Varón de 33 años que consultó por alteraciones conductuales, afasia, cefalea occipital intensa, inestabilidad para la marcha e hipoacusia. Negaba consumo de tóxicos.
En la exploración destacaba: ausencia de signos meníngeos, lenguaje escaso con bradilalia, bradipsiquia, amnesia y desorientación temporal.
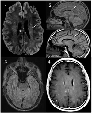
Estudios complementarios: hemograma, bioquímica general, proteína C reactiva y coagulación, normales. La punción lumbar objetivó hiperproteinorraquia, con Gram, PCR panbacteriana y de micobacterias negativas. Las serologías de lúes, VIH y virus neurotropos, así como ANA, ANCA y HLA-B5 fueron negativos. Un vídeo-EEG mostró datos de encefalopatía difusa leve y la TC craneal fue normal. En la RM craneal se objetivó la presencia de múltiples lesiones puntiformes supra e infratentoriales en leptomenínges y en cuerpo calloso en «snow-ball» (fig. 1).
RM cerebral: 1: Axial. Difusión con lesiones puntiformes hiperintensas en relación con microinfartos. 2: Sagital, Flair T2 y sagital T1. Afectación característica del cuerpo calloso. 3: Axial Flair T2 con cte. Hiperseñal y realce leptomeníngeo (señal aditiva T1 cte + T2). 4: Axial T1 cte con patrón de capación «miliar».
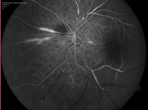
Se inició tratamiento con esteroides (dosis inicial: metilprednisolona 1g/24h/iv/durante 7 días, que posteriormente se continuó con 60mg/24h de prednisona oral en pauta descendente) pese a lo cual desarrolló pérdida de agudeza visual en ambos ojos, hallándose en la angiofluoresceingrafía (AFG) oclusiones vasculares isquémicas (fig. 2). Además, la audiometría mostró hipoacusia sensorial bilateral (fig. 3).
Se diagnosticó de un síndrome de Susac (SS) ante la tríada clínica de encefalopatía, hipoacusia neurosensorial y vasculitis retiniana con oclusiones arteriales. El SS es una endoteliopatía microvascular oclusiva inmunomediada y pauciinflamatoria que afecta al cerebro, a la retina y al oído interno, descrita por primera vez en 19791,2. Son características las lesiones en la RM en T2 FLAIR en «bola de nieve» a nivel del cuerpo calloso y la vasculitis retiniana oclusiva en la AFG3.
Recibió tratamiento con bolos de esteroides, rituximab y ácido acetilsalicílico, y posteriormente ante la ausencia de mejoría, con inmunoglobulinas y micofenolato4, lográndose con ello la estabilización de la clínica y la disminución progresiva de la dosis de esteroides hasta alcanzar 7,5mg/24h de prednisona al cabo de 9 meses.
FinanciaciónLos autores declaran no haber recibido financiación para la realización de este trabajo.
Conflicto de interesesLos autores declaran no tener ningún conflicto de intereses.
En agradecimiento a la Dra. Miriam García Fernández del Servicio de Oftalmología del Hospital Universitario Central de Asturias por las imágenes de la AFG.






