosis uretra (1)Úlcera peneana (1) |
| 11 | Charlier C. 2009 | 113 | 4 | Prostatitis (4) | ||
| 13 | Awadh B. 2006 | 1 | 1 | Prostatitis (1) | ||
| 14 | Helmann F. 2006 | 1 | 1 | Prostatitis (1) | ||
| 15 | See CQ. 2005 | 1 | 1 | Prostatitis (1) | ||
| 16 | Brunner A. 2004 | 1 | 1 | Prostatitis (1) | ||
| 17 | Minee RC. 2009 | 1 | 1 | Orquitis (1) |
El diagnóstico de la GPA se realiza mediante una combinación de datos clínicos e histológicos. La afectación inicial y característica de las vías respiratorias superiores e inferiores y el desarrollo posterior de una glomerulonefritis de severidad variable orientan hacia su diagnóstico. No obstante, la realización de una biopsia del órgano afectado, y la visualización de lesiones de vasculitis granulomatosa necrosante, es imprescindible para confirmar el diagnóstico.
Se identifican títulos elevados de c-ANCA en el 88% de los pacientes con enfermedad activa. El hallazgo de niveles elevados de c-ANCA muestra una sensibilidad del 41-96% dependiendo del grado de actividad, y una especificidad del 99%, en el diagnóstico de GPA2,7.
Los ANCA son un grupo de autoanticuerpos, principalmente de tipo IgG, dirigidos contra antígenos que se encuentran presentes en el citoplasma de los granulocitos neutrófilos y contra el citoplasma de monocitos; se encuentran particularmente asociados a la vasculitis sistémica. Los pANCA o patrón de fluorescencia perinuclear son autoanticuerpos dirigidos contra la mieloperoxidasa citoplasmática (anti-MPO). Los c-ANCA o patrón de fluorescencia citoplasmático son autoanticuerpos específicos contra la proteinasa de serina-3 (anti-PR3).
Los niveles plasmáticos de c-ANCA pueden utilizarse como marcadores inmunológicos (no bioquímicos) de la enfermedad, aunque no siempre tienen un curso paralelo a la actividad8. Pueden utilizarse para: monitorización de la respuesta al tratamiento inmunosupresor, diagnóstico de las recidivas, determinación de progresión de la enfermedad e identificación de los pacientes que han alcanzado una remisión completa, ya que en estos se produce una negativización de los títulos de anticuerpos, aunque un 43% de los pacientes que presentan una remisión clínica completa muestran algún grado de positividad de c-ANCA8.
Es común encontrar alteraciones en otras pruebas de laboratorio: elevación de la VSG, hipergammaglobulinemia y elevación del factor reumatoide, así como alteraciones analíticas características, que reflejan la disfunción de los órganos afectados por la enfermedad.
En el paciente de nuestro caso, la positividad de c-ANCA fue un dato valioso de cara al diagnóstico, debido al carácter limitado de la enfermedad, con ausencia de las manifestaciones clínicas características que presentan la mayoría de los pacientes con GPA. La ecografía no fue útil para el diagnóstico, ya que solo permitió visualizar la existencia de una próstata aumentada de tamaño, que por sus características ecográficas era indiferenciable de un proceso infeccioso a dicho nivel, aunque sí para su monitorización9 (fig. 2).
El diagnóstico diferencial se establece con procesos infecciosos como tuberculosis, infección por micobacterias atípicas, brucelosis, micosis, sífilis e infecciones por parásitos, que dan lugar a lesiones granulomatosas necrosantes, similares a la granulomatosis de Wegener. En nuestro paciente, no se identificó ningún agente infeccioso en los cultivos. Estos datos, junto con los títulos elevados de c-ANCA, nos permitieron diagnosticar granulomatosis de Wegener.
La terapia de la GPA tiene 2 componentes: la inducción de la remisión con el tratamiento inmunosupresor inicial y la terapia inmunosupresora de mantenimiento durante un período variable para prevenir recaídas. La inducción de la remisión suele realizarse mediante la combinación de glucocorticoides y ciclofosfamida. Los glucocorticoides suelen administrarse durante 6 meses; el tratamiento con ciclofosfamida es más largo, hasta un año tras la remisión completa. Otros agentes empleados son la azatioprina, la trimetoprima-sulfametoxazol y el metotrexato10. La trimetoprima puede ser útil y beneficioso en la GPA localizada, en especial durante las fases de inducción a la remisión y de mantenimiento, y en infecciones por Staphylococcus aureus o Pneumocystis jirovenci, en secreciones de las vías respiratorias superiores. La quimioprofilaxis con cotrimoxazol se emplea para evitar infecciones sistémicas secundarias al uso de inmunosupresores11.
Los regímenes terapéuticos actuales permiten obtener unas tasas de remisión superiores al 90% en las series más numerosas, aunque un 25-30% de estos pacientes experimentan alguna recidiva en el seguimiento a largo plazo.
Nuestro paciente fue tratado mediante la asociación de glucocorticoides y ciclofosfamida, con rápida resolución de la sintomatología urológica, y remisión completa a los 3 meses del inicio del tratamiento, demostrada por la desaparición de los síntomas y la negativización de los c-ANCA, presentando recidiva precoz extraurológica por el descenso del tratamiento corticoideo. El tratamiento quirúrgico, como la resección transuretral de próstata, está reservado a pacientes con clínica persistente a pesar del tratamiento médico, si bien se ha descrito casos en donde se realizó nefrectomía o prostatectomía radical por sospecha de carcinoma. En nuestro caso, el paciente precisó cistostomía suprapúbica por retención aguda de orina12.
ConclusionesLa prostatitis como forma inicial de presentación de la GPA es una entidad rara. Debemos sospecharla en aquellas prostatitis con mala evolución pese a un tratamiento empírico adecuado, cultivos negativos y afectación del estado general. Los títulos positivos para c-ANCA orientan el diagnóstico y monitorizan el tratamiento y la evolución. Los fármacos inmunosupresores como los glucocorticoides y la ciclofosfamida son el tratamiento de elección para formas de presentación moderadas.
Responsabilidades éticasProtección de personas y animalesLos autores declaran que los procedimientos seguidos se conformaron a las normas éticas del comité de experimentación humana responsable y de acuerdo con la Asociación Médica Mundial y la Declaración de Helsinki.
Confidencialidad de los datosLos autores declaran que han seguido los protocolos de su centro de trabajo sobre la publicación de datos de pacientes.
Derecho a la privacidad y consentimiento informadoLos autores han obtenido el consentimiento informado de los pacientes y/o sujetos referidos en el artículo. Este documento obra en poder del autor de correspondencia.
Conflicto de interesesLos autores declaran no tener ningún conflicto de intereses.






