La sarcoidosis es una enfermedad granulomatosa multisistémica de etiología incierta. Varios fármacos se han relacionado con el desarrollo de sarcoidosis o reacciones sistémicas granulomatosas indistinguibles de dicha enfermedad. Presentamos el caso clínico de una paciente diagnosticada de cáncer de mama y en tratamiento con capecitabina que tras comenzar con clínica sistémica y musculoesquelética es diagnosticada, finalmente, de sarcoidosis inducida por capecitabina.
Sarcoidosis is a multisystemic granulomatous disease of uncertain etiology. Several drugs have been linked to the development of sarcoidosis or systemic granulomatous reactions indistinguishable from this disease. We present the clinical case of a patient diagnosed with breast cancer and undergoing treatment with capecitabine who, after developing systemic and musculoskeletal symptoms, was ultimately diagnosed with capecitabine-induced sarcoidosis.
La sarcoidosis es una enfermedad granulomatosa multisistémica de etiología incierta que afecta principalmente a los jóvenes adultos1. Los estudios actuales han demostrado que la sarcoidosis es causada por una combinación de susceptibilidad genética, anomalías inmunológicas adaptativas y factores ambientales2. Se han descrito múltiples factores asociados al desarrollo de la enfermedad como diversos agentes infecciosos, exposición a diferentes productos ambientales y algunos fármacos3.
Observación clínicaMujer de 44 años con diagnóstico de carcinoma ductal de mama estadio IV en el año 2016, tratada inicialmente con quimioterapia, cirugía y radioterapia. En enero de 2021, se detecta recidiva ósea que es tratada con hormonoterapia y denosumab, objetivando buena respuesta radiológica al tratamiento. En febrero de 2023, se realiza un PET/TC de control en el que se visualiza una metástasis hepática, con buena respuesta inicialmente al tratamiento con quimioterapia y hormonoterapia. En noviembre de 2023, se detecta nueva progresión tumoral a nivel hepático, por lo que se inicia tratamiento con capecitabina.
En diciembre de 2023, tras el tercer ciclo de capecitabina, la paciente comienza con febrícula de hasta 37,7°C y poliartralgias, por lo que se decide ingreso para completar estudio etiológico. En la exploración, la paciente presenta edemas con fóvea en extremidades inferiores con signos inflamatorios en ambos tobillos y dolor a la movilización; además, presenta dolor a la movilización y palpación en rodillas y carpos sin signos artritis en dichas articulaciones. La auscultación cardiopulmonar es normal y la exploración abdominal anodina. En la analítica de sangre destaca una elevación de la proteína C reactiva (15,53mg/dl), una leucocitosis con neutrofilia y un valor de la enzima convertidora de la angiotensina (ECA) de 77U/l. El resto de las pruebas complementarias realizadas resultaron normales o negativas (tabla 1).
Resultados de las pruebas analíticas realizadas
| Datos del laboratorio | Resultado | Valor de referencia |
|---|---|---|
| PCR | 15,53mg/dl | ≤0,5 |
| VSG | 59mm/h | 0-20 |
| ECA | 77,2U/l | 13-63,9 |
| Leucocitos | 12.500mm3Neutrófilos 10.600mm3 | 3.900-10.2001.800-7.400 |
| Hemoglobina | 12,6g/dl | 12-16,5 |
| Hematocrito | 37% | 36-46 |
| Plaquetas | 234.000mm3 | 140.000-370.000 |
| FR | <10UI/ml | ≤14 |
| ACPA | <4,6U/ml | 0-20 |
| ANA | Negativo | |
| Sedimento de orina | Normal | |
| Urocultivo | Negativo | |
| Hemocultivos | Negativos | |
| PCR gripe A y B | Negativos | |
| PCR SARS-CoV-2 | Negativa | |
| Serologías | ||
| Sífilis | Negativa | |
| Citomegalovirus | Inmunizada, no datos de infección aguda | |
| Lyme | Negativa | |
ACPA: anticuerpos antipéptido cíclico citrulinado; ANA: anticuerpos antinucleares; ECA: enzima convertidora de angiotensina; FR: factor reumatoide; PCR: proteína C reactiva; VSG: velocidad de sedimentación globular.
Ante la sospecha de poliartritis simétrica como probable efecto secundario a capecitabina, se suspende el tratamiento con dicho fármaco y se inicia una pauta descendente de glucocorticoides con una evolución clínica favorable, por lo que se decide reiniciar el tratamiento con capecitabina.
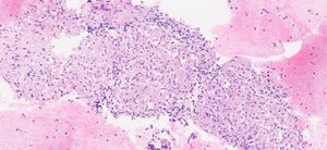
En febrero de 2024 se solicita un PET/TC para control de la enfermedad oncológica y se visualizan múltiples adenopatías hiliomediastínicas con patrón característico de enfermedad inflamatoria granulomatosa (fig. 1). Se realiza broncoscopia con biopsia de dichas adenopatías con hallazgo anatomopatológico de linfadenitis granulomatosa no necrosante (fig. 2), confirmando el diagnóstico de sarcoidosis.
La paciente se encuentra asintomática y sin repercusión clínica a nivel pulmonar, con pruebas funcionales respiratorias normales y manteniendo buena saturación de oxígeno. Por este motivo, se continúa con el tratamiento con capecitabina y se realiza seguimiento activo sin otras medidas terapéuticas adicionales. En la PET/TC de control realizada a los 2 meses se observa disminución global de la intensidad de captación de las adenopatías hiliomediastínicas.
Como única sintomatología en los meses posteriores, la paciente presenta toxicidad plantar. En septiembre de 2024 se detecta elevación de los marcadores tumorales y se confirma progresión tumoral en la PET/TC realizada en octubre de 2024, por lo que se suspende capecitabina. En esta misma prueba, se objetiva total resolución de las adenopatías hiliomediastínicas descritas previamente.
DiscusiónLa sarcoidosis en una enfermedad multisistémica compleja con fenotipos variables y una gran heterogeneidad clínica. Las manifestaciones pulmonares son las más frecuentes, pero pueden existir afectación a otros niveles. Las manifestaciones musculoesqueléticas aparecen hasta en un 15% de los pacientes, siendo el patrón articular más frecuente la afectación oligoarticular de predominio en grandes articulaciones y en miembros inferiores, sobre todo en tobillos (90%) con periartritis acompañante4.
El diagnóstico de sarcoidosis se basa en la combinación de 3 criterios principales: hallazgos clínicos compatibles, evidencia histológica de granulomas no necrosantes y la exclusión de otra causa de trastornos granulomatosos. En el diagnóstico diferencial de la sarcoidosis se incluyen afecciones infecciosas, neoplasias, enfermedades autoinmunes o enfermedades ocupacionales y ambientales5.
Los fármacos pueden relacionarse con el desarrollo de sarcoidosis o reacciones sistémicas similares a dicha enfermedad. Las principales familias de fármacos asociadas a este tipo de reacciones son los inhibidores de check point, los fármacos antirretrovirales, los antagonistas del factor de necrosis tumoral alfa y los interferones6.
La capecitabina es un profármaco oral de 5-fluoracilo utilizado como agente quimioterápico utilizado en el tratamiento de tumores sólidos, principalmente en cáncer de colon y de mama. Sus efectos adversos más frecuentes son las alteraciones gastrointestinales, mucositis, eritrodisestesia palmo-plantar, astenia, fatiga, anorexia, hepatotoxicidad y neurotoxicidad7.
En la bibliografía se han reportado 2 casos de sarcoidosis que se desarrollaron después del tratamiento con capecitabina, uno en un paciente diagnosticado de cáncer de colon8 y otro en una paciente diagnosticada de cáncer de mama9.
En la página web: https://www.ehealthme.com/ donde se recogen datos entorno a la seguridad de los fármacos poscomercialización de 59.451 personas en tratamiento con capecitabina, 17 personas (0,03%) han desarrollado sarcoidosis y solo una de ellas en contexto de cáncer de mama metastásico al igual que nuestra paciente10.
El mecanismo por el cual la capecitabina se relaciona con el desarrollo de sarcoidosis no está claro, aunque las principales hipótesis se basan en las alteraciones que este fármaco provoca en el sistema inmune. La capecitabina puede inducir una activación del sistema inmune y generar un aumento de citocinas proinflamatorias, favoreciendo el desarrollo de sarcoidosis8,9.
En este caso clínico, la paciente no presentaba clínica a nivel pulmonar pero sí a nivel sistémico y musculoesquelético. Se excluyeron otros posibles diagnósticos causantes de la clínica y se confirmó la presencia histológica de granulomas no necrosantes. Dada la clínica, los resultados de las pruebas complementarias realizadas y la relación temporal con el inicio del fármaco, se llegó al diagnóstico de sarcoidosis inducida por capecitabina.
ConclusionesMúltiples fármacos pueden relacionarse con reacciones sistémicas granulomatosas indistinguibles a la sarcoidosis. Ante un cuadro clínico y lesiones histológicas compatibles con sarcoidosis en un paciente que ha comenzado recientemente con un nuevo fármaco, se debe tener en cuenta la posibilidad de este diagnóstico diferencial.
Conflicto de interesesLos autores declaran no tener ningún conflicto de intereses.






